2025年04月21日发布 | 1355阅读
脑血管-自发性颅内出血

微创前沿(1):机器人辅助微创手术:脑出血精准治疗新篇章 

张良君

西北大学第一医院

达人收藏、周刊收录2项荣誉





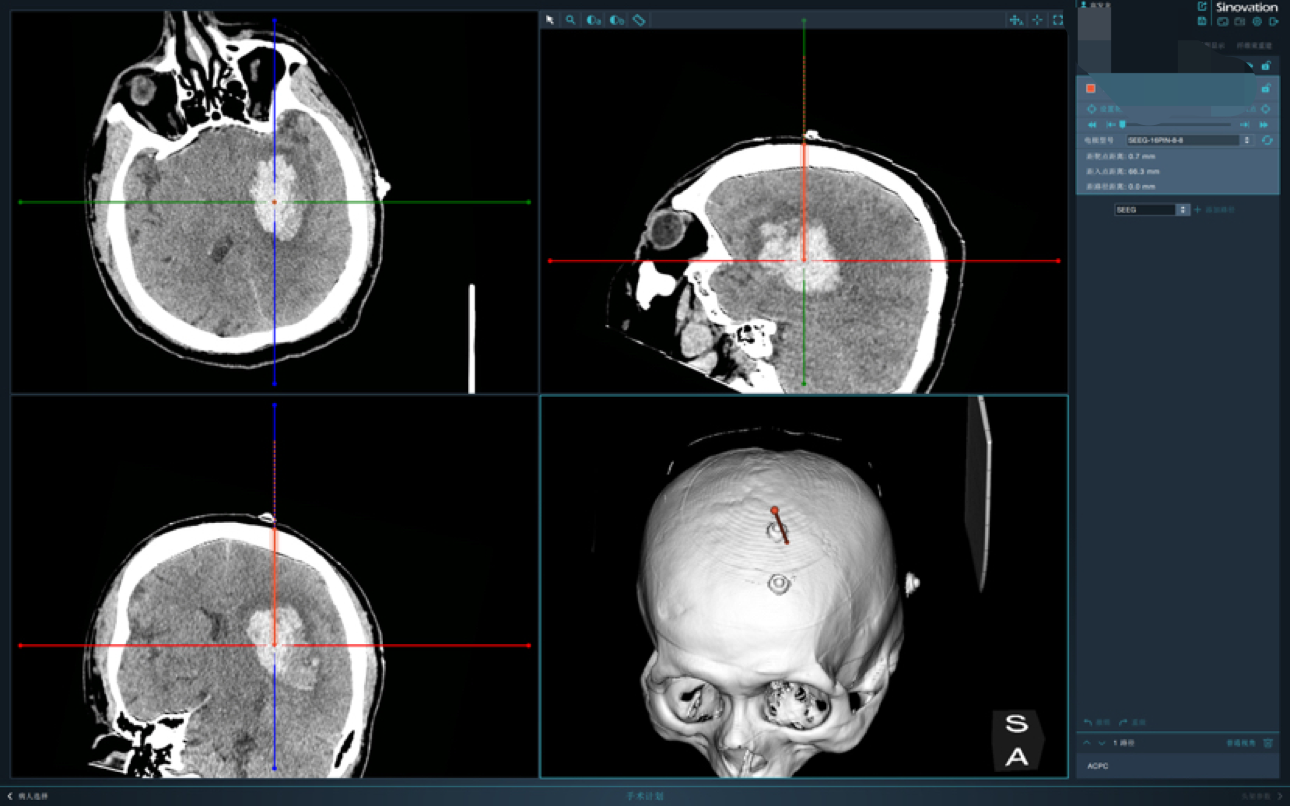
机器人微创技术治疗高血压脑出血:0.5cm切口开启治疗新纪元。
技术亮点:
毫米级精度:机器人系统实现亚毫米级血肿定位,减少脑组织损伤。
极速微创手术:0.5cm切口,0.3cm骨孔,10分钟手术,2ml出血量。
智能化平台:集成震颤过滤、多自由度机械臂等技术,突破传统手术局限。
对比传统术式:更小的创伤,更低的风险,更快的恢复,97%成功率,10天平均住院时间,50%费用降低。

最新评论
发表你的评论
发表你的评论