嗅沟脑膜瘤(Olfactory groove meningiomas OGMs)是最常见的颅内脑膜瘤类型之一,占所有颅内脑膜瘤的4.5%至18%。OGM起源于前颅窝底中线、筛板和蝶骨平台的结合处。常表现为大型或巨型肿瘤,伴有明显的额叶水肿和显著的额叶功能障碍。
嗅沟脑膜瘤早期症状即有嗅觉逐渐丧失。常导致头痛、视力丧失、癫痫发作以及颅内压升高。视力障碍也较多见,约1/4的病人构成Foster-Kennedy综合征。
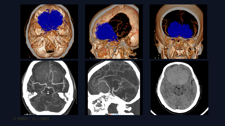
嗅沟和蝶骨平台脑膜瘤的血供来源于硬脑膜、骨和软脑膜。主要来源于脑膜中动脉前支供血,也可以通过筛前和筛后动脉(通常起源于眼动脉)的颈内动脉(ICA)分支供血。
经前纵裂额底入路对于巨大OGMs有效且安全,并且脑牵拉最小,可以达到SimpsonⅠ级切除,患者术后恢复期预后良好,视力改善,嗅觉可以保留。
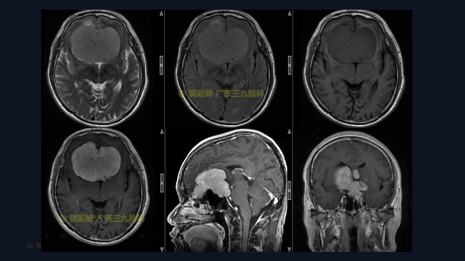
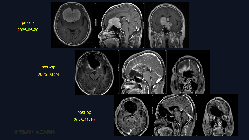
在这个二维手术视频中,展示了一种经前纵裂额底入路切除巨大嗅沟脑膜瘤的方法。患者是一名52岁的男性,有双眼视物模糊3月、无步态不平衡病史,神经影像学显示前颅窝、双侧鞍旁、桥前池示一巨大团块状等T1长T2,FLAIR序列高信号,明显强化,其内示多发流空信号影,邻近双侧颈内动脉及双侧大脑前动脉被包绕,大小约77×62×51mm的嗅沟脑膜瘤。术中实现肿瘤全切除。术后3月双侧嗅觉基本同术前,双侧视力较术前好转,神经影像学显示肿瘤全切。我们展示了安全的颅神经和肿瘤切除术的细微差别和技术要点,包括:采用降低硬膜开口的颅底法,保留额叶静脉,防止静脉损伤。诊断时,尽管患者嗅觉常常缺失,但仍有至少保留一根嗅觉通路。通过精准的解剖重视A2段的保护。最后,需要多层重建颅底。
手术视频
在这段手术视频中,展示了一名52岁男性的病例,他因双眼视物模糊3月余发现的巨大嗅沟脑膜瘤













































我的手术系列
手术系列095:颞浅动脉-大脑中动脉M4段(侧-侧吻合)搭桥治疗非烟雾病性狭窄闭塞性疾病
手术系列094:乙状窦后入路切除误诊为脑膜瘤的三叉神经鞘瘤
手术系列093:翼点入路分离复杂外侧裂夹闭未破裂宽颈大脑中动脉动脉瘤
手术系列092:分期切除巨大蝶岩斜三叉神经鞘瘤
手术系列091:颈动脉内膜剥脱治疗重度颈动脉狭窄
手术系列090:经前纵裂颅底入路切除巨大鞍结节脑膜瘤
手术系列089:右侧翼点入路夹闭未破裂前交通动脉瘤
手术系列088:扩大翼点入路切除巨大蝶骨嵴内侧型脑膜瘤
手术系列087:扩大乙状窦后入路切除侵入内听道的桥小脑角脑膜瘤
手术系列086:内镜辅助下经枕下乙状窦后入路切除囊实性前庭神经鞘瘤
手术系列085:枕下乙状窦后入路切除后颅窝型三叉神经鞘瘤
手术系列084:单侧额底纵裂入路切除巨大鞍结节脑膜瘤
手术系列083:翼点入路夹闭破裂的前交通动脉瘤
手术系列083:翼点入路夹闭破裂的前交通动脉瘤
手术系列082:枕下后正中经膜帆入路切除第四脑室脉络膜乳头状瘤
手术系列081:岩前Kawase入路切除侵及Dorello管的岩斜脑膜瘤
手术系列080:翼点入路硬膜外磨除前床突夹闭颈内动脉眼段动脉瘤
手术系列079:枕下后正中入路切除小脑髓母细胞瘤
手术系列078:双镜联合经颞下岩前硬膜外入路切除岩斜区胆脂瘤
手术系列077:经枕后纵裂入路(POPPEN入路)切除松果体区镰幕脑膜瘤
手术系列076:内镜颞下经天幕入炉清除脑干血肿
手术系列075:单侧经前纵裂额底开颅术切除巨大嗅沟脑膜瘤
手术系列074:枕下乙状窦后入路切除囊实性听神经瘤
手术系列073:前纵裂经胼胝体-脉络膜裂入路切除第三脑室内胶质瘤
手术系列072:内镜下眉弓锁孔入路前颅窝底脑膜瘤切除
手术系列071:内镜经皮层入路切除侧脑室室管膜下瘤
手术系列070:经皮层入路切除额颞岛叶弥漫性低级别胶质瘤
手术系列069:经皮层入路切除侧脑室三角区非典型脉络膜乳头状瘤
手术系列068:经皮层入路额颞岛叶胶质母细胞瘤切除
手术系列067:颞浅动脉-大脑中动脉M4段搭桥治疗烟雾病
手术系列066:经前纵裂胼胝体入路切除巨大脑室内中枢神经细胞瘤
手术系列065:经额底入路切除侵及鞍结节的嗅沟脑膜瘤
手术系列064:枕下后正中入路切除小脑蚓部髓母细胞瘤
手术系列063:经前纵裂胼胝体入路切除脑室低级别神经上皮肿瘤
手术系列062:扩大中颅窝底颞颧开颅颞下硬膜外入路切除三叉神经鞘瘤
手术系列061:侧脑室三角区巨大脑膜瘤的显微手术治疗
手术系列060:翼点开颅夹闭破裂的大脑中动脉动脉瘤
手术系列059:翼点入路成人颅咽管瘤(ACP)切除术
手术系列058:颞下经岩前入路脑干血肿清除
手术系列057:经典病例:内镜经鼻蝶入路垂体腺瘤切除术
手术系列056:枕下乙状窦后入路切除小脑发育不良性神经节细胞瘤
手术系列055:对侧经前纵裂-胼胝体入路尾状核海绵状血管畸形切除
手术系列054:颈动脉内膜剥脱术再通短期闭塞的颈内动脉
手术系列053:扩大乙状窦后入路保留蜗神经T2前庭神经鞘瘤切除
手术系列052:翼点开颅夹闭未破裂大脑前动脉瘤
手术系列051:颞叶前内侧及海马-杏仁核切除治疗伴癫痫的颞叶内侧血管病变
手术系列050:扩大中颅窝入路切除蝶岩斜区复发脑膜瘤
手术系列049:经前纵裂胼胝体入路脑室内巨大非典型畸胎样横纹肌样瘤切除
手术系列048:老年、微球囊压迫术后、复杂性三叉神经痛的微血管减压
手术系列047:经后正中入路小脑脑脓肿切除
手术系列046:对侧前纵裂经肼抵体入路切除内侧丘脑海绵状血管畸形
手术系列045:乙状窦后入路保面保听的囊实性听神经瘤切除
手术系列044:乙状窦后幕下小脑上入路切除巨大小脑幕外侧型脑膜瘤
手术系列043:翼点入路夹闭未破裂早期分支大脑中动脉瘤
手术系列042:经顶上小叶切除丘脑后部胶质瘤(附:丘脑枕的显微解剖和手术入路)
手术系列041:包膜下乙状窦后入路切除实性T4b听神经瘤
手术系列040:翼点入路夹闭破裂的大脑中动脉瘤
手术系列039:黄荧光引导下切除脑转移瘤并综合治疗
手术系列038:乙状窦后入路切除继发三叉神经痛的岩斜脑膜瘤
手术系列037:经乙状窦后入路切除T3囊实性听神经瘤
手术系列036:对侧经前纵裂胼胝体入路切除基底节区生殖细胞肿瘤(附:Rhoton解剖)
手术系列035:乙状窦后入路切除保留听力无面瘫的T2听神经瘤
手术系列034:硬膜外岩前入路切除岩斜脑膜瘤(附:Rhoton解剖-岩前扩大中颅窝手术入路)
手术系列033:内镜三脑室底造瘘+活检治疗三脑室后部肿瘤
手术系列032:多模态辅助精准切除颞叶胶质瘤
手术系列031:脊髓髓内室管膜瘤的显微切除
手术系列030:颈动脉内膜剥脱术(术中转流)
手术系列029:翼点入路硬膜外前床突磨除切除巨大蝶骨嵴脑膜瘤
手术系列028:小脑外侧经水平裂三叉神经痛微血管减压
手术系列027:扩大乙状窦后入路切除脑桥腹侧海绵状血管瘤
手术系列026:舌咽神经痛微血管减压(附:舌咽神经痛综述)
手术系列025:颞下硬膜外入路包膜下切除三叉神经鞘瘤
手术系列024:经眉弓锁孔入路额叶海绵状血管畸形切除
手术系列023:对侧经前纵裂扣带回后部海绵状血管畸形切除
手术系列022:乙状窦后入路切除4级囊实性听神经瘤
手术系列021:脉络膜前动脉动脉瘤夹闭术
手术系列020:硬膜内颞下岩前入路切除岩尖脑膜瘤
手术系列019:AMR波未消失的老年面肌痉挛的微血管减压
手术系列018:神经束膜下乙状窦后入路切除听神经瘤
手术系列017:黄荧光引导影像不典型额叶胶质母细胞瘤切除术
手术系列016:颞下经天幕入路切除脑桥海绵状血管畸形
手术系列015:术中再破裂前交通动脉瘤夹闭术
手术系列014:内镜下经鼻蝶入路巨大蝶岩斜区脑膜瘤切除
手术系列013:右侧联合经岩入路岩斜区脑膜瘤切除
手术系列012:经翼点入路 II 型前床突脑膜瘤切除
手术系列010:经前纵裂入路胼周动脉动脉瘤夹闭术
手术系列011:硬膜外前床突磨除床突旁动脉瘤夹闭术
手术系列009:后正中膜帆入路小脑囊实性血管母细胞瘤切除
手术系列008:硬膜外前床突磨除眼动脉段动脉瘤夹闭术
手术系列007:颈1-2水平硬膜外及椎间孔内外哑铃型神经鞘瘤切除
手术系列006:唤醒麻醉下左侧中央前回裂头蚴抓取术
手术系列005:扩大乙状窦后入路左侧桥小脑角区脑膜瘤切除术
手术系列004:经小脑水平裂入路三叉神经痛微血管减压术
手术病历003:额外侧入路夹闭未破裂前交通动脉瘤
手术系列002:经翼点入路切除前床突脑膜瘤
手术系列001:经乙状窦后入路切除岩斜区脑膜瘤








