【在李小勇脑脊液专业治疗过程和结果】
患者男,51岁,宁夏银川市人。
一、神经外科(李小勇脑脊液专业)入院前病史
患者于2017年9月初,不明原因出现行走不稳,反应迟钝的症状,家人和本人均未在意;但行走不稳逐渐加重,因此2017年9月29日就诊并住入宁夏银川市某三甲医院,查颈椎核磁未发现异常,头颅CT示脑室稍增大(片子丢失),完善检查后进行了右额角脑室腹腔分流术,术后恢复正常出院。
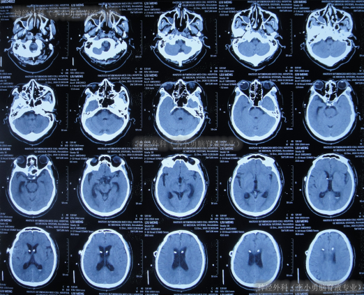
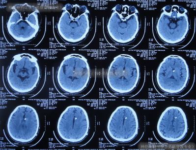
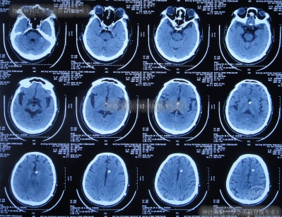
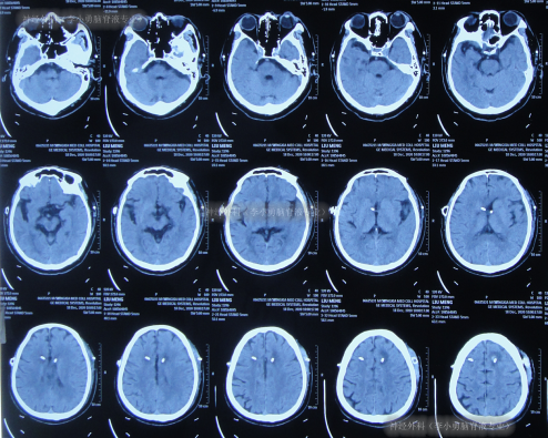
出院后3余年即2020年10月21日,第2次出现行走不稳,头晕;于是第2次就诊给予脑室腹腔分流术的医院,就诊期间出现嗜睡,查头颅CT(图-1)后给予调高分流泵压。
图-1:2020年10月21日头颅CT
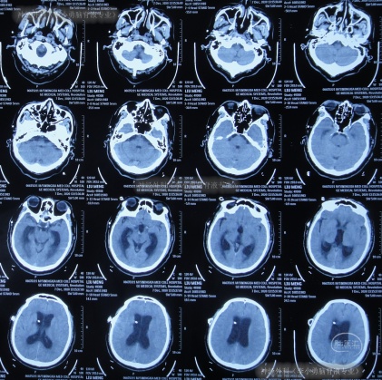
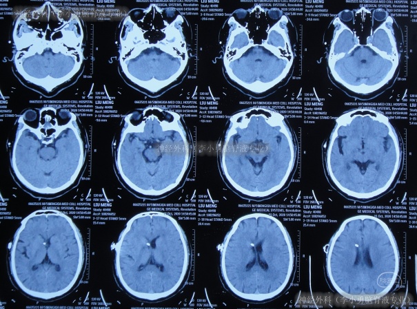
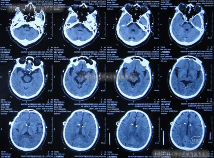
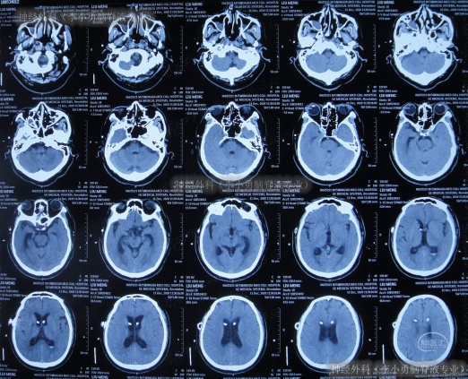
住院1周左右时间,期间曾3次查头颅CT(图-2)示脑室稍有扩张,但头晕症状慢慢消失,行走不稳缓解,认为“病情变好”出院。
图-2:3次查头颅CT
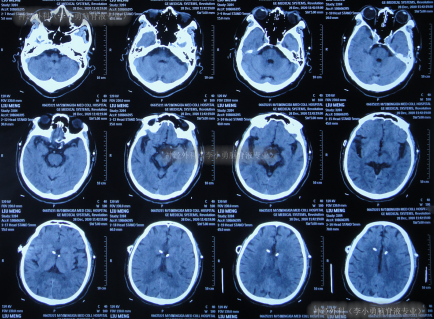
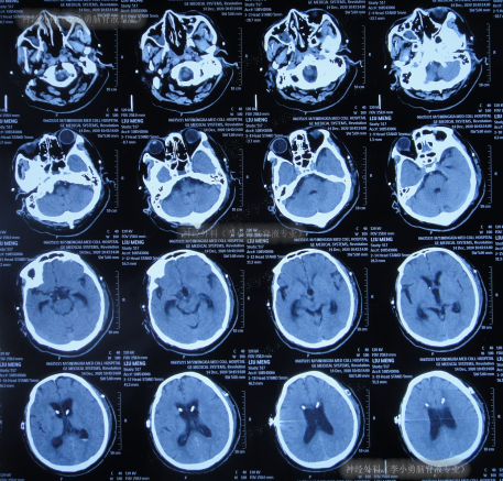
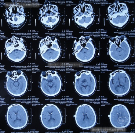
但出院后1个月即2020年12月6日(脑室腹腔分流术后3年零2月),再次出现嗜睡,第3次就诊该院,查头颅CT(片子丢失)后认为脑室系统与1月前相比并未明显扩张,但第2天即2020年12月7日,出现昏迷,大小便失禁,再查头颅CT(图-3)后认为脑室有大。
图-3:2020年12月7日头颅CT
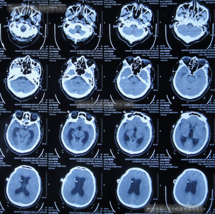
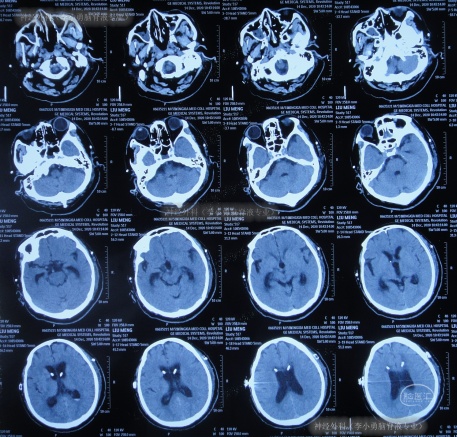
术后次日查头颅CT示脑室有缩小(图-4),意识也有好转。
图-4:2020年12月9日头颅CT
2020年12月11日(脑室外引流术后3天),意识好转,但仍反应慢,查头颅CT(图-5)引流术后状态,肺部CT示有感染(图-6),消化道出血,给予药物抗感染及止血治疗。
图-5:2020年12月11日头颅CT
图-6:2020年12月11日肺部CT
2020年12月14日(脑室外引流术后6天),复查头颅CT示脑室外引流术后状态(图-7)。
图-7:2020年12月14日头颅CT
2020年12月18日(脑室外引流术后10天),进行了原脑室外引流管拔除术+左额角脑室腹腔分流术(腹腔镜)(图-8)。
图-8:2020年12月18日头颅CT
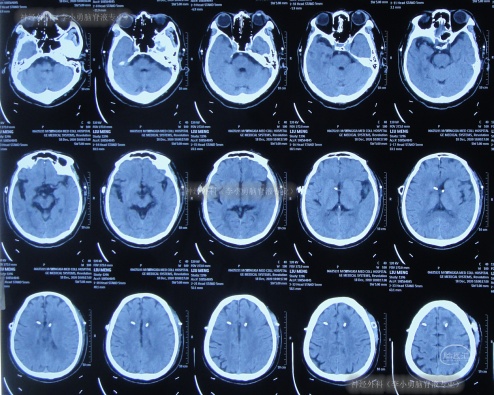
左侧脑室腹腔分流术后继续治疗10天,期间2次查头颅CT(图-9),虽意识基本正常,但记忆力差,吞咽动作慢,偶呛咳,小便失禁。
图-9:2次查头颅CT
左侧脑室腹腔分流术后即2020年12月28日出院,出院时仍记忆力差,吞咽动作慢,偶呛咳,例行检查头颅CT(图-10)后出院。
图-10:2020年12月28日头颅CT
出院后10天时间内,虽意识可以,但仍记忆力差,吞咽动作慢,偶呛咳,且再次出现小便失禁,行走不稳和反应迟钝均加重,为进一步治疗经网上查询找到李小勇脑脊液专业。
二、神经外科(李小勇脑脊液专业)治疗过程和结果
2021年1月8日(右侧脑室腹腔分流术后3年零4个月即左侧脑室腹腔分流术后21天)转住入李小勇脑脊液专业,入院时:意识基本正常,但近远期记忆力差,反应慢,在家属搀扶下能行走(图-11),说话语速慢,声调低,小便失禁,大便干燥;头部见手术疤痕。
图-11:2021年1月8日入院时入院次日查头颅CT示两侧脑室引流术后状态(图-12)。
图-12:2021年1月9日头颅CT
入院后3天即2021年1月11日,进行了原两侧脑室分流管拔除术+脑室外引流术(图-13)。
图-13:2021年1月11日头颅CT
入院治疗6天即2021年1月14日(脑室外引流术后3天),引流出清亮脑脊液,病情进行性加重,肢体遵嘱活动反应很慢(图-14);脑脊液化验有感染。
图-14:2021年1月14日
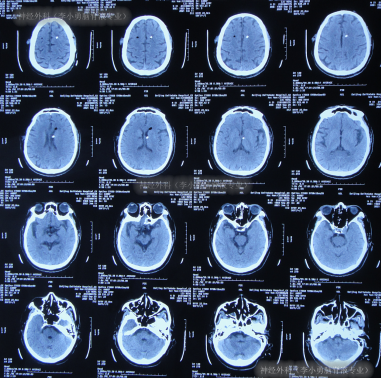
入院治疗10天即2021年1月18日(脑室外引流术后7天),查头颅CT示未见明显异常(图-15)。
图-15:2021年1月18日头颅CT
入院治疗18天即2021年1月26日(脑室外引流术后15天),进行了脑室腹壁外引流术,术后病情稳定(图-16)。
图-16:2021年1月26日
入院治疗59天即2021年3月8日,伸舌头有震颤(图-17)。
图-17:2021年3月8日
入院治疗61天即2021年3月10日,能坐轮椅活动,但肢体遵嘱活动仍很慢(图-18)。
图-18:2021年3月10日
入院治疗75天即2021年3月24日,进行了脑室腹腔分流术(图-19)。
图-19:2021年3月24日头颅CT
入院治疗85天即2021年4月3日,出院时:肢体反应仍很慢,不能下床走路,但舌颤变好(图-20),颅内感染变正常;出院时头颅CT示未见异常(图-21)。
图-20:2021年4月3日
图-21:出院时头颅CT
三、出院后随访
出院后24天即2021年4月25日,病情进一步好转为:反应也变快,坐着轮椅能自己站起(图-22)。
图-22:2021年4月25日
出院后9个月即2022年1月,家属发来视频:走路已变基本正常,记忆力也有变好(图-23),能自己吃东西,但吃一会就不动了用筷子拨一下又可以吃了,口水噙不住。
图-23:2022年1月
出院后2年半2023年10月,家属发来视频:身体已恢复至健康正常的状态;肢体活动正常,饮食正常(图-24)。
图-24:2023年10月出院后4年即2025年5月,身体各方面均正常,已投入正常的工作(图-25)。
图-25:2025年5月〔本典型病例所涉及的图片和视频均经患者本人或家属同意,如有异议,请联系该内容发布方〕
*********专家简介***********
李小勇
主任医师
中国博士/美国博士后
擅长领域:
从事脑脊液神经外科学临床研究30多年,总结提出了脑脊液科综合治疗法,擅长各种脑积水、脑积水手术并发症、术后脑膨出和颅骨修补、颅内感染等各类脑脊液病的治疗。常见脑脊液疾病:
8.脊髓空洞/小脑扁桃体下疝(Chiari畸形)/脑积水:(随机单一症/随机二联症/三联症)。
9.引起以上“医源并发症性”的一般神经外科性疾病:脑外伤、脑出血、脑动脉瘤、脑血管畸形、颅脑和颅底以及脊髓肿瘤、颅内感染、脑脊液漏、小脑扁桃体下疝畸形、脊髓空洞、面肌痉挛、三叉神经痛、舌咽神经痛等。
10.神经内科型脑膜炎(化脑/结脑/真菌/病脑)及其脑积水或顽固高颅压并发症。
交流咨询(中华脑脊液科医生群):13651375487(微信同号)




