分享一例比较痛心的病例,手术时机选择错误,导致前功尽弃。
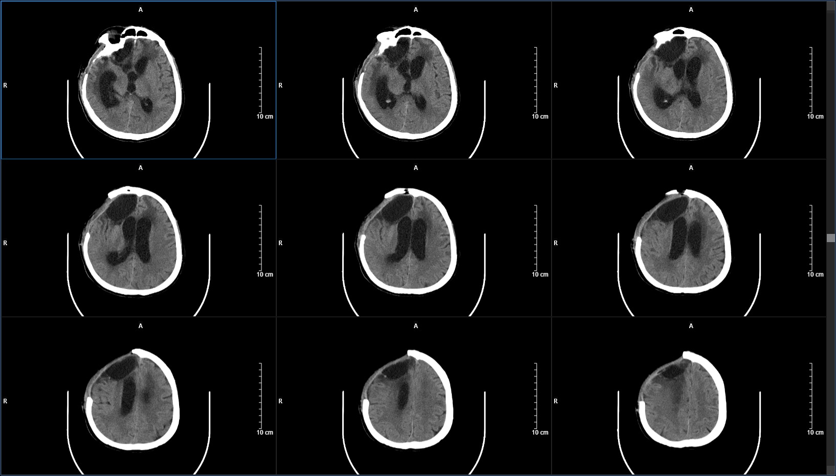
患者因外伤致脑疝、硬膜下血肿、脑挫伤在外院行开颅血肿清除+去骨瓣减压术后2个月,住院期间出现小脑出血(保守治疗),1周后转入我院。入院时 GCS评分8分(E4V1M3),右额颞顶部可见颅骨减压窗压力稍高。双侧瞳孔不等大,左侧直径约2.5mm,右侧直径约3.5mm,对光反射迟钝。



CT显示脑室饱满,颅压220mmH2O,行腰大池引流术,持续引流一周后(期间查脑脊液各项指标均正常),患者症状较入院时好转,查体能简单遵嘱动作,遂行脑室-腹腔分流术。






患者术后症状较前好转,查体能简单发音。
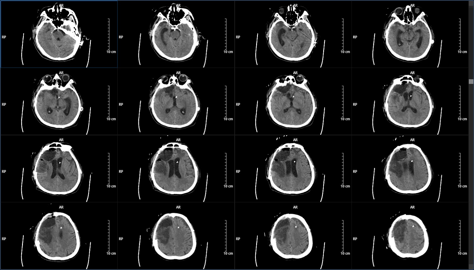
于分流术后20天,为更进一步治疗,决定行硬膜下积液清除+颅骨修补术。(术中见包膜完整,切除过程中过于追求全切导致术中损伤静脉,术后出现颞部梗死)。



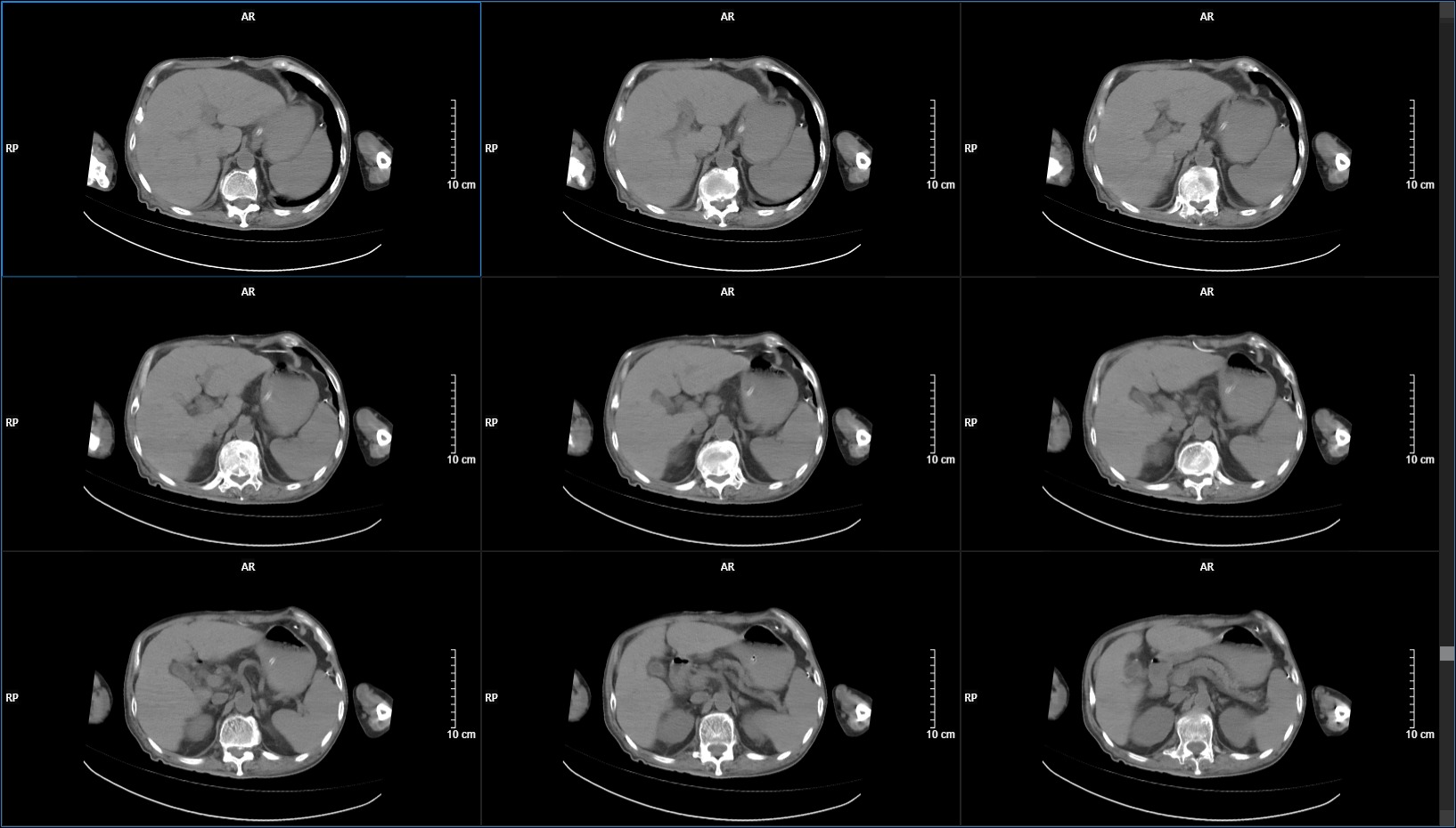
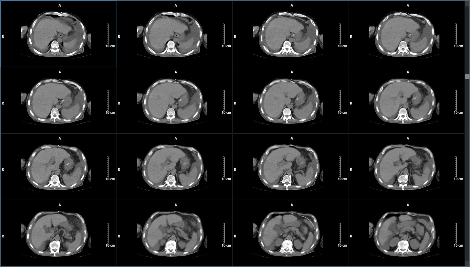
1周后,患者大便呈墨绿色稀便,腹腔出现积液,颅脑复查无变化。伴高热,血感染指标升高明显,但腰穿脑脊液结果正常,腹腔引流液化验结果也无异常。应用万古霉素、利奈唑胺等均效果差。意识也逐渐变差。



考虑腹腔分流管相关导致腹腔感染(仍然疑惑,各项检查数据均正常,无菌性炎症?网膜不吸收原因?),给予腹腔引流+拔除腹腔分流管,未在出现腹腔积液。但意识也回到入院时水平,肺部感染等并发症也逐渐出现。



拔除腹腔引流管一周转入上级医院继续治疗,后期随访家属放弃治疗,约2-3个月后患者在家中死亡。
小结:1、分流手术与颅骨修补时间间隔太短;2、修补时不应该打开硬膜清除积液;3、术中操作过于激进损伤血管。
引以为戒,见好就收!





