车武强,杨雷,(指导:漆松涛教授)

松果体区是儿童脑肿瘤的常见部位,因其位置深在间隙狭窄且比邻脑深部主要大静脉、中脑及三脑室区域而使得手术难度显著增高;Poppen入路是通过利用脑与脑膜的自然间隙进行暴露和切除松果体及四叠体池等区域病变的入路。该入路有着工作距离短及视野良好和对重要血管结构暴露充分的优点,但同时也有着天幕移行对其前方的松果体区、四叠体池区等结构遮蔽的缺点,同时也面临局部大静脉蛛网膜袖套变异较大也对术者经验和操作提出较高要求。
云南省儿童医学中心神经外科团队在杨雷主任医师带领下在2019年-2020年度完成经由Poppen入路切除儿童松果体区病变5例,取得零死亡率及零重大手术并发症治疗效果,并针对儿童患者的治疗特点总结出Poppen入路在儿童松果体区占位病变的临床应用技术要点及心得体会。病例介绍:2019年-2020年度云南省儿童医学中心共收治松果体区占位患儿5名,其中2例为畸胎瘤,2例为生殖细胞瘤,1例为四叠体区蛛网膜囊肿;平均年龄3岁。上述病例均经Poppen入路进行切除。病变切除率100%。无重大手术并发症及死亡发生。随访近一年时间均无复发及明显术后并发症。
Poppen入路解剖回顾:




示例病例患者信息及影像学资料:
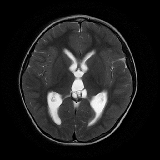
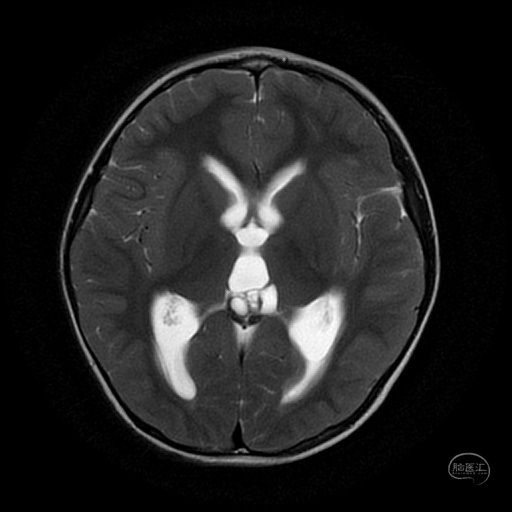
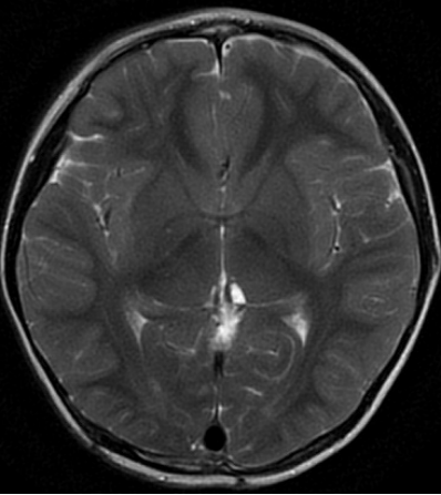
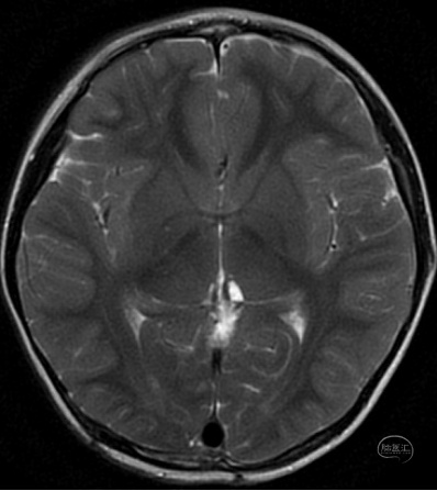
3岁男性患儿,间断头痛两个月入院,头部MR检查结果提示松果体区占位病变并梗阻性脑积水。

头部MR检查T2水平位显示松果体区囊实性占位病变,同时表现侧脑室及三脑室轻度扩张。

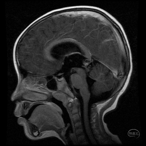
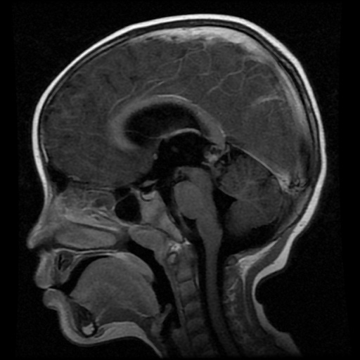
矢状位MR可见松果体区占位病变。
手术示例:

患者取右侧腹卧位取右枕部Poppen入路,枕叶下垂后可见上方小脑幕缘及下方的基底静脉和蛛网膜袖套结构。

将小脑幕行纵行切开后进一步暴露下方蛛网膜袖套结构并对其进行解剖游离局部静脉。

解剖蛛网膜后暴露松果体区域肿瘤病变。

切除松果体区病变后显示三脑室后部区域及重要静脉保护情况。
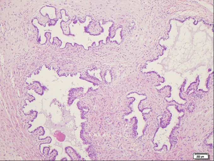
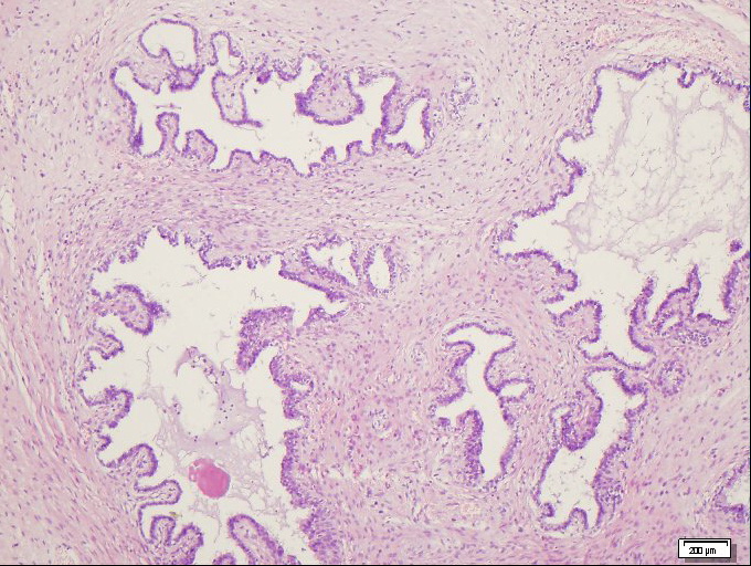
手术后MR及病理:

术后MR检查结果提示松果体区病变全切。

术后病理检查结果为畸胎瘤。
Poppen入路在儿童群体中应用的体会
3、儿童脑膜静脉窦处于形成阶段通常较成人发达,在天幕缘及天幕区硬脑膜常存在较多引流静脉窦更容易出血。
4、儿童缺乏坚韧的蛛网膜袖套,局部蛛网膜变异大,局部引流静脉亦较成人更纤细,同时因存在个体差异和解剖变异。这对术者的经验有着较高要求。
6、根据病变大小与位置高低选择性垂直切开天幕边缘以充分暴露病变。
学术团队简介:
杨雷主任医师:
昆明医科大学附属儿童医院神经外科主任,主任医师,首都医科大学附属北京天坛医院神经外科学博士毕业,昆明医科大学、大理大学医学院硕士研究生导师,中国医师协会小儿外科分会常委、中华医学会神经外科分会小儿神经外科学组委员。擅长各类颅脑脊髓肿瘤、脑血管病、癫痫、复杂脑积水等的外科治疗。目前主持多项国家级、省级科研项目。
参考文献:
2.《Significance of the tentorial alignment in protecting the occipital lobe through the Poppen approach for tentorial or pineal area meningiomas》,Deling Li 1*, MD, Haoyu Zhang 1, MD, Wang Jia 1, MD, Liwei Zhang 1, MD, Junting Zhang 1,MD, Weiming Liu 1, MD, Ming Ni 1, MD, Guijun Jia 1#, MD。World Neurosurgery。1 August 2017
3.《Rhoton's Cranial Anatomy and Surgical Approaches》,Rhoton