王喆主任 魏广鑫副主任 赵余静 苗俊杰 乜全民 马永迁 陈冰 刘文强 常成岳 吴志鹏 于建树
68岁男性,因头痛1年,加重4月,认知改变伴行为异常1月。
查体:神志清醒,思维奔逸,计算力、反应力差,MMSE 15分,语言对答部分切题,视力视野查体不合作,四肢自主活动。
既往:高血压病、睡眠呼吸暂停病史。慢性鼻炎病史,未诊治。
诊断:左侧颞叶病变;高血压病。


































































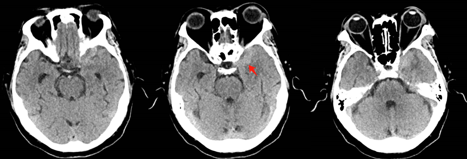
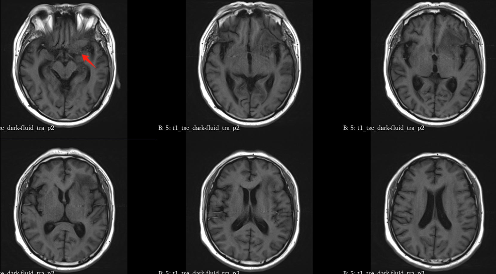
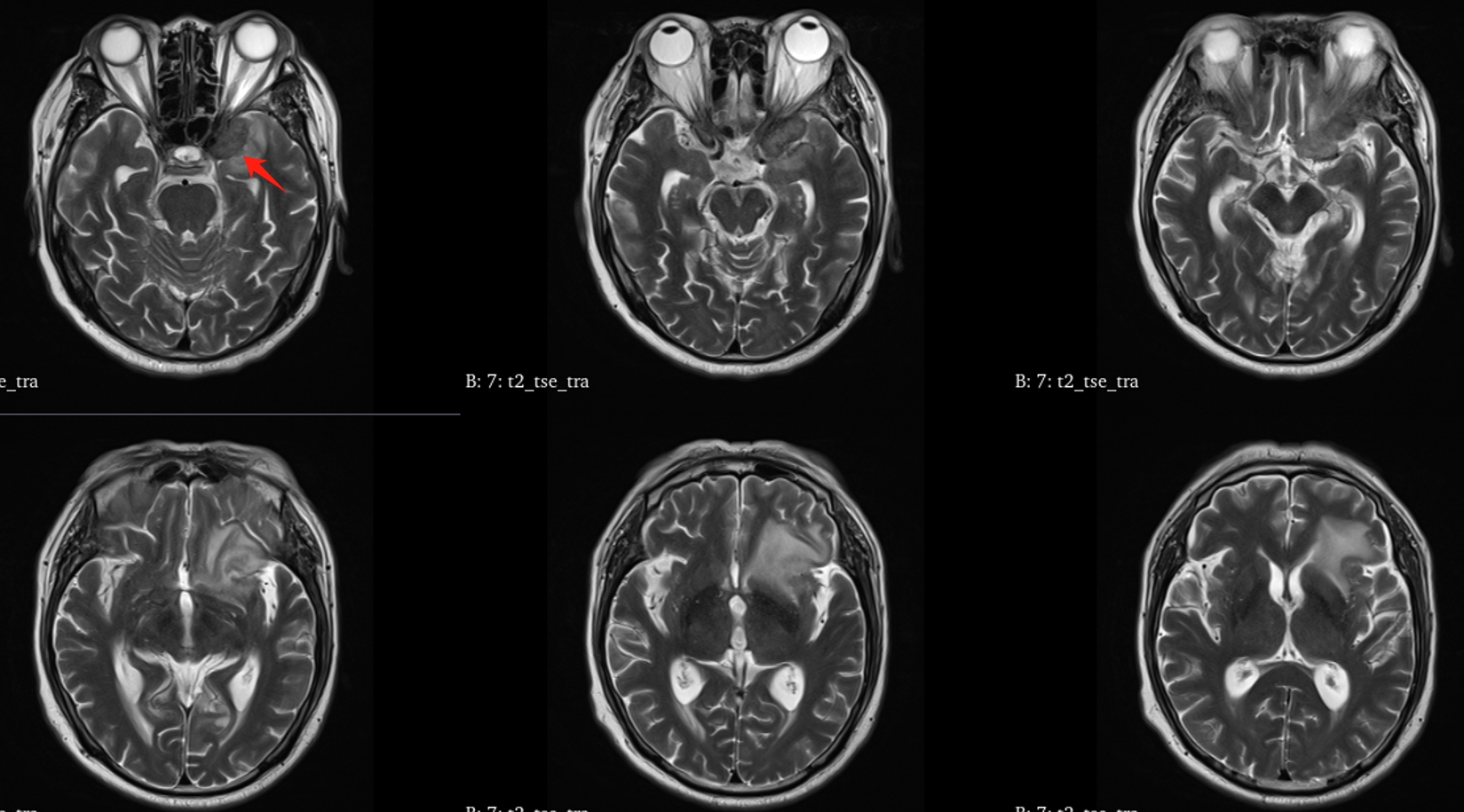
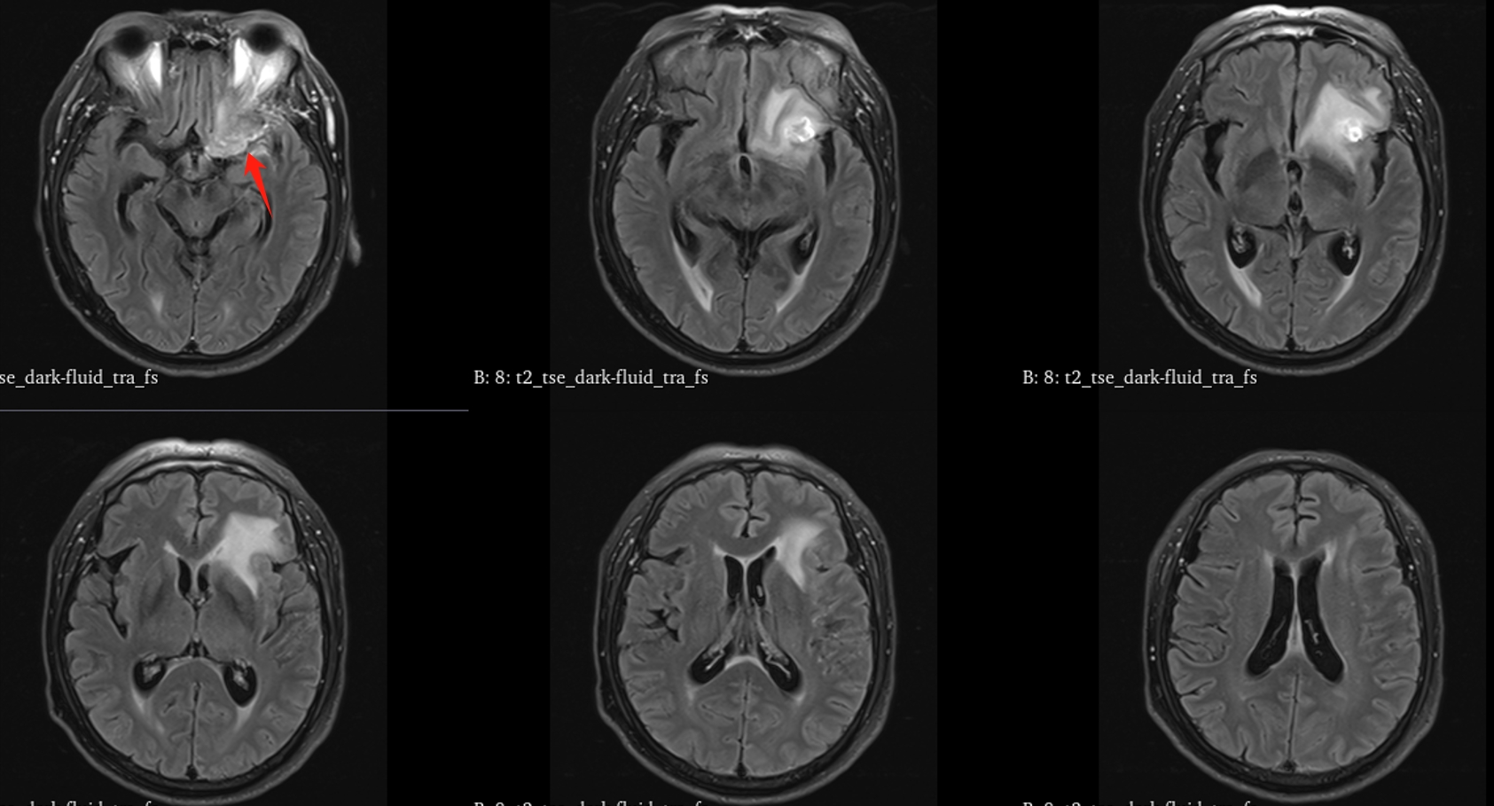
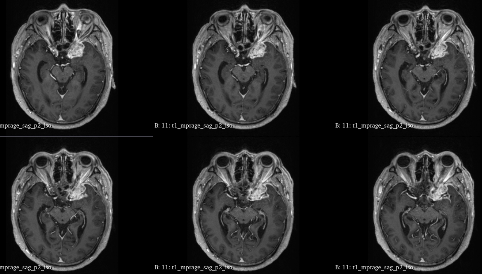
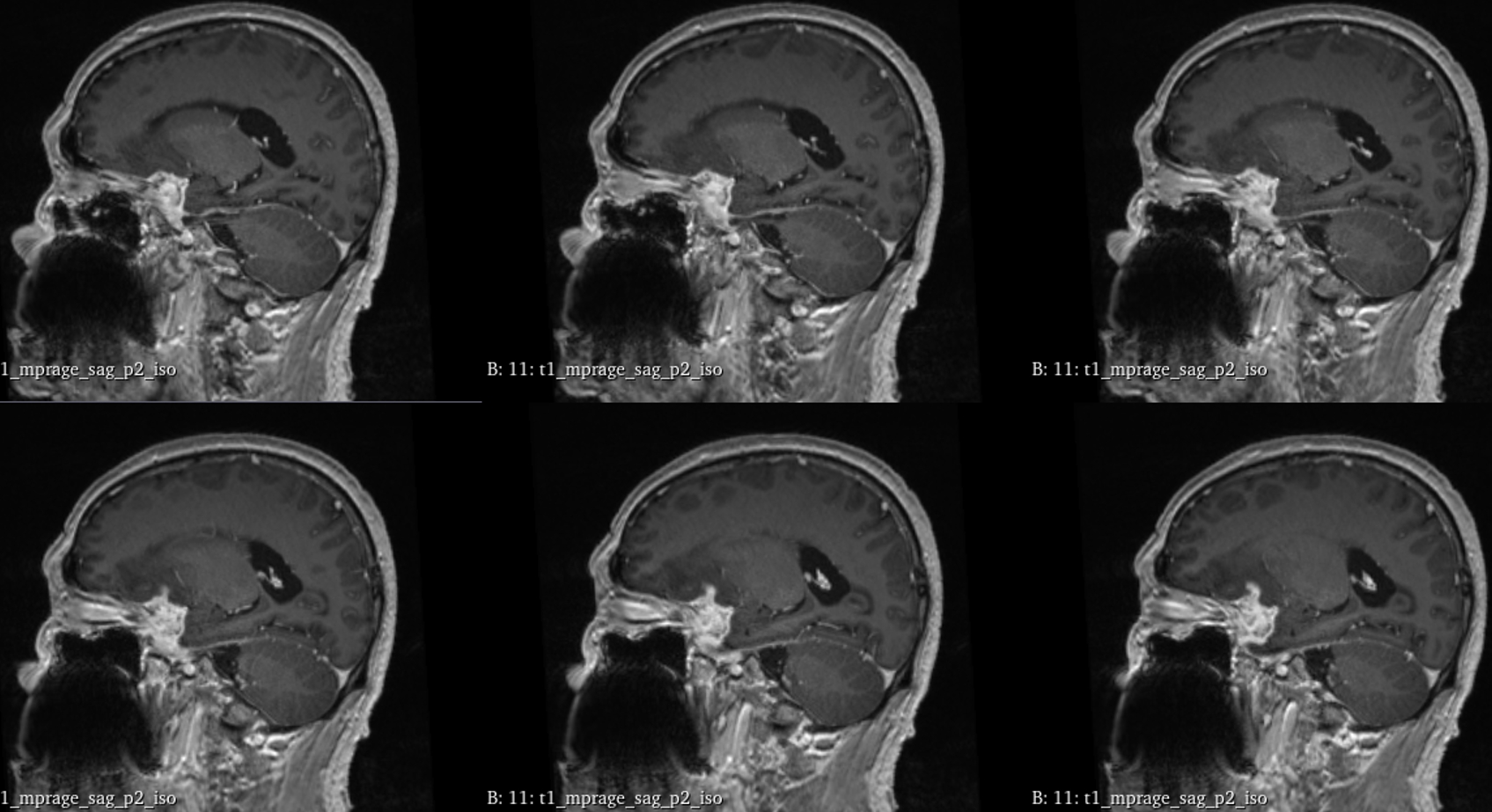
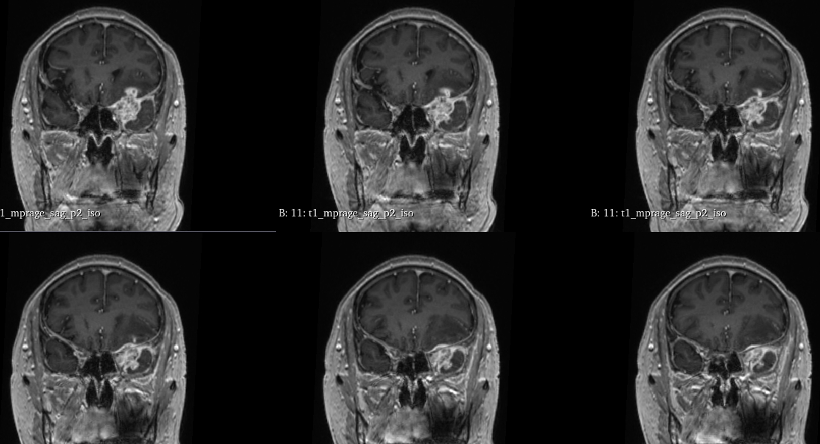
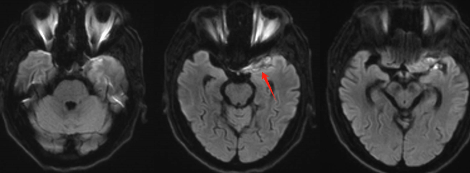
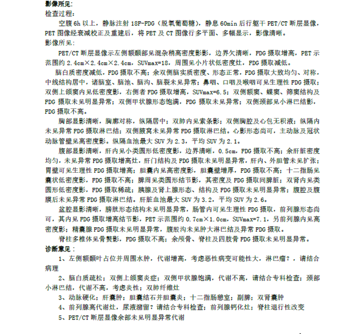
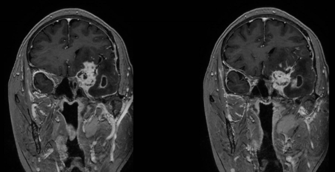
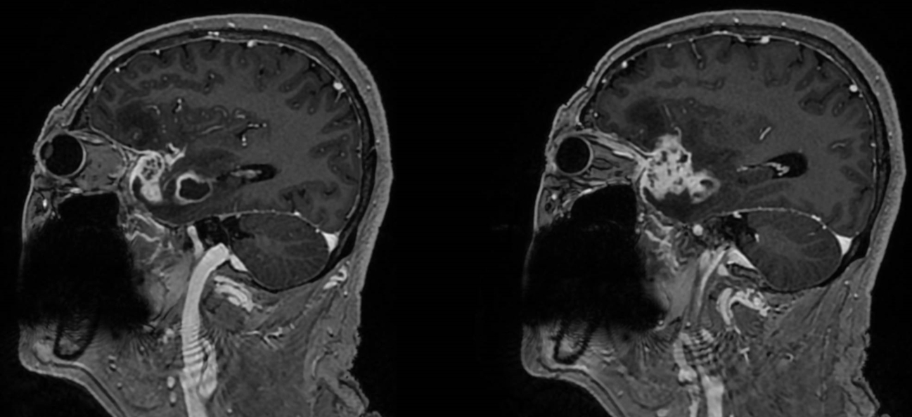
该患者入院后完善常规颅脑影像学检查,左侧颞叶病变,疾病性质不详,转移瘤、胶质瘤、炎症类疾病均不能排除,遂行PET-CT检查,提示左侧颞叶高代谢,淋巴瘤不能排除。组织MDT会诊建议可先行腰椎穿刺查脑脊液脱落细胞学、感染指标,若仍不能确诊,可进一步行开颅病灶切除,术中快速冰冻,根据冰冻结果决定手术手术策略。患者脑脊液脱落细胞学结果:较多淋巴细胞,少许单核细胞及个别中性粒细胞,未见异形细胞,脑脊液常规、生化、脑脊液培养未见细菌生长,诊断仍不能明确,且患者病情进展迅速,患者神志呈昏睡状态,颅脑MRI提示病变较前明显增大(影像学检查间隔两周),且水肿明显加重,遂行开颅病变切除术。术中见部分病变累及蝶骨嵴硬膜,病变质地硬韧,内有多个囊腔,囊内容物为黄色粘稠样脓性物质,留取囊液及实性部分送快速冰冻,在等待冰冻过程中,进一步探查见肿瘤侵犯左侧颞叶,该部位肿瘤质地相对软,无包膜,与周围脑组织无边界,血运不丰富,内有多个囊腔,且肿瘤侵犯侧裂池、颈动脉池,左侧视神经、颈内动脉、大脑中动脉均被病变包绕,且该处肿瘤质地偏硬韧。术中快速冰冻提示组织大片变性坏死,伴胶质增生及淋巴增生。结合病变质地及冰冻结果,考虑为非肿瘤性疾病,可能为炎性病变伴肉芽肿形成可能性大,且肿瘤质地硬韧,累及范围广泛,难以全切,遂行肿瘤大部分切除后结束手术。术后病理结果明确后予以伏立康唑、醋酸卡泊芬净抗真菌治疗。在治疗过程中患者先后出现脑出血、脑梗塞,最终因治疗周期长,花费高、效果不确定等因素,家属放弃治疗,于术后1月去世。
颅内曲霉菌病(intracranial aspergillosis,ICA),又称中枢神经系统曲霉菌病,是一种由曲霉菌侵袭感染脑实质、脑膜(硬脑膜为主)、脑血管及海绵窦等颅底结构引起的侵袭性真菌病。ICA由Oppe首次报道于1897年,该病临床少见,但随着激素、免疫抑制剂及广谱抗生素的广泛应用,其发病率逐年上升。ICA的临床及影像学表现缺乏特异性,核心症状异质性大,诊断及鉴别诊断困难。ICA占颅内真菌感染的5%-10%,占侵袭性曲霉菌感染的14%-42%,ICA更易累及男性,男女比例为2.25∶1。曲霉菌在自然界中广泛存在,是一种机会致病菌。其分生孢子可经呼吸道进入人体,定植于肺部、鼻窦等空腔内。当机体免疫力降低时,曲霉菌在组织、器官或血液中生长、繁殖,导致炎性反应及组织损伤,可经两种途径即局部浸润及血行播散侵入颅内导致ICA。据报道,18.0%-66.7%的患者由鼻窦、中耳及乳突中的曲霉菌感染浸润引起(窦源性ICA),该患者合并慢性鼻窦炎,考虑为窦源性。ICA可累及脑血管、脑实质、脑膜(硬脑膜为主)及颅底结构,导致坏死、化脓及慢性肉芽肿。曲霉菌侵及脑血管后,既可因菌丝填充或炎性反应导致脑梗死,又可因曲霉菌性动脉瘤破裂导致脑出血或蛛网膜下腔出血。该病多呈急性或亚急性起病,进行性加重,临床表现多样且缺乏特异性。
目前常规辅助检查有:
脑脊液常规、生化及培养:ICA患者的脑脊液常规及生化检查可正常,曲霉菌在实验室环境易于生长,但脑脊液曲霉菌培养阳性率较低,仅为10%左右。
GM实验,GM是曲霉菌细胞壁的主要成分,是疾病早期释放至体液中的抗原之一。据报道,脑脊液GM试验诊断ICA的敏感度及特异度分别为88.2%及96.3%,且阳性预测值及阴性预测值均超过90%,脑脊液GM水平与曲霉菌感染严重程度相关,监测该指标可评价治疗效果及预后。影像学检查具有多样性,多为反复慢性炎症、肉芽肿样改变,部分易累及颅底。
目前确诊ICA仍依赖于病灶切除或活检,获得组织病理学、直接镜检或培养证据。《颅内曲霉菌病诊治中国专家共识》推荐:当临床症状怀疑ICA时,应尽早行脑脊液检查(常规、生化、培养、G试验、GM试验及mNGS)及颅脑MRI平扫+增强检查。怀疑窦源性ICA时,还应加做颅底CT检查。当临床症状符合ICA,但上述检查结果为阴性时,可重复送检。条件允许时,及时行标本镜检与培养获得确切证据。尤其是对于长期应用激素、免疫功能缺陷高危患者。
及早开始有效的抗真菌治疗是改善ICA预后的关键。伏立康唑是治疗ICA的首选药物,当患者因药物不良反应难以耐受时可选择艾沙康唑、泊沙康唑或两性霉素B脂质体替代。治疗疗程分为强化期(静脉抗真菌治疗,8-12周)及维持期(口服抗真菌治疗,9-12个月)。中枢神经系统曲霉菌感染病理改变以颅内脓肿和肉芽肿为主,因此单独抗真菌治疗对中枢神经系统曲霉菌病的疗效不佳,由于抗真菌药物血脑屏障透过率差,死亡率高达90%,采取外科手术切除病灶结合抗真菌治疗,死亡率可将低至64%。



王喆,男,52岁,医学博士,主任医师,硕导,潍坊名医,潍坊市人民医院神经外五科主任。兼任中国中西医结合学会神经外科分会青年委员、中国抗癌协会淋巴瘤学组委员,国家神经疾病医学中心脑胶质瘤MDT专科联盟常务理事、山东省医学会神经外科专业委员会委员及神经肿瘤学组副组长、山东省医学会胶质瘤多学科联合委员会委员及学术工作组副组长、山东省医师协会神经外科分会常委、山东省抗癌协会神经肿瘤分会副主任委员、山东中西医结合学会神经外科分会副主任委员、山东省神经科学学会神经外科学分会副主任委员、世界华人神经外科协会颅脑创伤专业委员会委员、潍坊市神经肿瘤多学科联合委员会主任委员等。于2014年在德国Greifswald大学研修。研究方向为神经肿瘤、颅脑创伤的外科治疗,完成省市科研课题多项,发表SCI论文11篇,获得国家发明专利2项。
潍坊市人民医院神经外五科(神经肿瘤病区)简介
潍坊市人民医院神经外科是国家级临床重点学科建设单位之一,是山东省卫生厅医学特色专科,山东省临床特色精品专科,潍坊市临床特色精品专科,目前分为四个亚专业六个病区。神经外五科自成立以来,科室立足于自身,坚持亚专科分化,精益求精的理念,主要负责颅内肿瘤及颅脑创伤的外科治疗。目前科室特色技术有:1.脑胶质瘤精准规范化诊治,我科术前实施全方位、多模态的检查技术进行肿瘤术前规划,术中结合全麻唤醒技术、电生理监测技术、先进的睿米机器人导航引导、显微镜下肿瘤黄荧光显像技术、术中超声等多种先进技术,进行精准可靠的个体化功能定位,在保护病人重要功能的前提下最大程度的切除病灶,术后结合多学科“MDT诊疗模式”和放化疗、电场治疗等。现为国家神经疾病医学中心脑胶质瘤MDT专科联盟理事单位;2.“双镜”联合技术治疗复杂颅底肿瘤;3.神经内镜经鼻微创技术切除鞍区肿瘤及部分颅底肿瘤;4.“睿米”机器人引导下颅内深部病变穿刺活检术及重要功能区肿瘤切除术;5.颅脑损伤手术及综合治疗、各种复杂性脑积水的个体化治疗。
供稿:于建树
编辑:赵余静
审校:王 喆