2026年03月01日发布 | 221阅读
脑血管-自发性颅内出血
创伤重症-颅脑创伤和脑出血并发症

颞下入路脑干出血手术一例

李起超

秦皇岛市第一医院

达人收藏

患者25岁男性,主因突发意识不清2.5小时入院,急诊行气管插管呼吸机辅助呼吸。

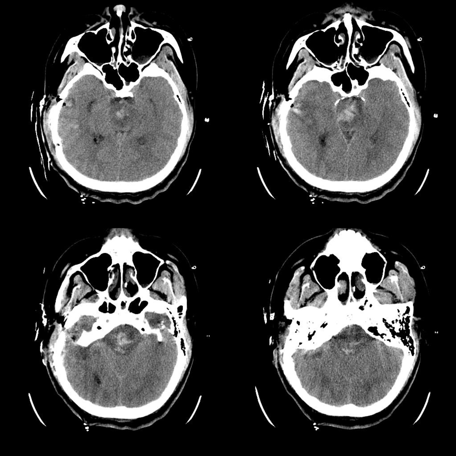
术前CT提示脑干出血,量约10ml,家属积极要求手术治疗,考虑血肿位置较高,拟行颞下入路,术前先行脑室穿刺释放脑脊液降颅压

设计耳前弧形切口

硬膜下显露弓状隆起进行定位

向深部探查显露滑车神经穿硬膜处

在滑车神经穿硬膜处后方切开硬膜,显露脑桥外侧部

造瘘吸除脑干内血肿

术后CT显示脑干血肿大部分清除

患者术后恢复自主呼吸,仍深昏迷,双上肢刺痛可动,下肢无反应

最新评论
发表你的评论
发表你的评论