【患者在李小勇脑脊液中心治疗过程和结果】
患者男,28岁,天津市人。
一、李小勇脑脊液中心入院前病史
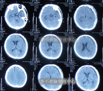
患者于2011年6月20日,因意外车祸致全身多器官损伤昏迷,当天住入天津著名的三甲脑科医院,检查明确颅脑外伤、肺挫伤、骨盆骨折(片子丢失),头部MRI和CT提示颅骨骨折,脑干弥漫性轴索损伤,颅内有出血,水肿(图-1、图-2)。

图-1:2011年6月20日头部MRI

图-2:2011年6月20日头部CT

图-3:2011年6月20日头部CT
脑室外引流术后5天即2011年6月25日,查头部CT颅内仍有出血(图-4)。

图-4:2011年6月25日头部CT
拔除脑室外引流术后1天即2011年6月29日,头部CT示颅内出血基本消失(图-5),给予腰大池引流术。

图-5:2011年6月29日头部CT
腰大池持续引流2天后即2011年7月1日,疑似有脑脊液鼻漏,查头部CT示未见明显异常(图-6)。

图-6:2011年7月1日头部CT
拔除腰大池引流后2天即2011年7月9日,查头部CT后认为无“异常”(图-7)。

图-7:2011年7月9日头部CT

图-8:2011年7月18日头部CT
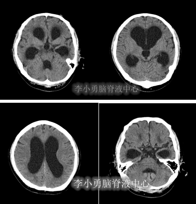
高压氧治疗15天即2011年8月19日,查头部CT示脑室周水肿,仍有颅内出血(图-9)。

图-9:2011年8月19日头部CT

图-10:2011年9月14日头部CT
在第2家医院治疗2个月后转至第3家医院天津某军队医院,分别于2012年2月21日和2012年5月23日进行了干细胞移植,其中在第3家医院治疗前曾查头部MRI示脑室仍扩张(图-11)。

图-11:2012年2月22日头部MRI
在第3家治疗半年的时间内,继续给予高压氧治疗,但病情仍未见好转,且不断加重:频繁间断高热,意识模糊,大小便失禁,肢体刺激后才有反应,其中于2012年9月4日查头部MRI示仍脑积水(图-12)。

图-12:2012年9月4日头部MRI
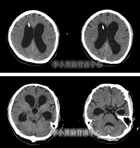
2012年9月11日,入院时:神志模糊,反应迟缓。头颅额部右侧手术瘢痕,双眼睑轻度浮肿,左眼眶凹陷,两侧瞳孔对光反射右侧存在,左侧消失,大小便失禁,体温高达39.5°C,发病以来体型消瘦,不能遵嘱活动,刺痛后四肢有反应但无发声,不能言语,饮食差,四肢肌张力增高,左上肢肌屈曲强直,余肢体肢活动受限,肌力3级(图-13),头部CT示脑干弥漫性皱缩损伤后,脑积水(图-14)。

图-13:2012年9月11日入院时

图-14:2012年9月11日头部CT
脑室外引流术后12天即2012年9月24日,患者体温连续1周正常,意识模糊好转为了嗜睡。查头部CT示脑室外引流术状态(图-15)。

图-15:2012年9月24日头部CT
2012年11月7日(李小勇脑脊液科治疗57天)出院,出院时:由入院时意识模糊好转为意识清醒;饮食差好转为进食良好;四肢不能遵嘱活动、刺痛后四肢有活动好转为自主活动频繁,反应较术前灵敏,手指能够数数从1-10,但仍遗留大小便失禁,不能下床走路,不能言语,查头部CT示脑室分流术后状态,未见异常(图-16)。

图-16:2012年11月7日出院时伸出手指能数数
出院后近4个月即2013年2月28日,病情进一步好转为:四肢活动又有改善,大小便失禁明显好转,可以简单言语,天津市当地医院复查头部CT示未见异常(图-17)。

图-17:2013年2月28日头部CT
出院后近1年即2013年10月14日,来院复查时:病情进一步改善为:四肢遵嘱活动基本正常,可以言语但有些不清,在搀扶下可以行走(图-18),大小便失禁好转为基本正常。

图-18:2013年10月14日搀扶下能行走
出院后3年即2015年10月30日,病情又改善:四肢活动基本正常,能够自己独自站立,言语交流基本正常,可以自己走路但不稳,基本恢复至生活自理水平(图-19)。

图-19:2015年10月30日能够独自站立
(完)

开设“脑脊液神经外科学”学科
交流咨询:13651375487(微信同号),扫码关注我!
