2026年02月12日发布 | 920阅读
脑肿瘤-脑膜瘤

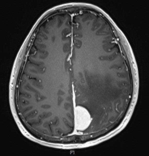
左顶枕大脑镰旁脑膜瘤切除

岑波

长江航运总医院·武汉脑科医院

达人收藏

患者,男性,60岁。右侧肢体无力伴头痛一天入院

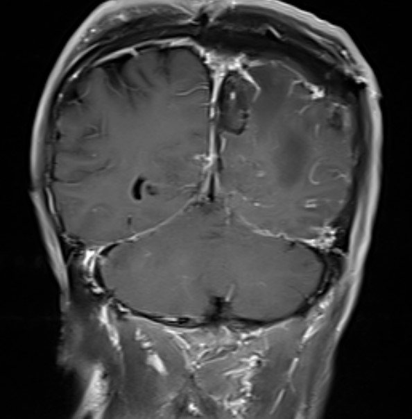
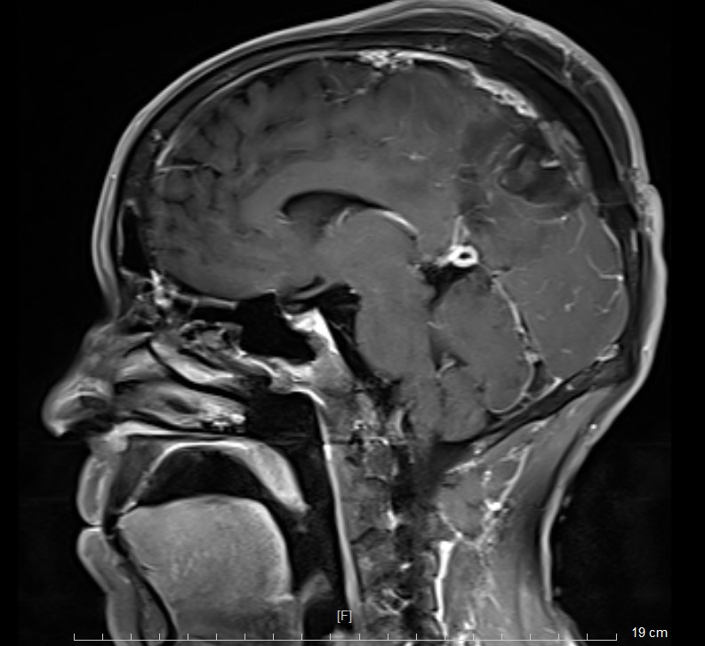
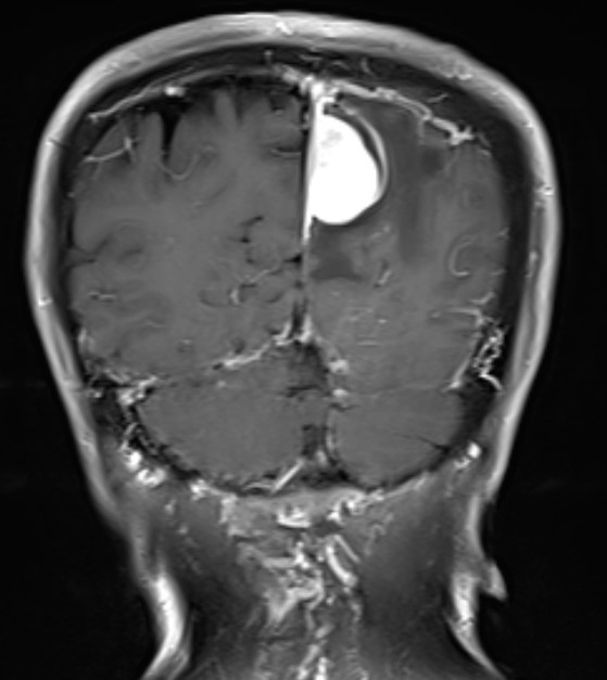
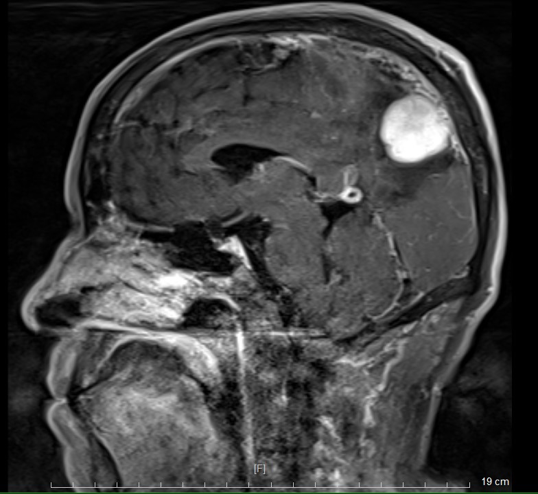
头部MR检查提示:左顶枕镰旁脑膜瘤

完善术前检查,导航定位,在全麻下,左侧俯卧位,行肿瘤切除术

手术精要:1 术前腰穿置管降到颅压;2 摆体位时病灶侧朝下,利用重力作用提供手术通道;3 切除肿瘤时注意向矢状窦回流的静脉的保护,在引流静脉间隙操作切除肿瘤

术后MR复查提示肿瘤切除干净

术后病理提示诊断

术后无任何神经功能障碍,一周顺利出院

最新评论
发表你的评论
发表你的评论
来自于专栏
相关临床评分小工具
所属话题