蔡某,女,33岁。“车祸外伤后意识障碍伴呕吐1小时余”于7-26日19:00入院。
查体:神志模糊状(GCS:E3V4M5),左侧额部头皮肿胀,左侧眶周淤青肿胀,双侧瞳孔等大同圆直径约2mm,对光反射均存在。左肘、左肩、左腰部多处擦伤淤青,颈软,双肺未闻及明显湿性啰音。四肢可活动,肌力3级,肌张力正常,生理反射存在,双侧病理征阴性。
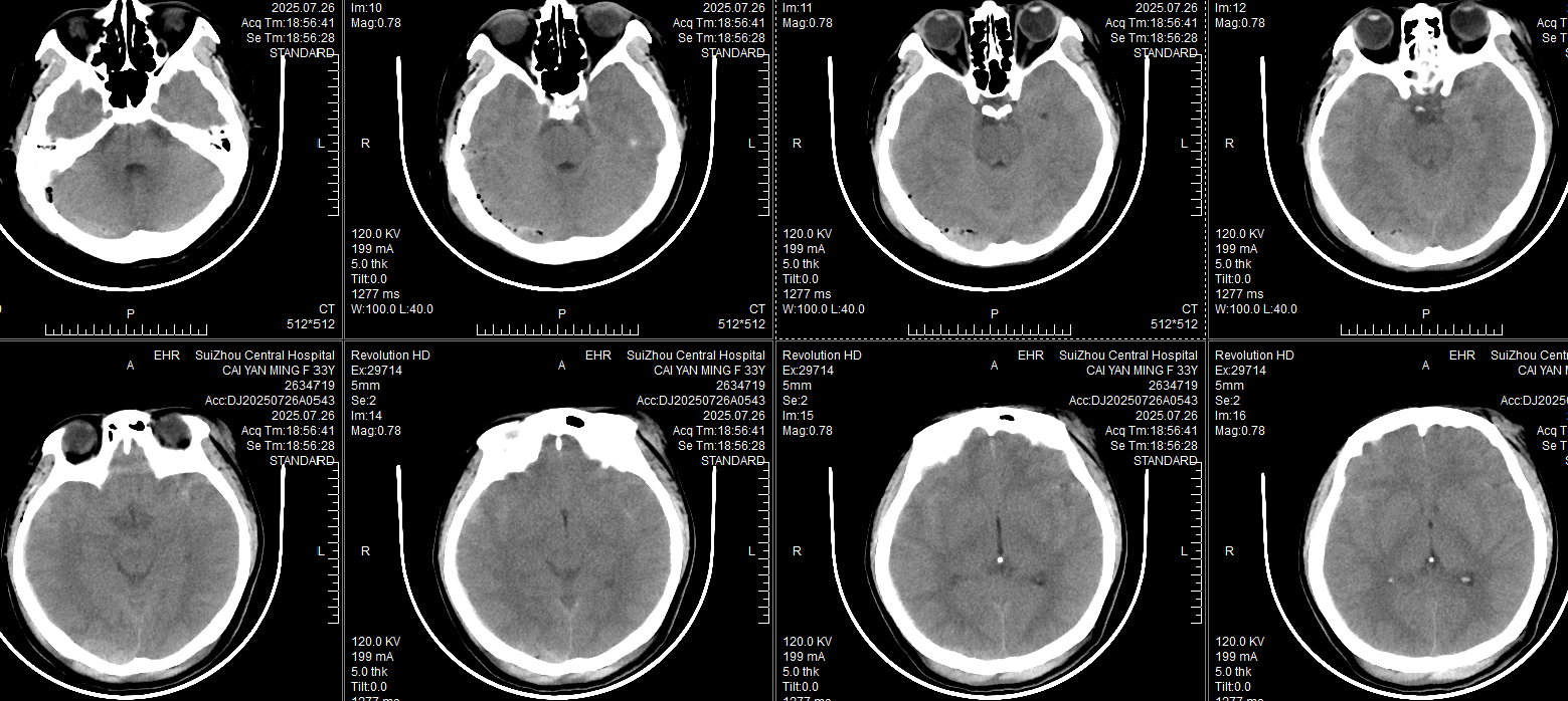
18:56急诊科CT:



入住ICU后镇痛镇静、气管插管,止血、抑酸、预防癫痫、抗炎对症治疗;21:33复查CT:



此时患者瞳孔等大同圆直径约2mm,对光反射均存在,颞叶血肿未完全形成,在和家属交代开颅手术方案:右侧枕部开颅清除硬膜外血肿去骨瓣减压,后再复查CT对比右侧颞叶出血进展情况。家属还在考虑手术方案时,23:20患者右侧瞳孔开始放大,立即复查CT:








催促家属不能再犹豫,急诊开颅手术。设计左侧卧位,先做右枕部旁正中直切口清除硬膜外血肿,再做右侧额颞顶部去标准大骨瓣+右颞叶血肿清除术,体位和切口:






术后CT:






患者术后半月切口愈合佳,下地行走,四肢肌力正常,思维语言正常。











