女,31岁, 小脑出血发现“中脑后方AVM”,1期清除血肿(10月23日),术后1月行“AVM切除术”(12月1日)!
手术切除,是根治AVM的最佳方法!(见第10版外科学)!
按照“Seven AVMs”分类,脑干AVM分为6种类型:中脑前方和后方,脑桥前方和侧方,延髓前方和侧方。该例患者属于中脑后方类型!
手术顺利,畸形全切,术后清醒,入住ICU行控制性降压!术后6h常规复查CT,CTA同时复查!2天后转普通病房,术后6天停镇静!患者清醒,遵嘱,肢体活动正常!
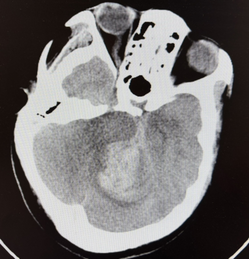
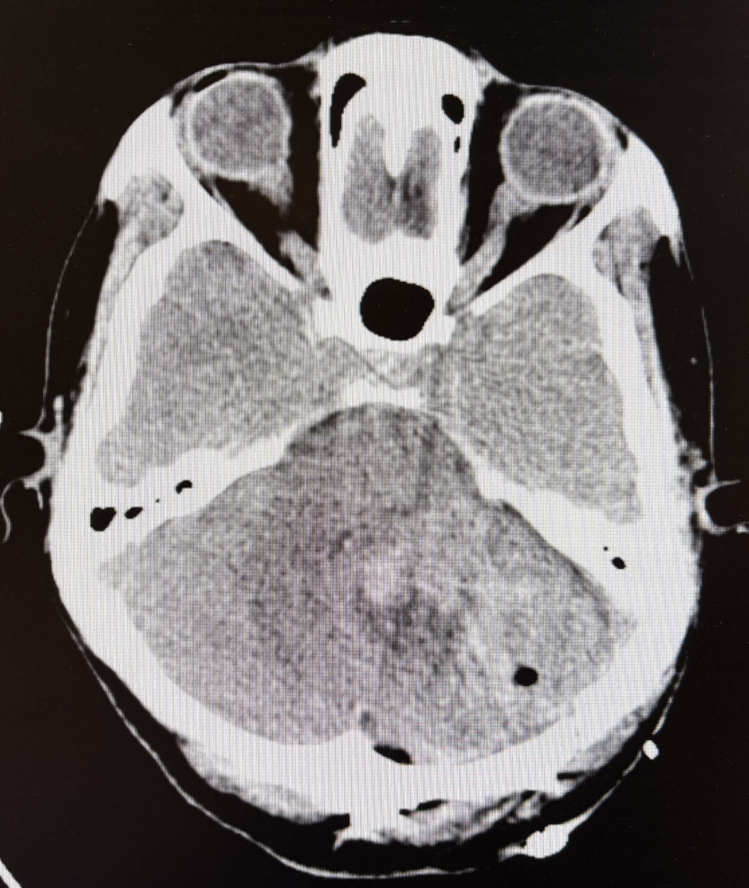
1期术前CT示:小脑出血
1期术后CT
1期术前CTA示:中脑后方AVM
1期术前CTA
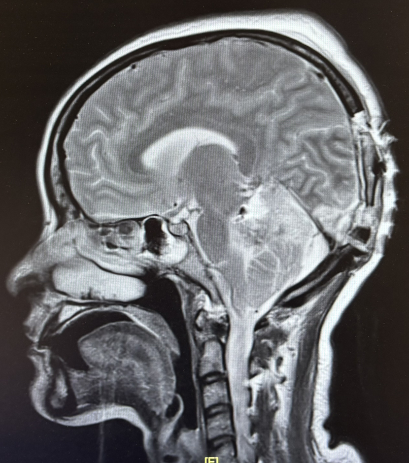
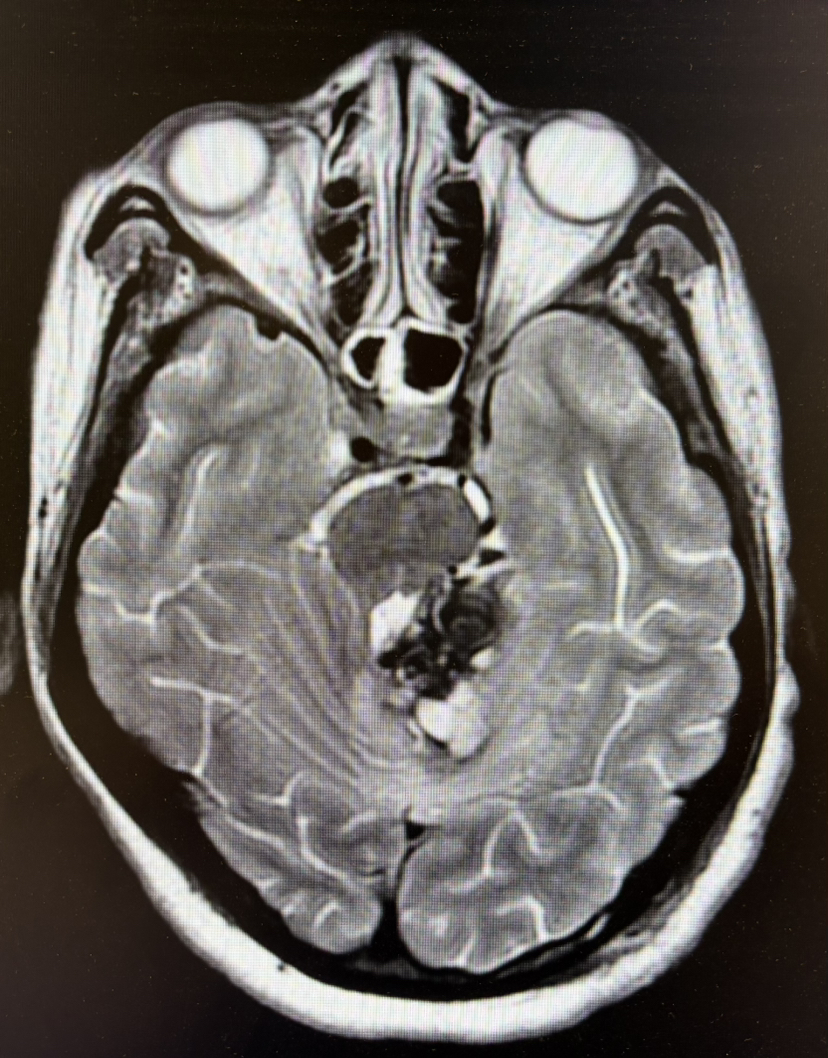
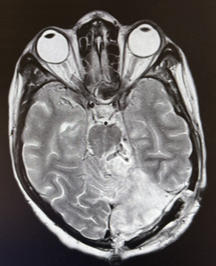
2期术前MRI
2期术前MRI
2期术前MRI
2期术前MRI
2期术前DSA
显露左侧SCA上支,灼烧、切断
显露左侧SCA下支,靠近畸形灼烧、切断
畸形团
引流静脉残端放置动脉瘤夹
观看引流静脉入大脑大静脉
术后6h CT
2次手术骨窗
术后6h CTA:显示畸形全切
术后MRI:显示畸形全切
术后MRI:显示畸形全切





