2026年04月02日发布 | 427阅读
脑肿瘤-脑膜瘤

左额镰窦旁脑膜瘤切除

岑波

长江航运总医院·武汉脑科医院

达人收藏

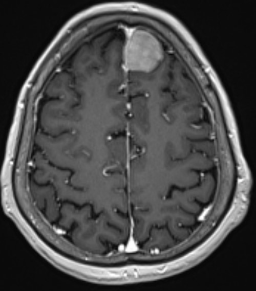
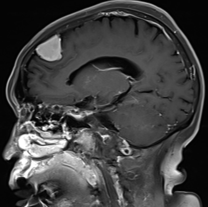
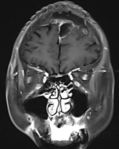
患者女性,62岁,因头晕一月在外院检查头部MR发现左额镰窦旁肿瘤来我院

无效图片

无效图片

无效图片
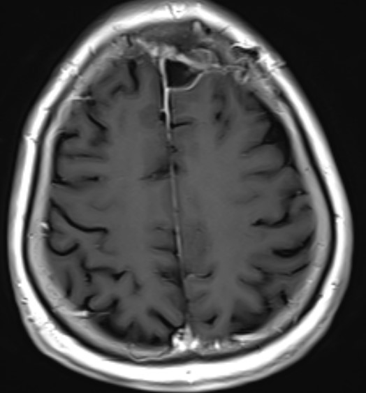
完善术前检查在全麻下行左额开颅肿瘤切除术

无效图片
手术精要:1 肿瘤基底在大脑镰,切口过中线,骨窗显露矢状窦边缘;2  翻开硬膜及切除肿瘤时注意肿瘤周围尤其是肿瘤表面的引流静脉的保护;3 肿瘤切除策略锐性分离,分块切除,优先阻断肿瘤基底血供

无效图片

无效图片

无效图片

无效图片

无效图片
术后病理提示脑膜瘤,混合型
患者恢复良好无神经功能障碍,一周顺利出院

最新评论
发表你的评论
发表你的评论