病史简介
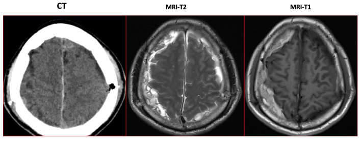
患者,男,43岁,因“硬膜下血肿术后12天,头痛头晕加重2天”入院。现病史:患者12天前无明显诱因出现头痛头晕,当地医院检查头颅CT考虑双侧硬膜下血肿,予以双侧硬膜下血肿钻孔引流术,术后患者头痛头晕无缓解,2天前,患者自觉头痛加重,伴烦躁,无偏瘫、恶心呕吐等不适,至我院进一步就诊,头颅CT复查和MRI平扫提示双侧硬膜下血肿钻孔术后改变,两侧少量硬膜下血肿,少许积气(图1)。
入院查体:神志清,精神软,语利,稍烦躁,双侧瞳孔等大等圆,光反应灵敏,四肢肌力正常,右侧巴氏征可疑阳性,左侧巴氏征阴性。
诊治经过
入院后完善头颅CE-MRV提示双侧横窦低信号影,予以降颅压、护胃、扩血管等对症治疗,然头痛症状缓解不明显,请神经内科会诊。
神内会诊意见:患者慢性硬膜下血肿钻孔引流术后,现头痛明显,咳嗽或用力后加重,无明显恶心呕吐等症状。头颅CE-MRV阅片后静脉窦血栓形成可能性小,建议完善头颅MRI增强和腰穿检查,测颅内压及脑脊液,目前考虑贵科出血疾病所致头痛可能。
头颅MRI增强扫描显示双侧硬膜下血肿钻孔引流术后改变,两侧硬膜下残留积血,硬脑膜广泛强化,考虑低颅压综合征(图2)。为避免加重症状,未行腰穿检查。治疗上予以大量补液治疗。患者头痛头晕症状明显改善。
图1:入院时头颅CT复查和MRI平扫结果,显示双侧硬膜下血肿钻孔术后,两侧硬膜下血肿
图2:头颅MRI增强提示双侧硬膜下血肿钻孔术后,增强扫描硬脑膜广泛增厚强化,脑干下坠呈向心性改变,考虑低颅压综合征。
出院情况
患者意识清楚,语言能力正常,查房时平静无烦躁,偶诉轻微头痛头晕,较入院时明显缓解,四肢肌力V级。




