弥漫中线胶质瘤是WHO CNS病理分类中新提出的一类肿瘤,依据弥漫性、中线结构发生、胶质细胞来源肿瘤及最关键的H3K27M突变进行诊断,病理级别定位为WHO IV级。
患者女性,29岁。主诉:反复头痛3月余,加重伴吞咽困难1周。查体:咽反射右侧减退,吞咽呛咳,软腭右侧上抬无力,悬雍垂右偏。影像学检查如下:
2018.8.31
 
 延髓背侧占位伴微小囊变,边界不清,增强后不均匀强化,诊断考虑低级别胶质瘤可能。我们给的意见是手术,患者当时的症状不是很典型,顾虑手术风险,所以选择观察。我们建议一个月之后再次复查。
2018.9.20
 
 一个月之后复查的影像可见病变有所增大,DWI未见受限,ASL提示高灌注,中心强化明显,Cho/NAA>2,倒置Lac峰。综合来说,高灌注,强化不均质,Cho/NAA>2伴Lac峰,提示局部分化差!
此外患者在这一个月之内症状有所进展,出现吞咽呛咳,提示后组颅神经或核团受累。所以我们再次建议手术。
 
 我们都知道,脑干胶质瘤按照发生部位及其与脑干的关系,可分为弥漫内生型、局灶型和背侧外生型。因为脑干这一重要部位的特殊性,不同的类型手术的处理方案不一。下图是我们针对不同类型脑干胶质瘤常采取的不同手术方案。
 
 那么从神经外科角度来分析这一病例,如下图所示,这一病例位于延髓上半部背侧,偏右,基本属于背侧外生型的范畴,T2相来看边界似乎清楚,肿瘤位于延髓栓部以上,应该不会涉及呼吸、循环中枢。
肿瘤下极的位置扁桃体下极略上方部位,通过抬起扁桃体就可以探查肿瘤,因此膜髓帆入路可能是比较合适的选择。
 
 因此我们采用后正中-膜髓帆入路进入,在枕骨大孔后缘做一3cm左右骨瓣,通过抬起扁桃体分离髓帆即可显露肿瘤。
 
 术中视频截图:
 
  
 手术当中我们可以充分显露肿瘤,在延髓栓部以上操作,相对安全。但是该肿瘤特殊点在于质地韧,血供来源位于脑干腹侧,且众多病理性血管难以止血,因此在大部切除后我们及时终止,以避免在后续止血过程中损伤正常脑干组织结构。
2018.9.28术后CT:
 
 手术后患者同术前一样,仍有饮水呛咳,声音嘶哑,自主呼吸良好。考虑短期内很难完全恢复,所以给予气管切开。出院前一般状况良好,KPS60分,鼻饲饮食,肢体肌力正常。
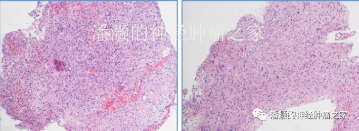
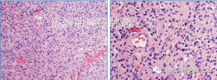
术后病理:
 
  
  
 组织病理结果提示:胶质细胞肿瘤(组织学形态呈WHO Ⅱ级弥漫性星形细胞瘤特征),伴急慢性炎及微小脓肿形成;H3-K27M弥漫核强阳性表达,符合弥漫性中线胶质瘤,伴H3K27M突变(WHO Ⅳ级)。
分子病理结果:
 
 整合诊断:H3-K27M突变型弥漫性中线胶质瘤(WHO Ⅳ级)
CWES检测结果:
 
  
  
 根据这一GBM分型来看,H3K27M亚型的中位OS只有12个月左右。预后不良。为此我们进行可选治疗的分析。
治疗分析结果:
 
 基于同级别的GBM标准治疗,可以考虑STUPP方案。但是该患者MGMT启动子甲基化阴性(4.5%), 对替莫唑胺临床获益小于阳性患者。除此之外的非标准治疗来看,根据H3-K27M活化突变(34.62%),提示抗癫痫药物丙戊酸(Valproic Acid)或其他HDAC抑制剂(如帕比司他等)潜在敏感。
在术后一月左右我们进行了放疗定位。可以看到肿瘤部分残留。
 
 放疗是基于CT与MRI融合图像勾画靶区。
放疗靶区剂量图如下:
 
 2018.11.26(术后3月)复查:
 
 与放疗前相比,病灶基本稳定。仍有部分肿瘤病灶,ASL提示高灌注,内部薄线样强化,Cho/NAA:1.46。
患者其后继续进行TMZ的剂量密度方案治疗。稳定期达半年左右,随后出现肿瘤增大,并应压迫延髓导致呼吸衰竭于2019.9去世。存活期12个月。
简单小结:
但是相信随着新的药物研发及数项针对H3K27M突变弥漫中线胶质瘤的临床试验的进行,可能会有新的治疗方案出现,以提高该类患者的生存期。




