患者,男性39岁。上班时突发昏迷1小时急诊入院。查体:神志昏迷,双瞳散大,光反射消失。
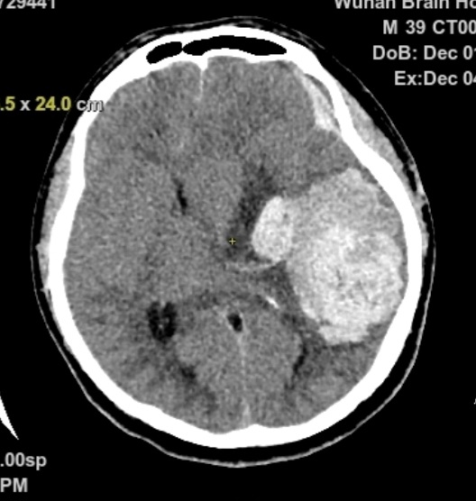
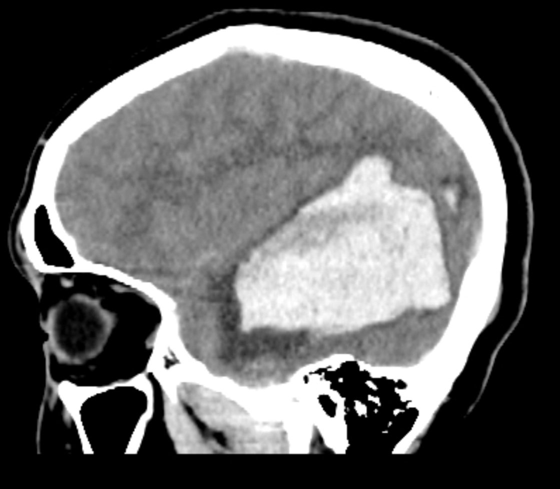
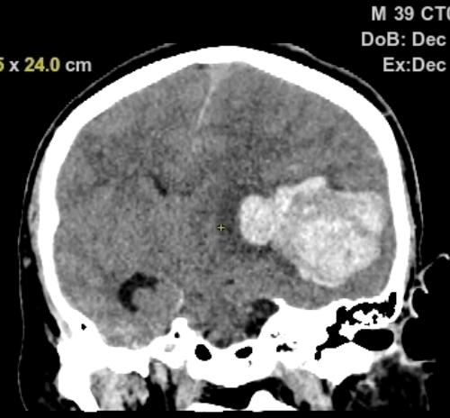
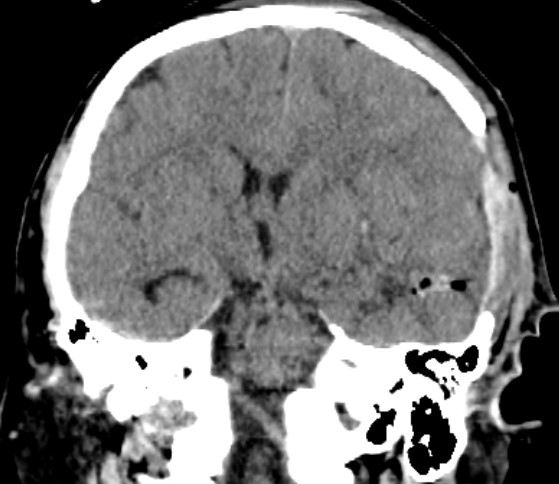
急诊头部CT显示左颞顶巨大脑内血肿,中线结构移位,脑疝
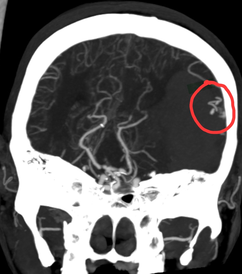
头部CTA提示:左颞顶AVM合并大脑中远端动脉瘤
急诊行左颞顶大骨瓣开颅,血肿清除加去骨瓣减压,加AVM切除,动脉瘤夹闭术
手术精要:1 左颞顶大骨瓣,充分减压;2 超声定位血肿,先清除液化部分血肿;3 吲哚菁绿造影显示AVM合并动脉瘤;4 夹闭动脉瘤切除AVM;5复查吲哚菁绿造影提示AVM切除,动脉瘤夹闭毗邻血管通畅
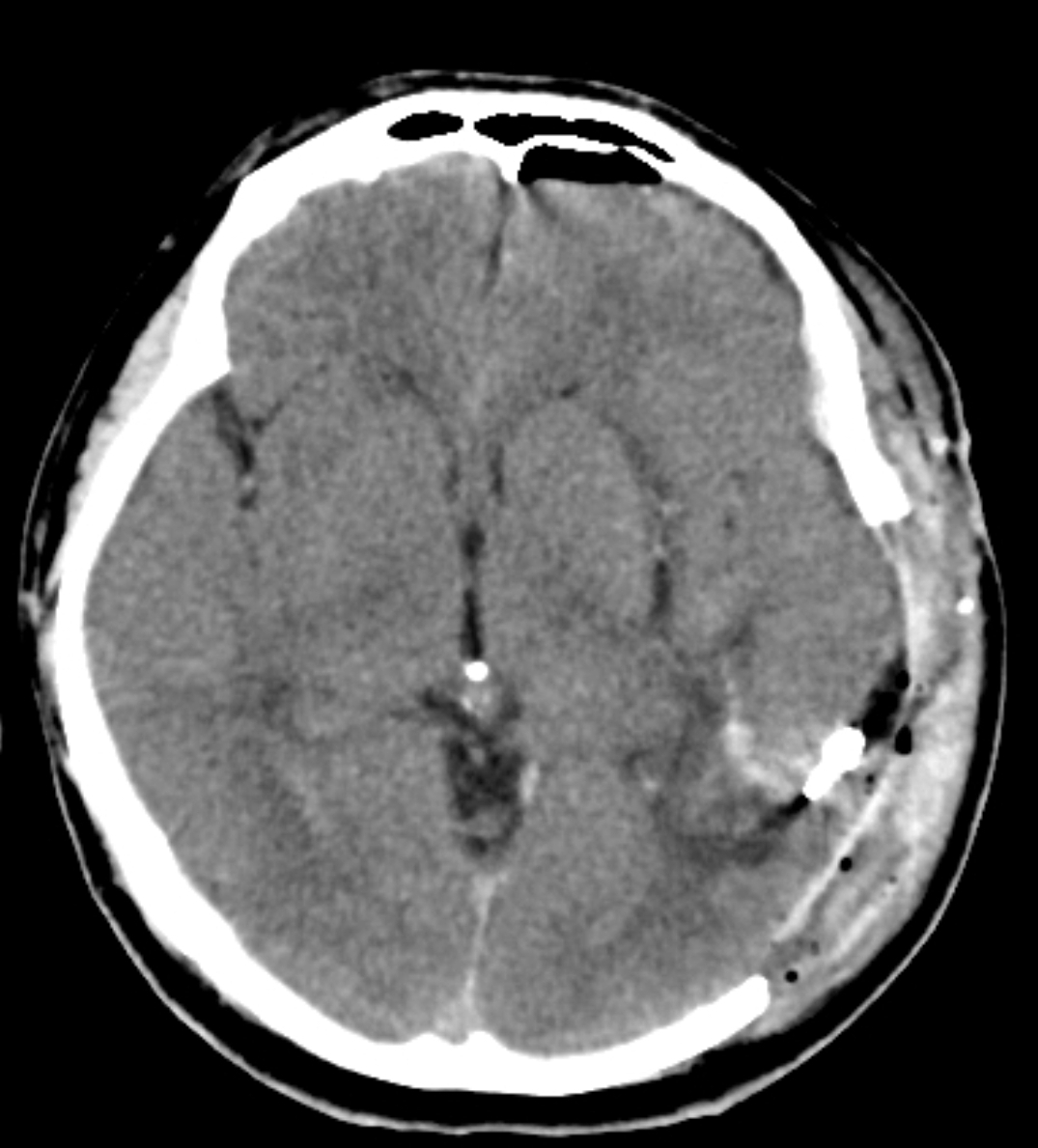
术后4小时CT复查术区干净,AVM已切除,动脉瘤夹闭良好
CTA显示:AVM已切除,动脉瘤夹闭良好




