病例资料
陈某某,女,55岁,因查体发现鞍区占位7个月入院 既往“高血压”病史8年 专科检查:双眼视力粗测下降,余阴性 入院诊断:1.鞍区占位 2.高血压病3级
垂体前叶功能

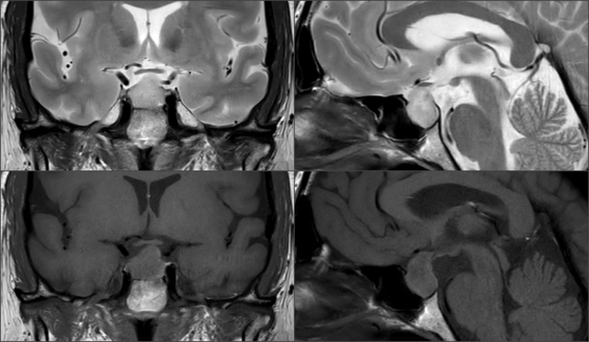
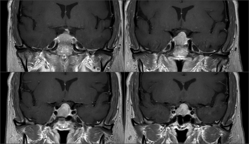
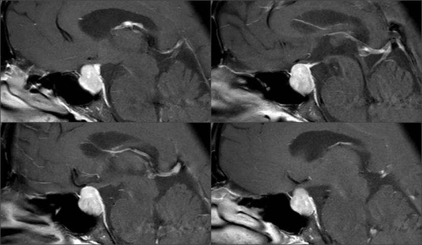
影像资料



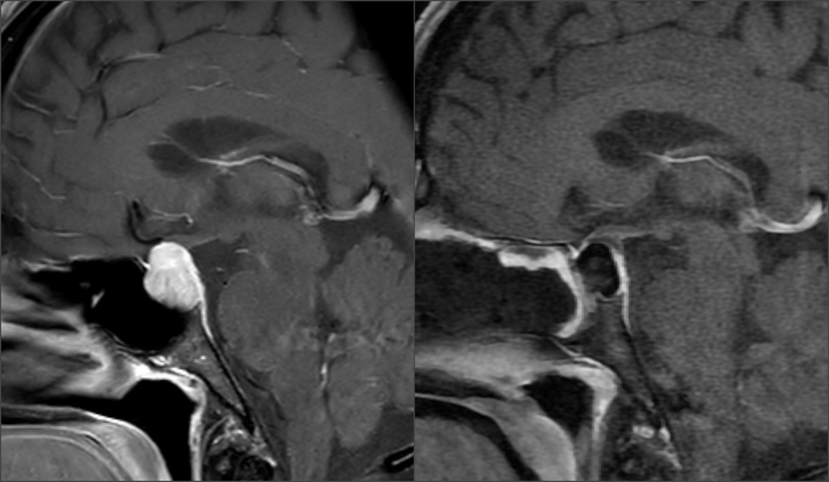
影像学特点及术中注意点
Knosp1级肿瘤,鞍隔被肿瘤推挤向上,冠状位略呈“雪人征”,术中鞍隔可能塌陷 T2信号较为均质,考虑肿瘤有一定韧性 垂体柄偏向左侧,残存垂体左侧更多,鞍隔面、鞍底面亦有薄层受压垂体组织,术中需注意保护,亦有助于辨认肿瘤与垂体之间的分界面
手术视频
术后垂体前叶功能

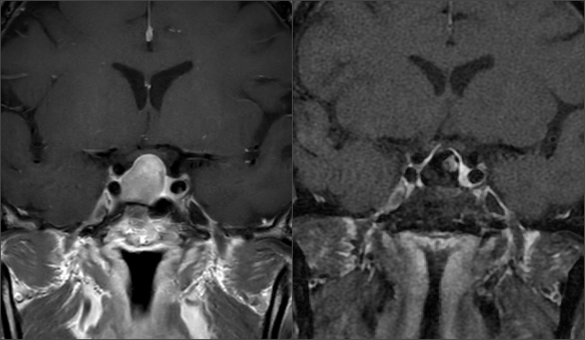
术前术后影像学对比


病理


贺峭伟,医学博士,副主任医师,硕士生导师,烟台毓璜顶医院肿瘤神经外科副主任,德国格赖夫斯瓦尔德大学附属医院访问学者。
专业擅长:擅长垂体瘤、颅咽管瘤等鞍区肿瘤和颅底肿瘤的经鼻内镜微创手术,以及脑膜瘤、胶质瘤、听神经瘤等各种颅内肿瘤的显微手术治疗。
社会兼职:山东省青年医务工作者协会神经外科专业分会副主委、山东省医学会神经系统疑难罕见病多学科联合委员会委员、山东省医学会脑胶质瘤多学科联合委员会委员、山东省医学会神经内镜学组委员、山东省疼痛研究会神经外科专业委员会委员、中国抗癌协会会员。
该作品未在其他刊物或平台上发表
