桥小脑角脑膜瘤(Cerebellopontine (CP) angle meningiomas)起源于形成CPA的外侧边界的颞骨的岩面。根据它们与内听道的附着关系,它们可以分为前、中和后型。
显微外科手术仍然是大而有症状的脑膜瘤的主要治疗方式。乙状窦后入路为该位置的大多数肿瘤提供了理想的通路。放射外科是残余、复发和小病灶辅助治疗的主要方式。
术后听力改善是 CPA 脑膜瘤手术后的合理预期。术前听力、手术方法和手术切除范围是术后听力功能结果的预测因素。
发生术后并发症的重要危险因素包括肿瘤大小和切除范围。
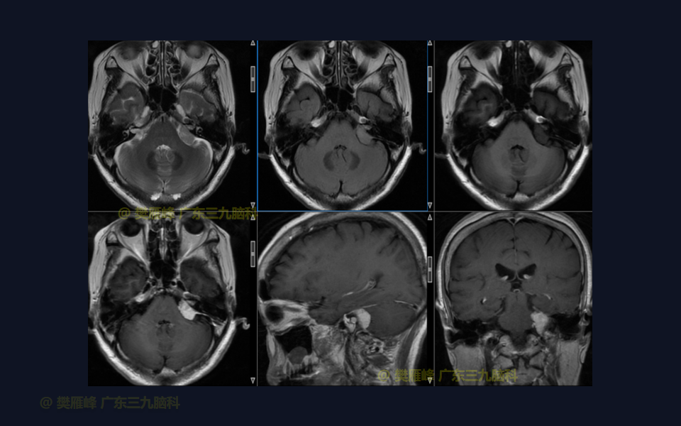
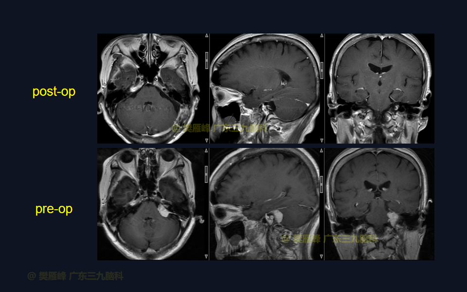
在这个二维手术视频中,展示了经枕下乙状窦后入路切除侵入内听道的桥小脑角脑膜瘤的方法。患者是一名66岁的女性,有2年左耳耳鸣伴听力下降,突发头晕半月,无面瘫病史,神经影像学显示左侧桥小脑角的侵入内听道从脑膜瘤。他接受了经乙状窦后入路保留面听神经的方法,术中肿瘤与脑干和面听神经轻度粘连,完全切除肿瘤。术后无面瘫,听力较术前明显改善,神经影像学显示肿瘤完全切除。我们展示了安全的颅神经和肿瘤切除术的细微差别和技术要点。
手术视频
在这段手术视频中,展示了一名66岁女性的病例,他因左耳耳鸣伴听力下降2年余,突发头晕半月发现的左侧桥小脑角区脑膜瘤







































我的手术系列
手术系列086:内镜辅助下经枕下乙状窦后入路切除囊实性前庭神经鞘瘤
手术系列085:枕下乙状窦后入路切除后颅窝型三叉神经鞘瘤
手术系列084:单侧额底纵裂入路切除巨大鞍结节脑膜瘤
手术系列083:翼点入路夹闭破裂的前交通动脉瘤
手术系列083:翼点入路夹闭破裂的前交通动脉瘤
手术系列082:枕下后正中经膜帆入路切除第四脑室脉络膜乳头状瘤
手术系列081:岩前Kawase入路切除侵及Dorello管的岩斜脑膜瘤
手术系列080:翼点入路硬膜外磨除前床突夹闭颈内动脉眼段动脉瘤
手术系列079:枕下后正中入路切除小脑髓母细胞瘤
手术系列078:双镜联合经颞下岩前硬膜外入路切除岩斜区胆脂瘤
手术系列077:经枕后纵裂入路(POPPEN入路)切除松果体区镰幕脑膜瘤
手术系列076:内镜颞下经天幕入炉清除脑干血肿
手术系列075:单侧经前纵裂额底开颅术切除巨大嗅沟脑膜瘤
手术系列074:枕下乙状窦后入路切除囊实性听神经瘤
手术系列073:前纵裂经胼胝体-脉络膜裂入路切除第三脑室内胶质瘤
手术系列072:内镜下眉弓锁孔入路前颅窝底脑膜瘤切除
手术系列071:内镜经皮层入路切除侧脑室室管膜下瘤
手术系列070:经皮层入路切除额颞岛叶弥漫性低级别胶质瘤
手术系列069:经皮层入路切除侧脑室三角区非典型脉络膜乳头状瘤
手术系列068:经皮层入路额颞岛叶胶质母细胞瘤切除
手术系列067:颞浅动脉-大脑中动脉M4段搭桥治疗烟雾病
手术系列066:经前纵裂胼胝体入路切除巨大脑室内中枢神经细胞瘤
手术系列065:经额底入路切除侵及鞍结节的嗅沟脑膜瘤
手术系列064:枕下后正中入路切除小脑蚓部髓母细胞瘤
手术系列063:经前纵裂胼胝体入路切除脑室低级别神经上皮肿瘤
手术系列062:扩大中颅窝底颞颧开颅颞下硬膜外入路切除三叉神经鞘瘤
手术系列061:侧脑室三角区巨大脑膜瘤的显微手术治疗
手术系列060:翼点开颅夹闭破裂的大脑中动脉动脉瘤
手术系列059:翼点入路成人颅咽管瘤(ACP)切除术
手术系列058:颞下经岩前入路脑干血肿清除
手术系列057:经典病例:内镜经鼻蝶入路垂体腺瘤切除术
手术系列056:枕下乙状窦后入路切除小脑发育不良性神经节细胞瘤
手术系列055:对侧经前纵裂-胼胝体入路尾状核海绵状血管畸形切除
手术系列054:颈动脉内膜剥脱术再通短期闭塞的颈内动脉
手术系列053:扩大乙状窦后入路保留蜗神经T2前庭神经鞘瘤切除
手术系列052:翼点开颅夹闭未破裂大脑前动脉瘤
手术系列051:颞叶前内侧及海马-杏仁核切除治疗伴癫痫的颞叶内侧血管病变
手术系列050:扩大中颅窝入路切除蝶岩斜区复发脑膜瘤
手术系列049:经前纵裂胼胝体入路脑室内巨大非典型畸胎样横纹肌样瘤切除
手术系列048:老年、微球囊压迫术后、复杂性三叉神经痛的微血管减压
手术系列047:经后正中入路小脑脑脓肿切除
手术系列046:对侧前纵裂经肼抵体入路切除内侧丘脑海绵状血管畸形
手术系列045:乙状窦后入路保面保听的囊实性听神经瘤切除
手术系列044:乙状窦后幕下小脑上入路切除巨大小脑幕外侧型脑膜瘤
手术系列043:翼点入路夹闭未破裂早期分支大脑中动脉瘤
手术系列042:经顶上小叶切除丘脑后部胶质瘤(附:丘脑枕的显微解剖和手术入路)
手术系列041:包膜下乙状窦后入路切除实性T4b听神经瘤
手术系列040:翼点入路夹闭破裂的大脑中动脉瘤
手术系列039:黄荧光引导下切除脑转移瘤并综合治疗
手术系列038:乙状窦后入路切除继发三叉神经痛的岩斜脑膜瘤
手术系列037:经乙状窦后入路切除T3囊实性听神经瘤
手术系列036:对侧经前纵裂胼胝体入路切除基底节区生殖细胞肿瘤(附:Rhoton解剖)
手术系列035:乙状窦后入路切除保留听力无面瘫的T2听神经瘤
手术系列034:硬膜外岩前入路切除岩斜脑膜瘤(附:Rhoton解剖-岩前扩大中颅窝手术入路)
手术系列033:内镜三脑室底造瘘+活检治疗三脑室后部肿瘤
手术系列032:多模态辅助精准切除颞叶胶质瘤
手术系列031:脊髓髓内室管膜瘤的显微切除
手术系列030:颈动脉内膜剥脱术(术中转流)
手术系列029:翼点入路硬膜外前床突磨除切除巨大蝶骨嵴脑膜瘤
手术系列028:小脑外侧经水平裂三叉神经痛微血管减压
手术系列027:扩大乙状窦后入路切除脑桥腹侧海绵状血管瘤
手术系列026:舌咽神经痛微血管减压(附:舌咽神经痛综述)
手术系列025:颞下硬膜外入路包膜下切除三叉神经鞘瘤
手术系列024:经眉弓锁孔入路额叶海绵状血管畸形切除
手术系列023:对侧经前纵裂扣带回后部海绵状血管畸形切除
手术系列022:乙状窦后入路切除4级囊实性听神经瘤
手术系列021:脉络膜前动脉动脉瘤夹闭术
手术系列020:硬膜内颞下岩前入路切除岩尖脑膜瘤
手术系列019:AMR波未消失的老年面肌痉挛的微血管减压
手术系列018:神经束膜下乙状窦后入路切除听神经瘤
手术系列017:黄荧光引导影像不典型额叶胶质母细胞瘤切除术
手术系列016:颞下经天幕入路切除脑桥海绵状血管畸形
手术系列015:术中再破裂前交通动脉瘤夹闭术
手术系列014:内镜下经鼻蝶入路巨大蝶岩斜区脑膜瘤切除
手术系列013:右侧联合经岩入路岩斜区脑膜瘤切除
手术系列012:经翼点入路 II 型前床突脑膜瘤切除
手术系列010:经前纵裂入路胼周动脉动脉瘤夹闭术
手术系列011:硬膜外前床突磨除床突旁动脉瘤夹闭术
手术系列009:后正中膜帆入路小脑囊实性血管母细胞瘤切除
手术系列008:硬膜外前床突磨除眼动脉段动脉瘤夹闭术
手术系列007:颈1-2水平硬膜外及椎间孔内外哑铃型神经鞘瘤切除
手术系列006:唤醒麻醉下左侧中央前回裂头蚴抓取术
手术系列005:扩大乙状窦后入路左侧桥小脑角区脑膜瘤切除术
手术系列004:经小脑水平裂入路三叉神经痛微血管减压术
手术病历003:额外侧入路夹闭未破裂前交通动脉瘤
手术系列002:经翼点入路切除前床突脑膜瘤
手术系列001:经乙状窦后入路切除岩斜区脑膜瘤


