王喆主任 魏广鑫副主任 赵余静 苗俊杰 乜全民 马永迁 陈冰 刘文强 常成岳 吴志鹏 于建树
中年女性,因“头痛伴记忆力减退1月” 入院;
查体:神志清醒,反应迟钝,精神差,高级认知功能差,双下肢肌力IV级;
既往体健;
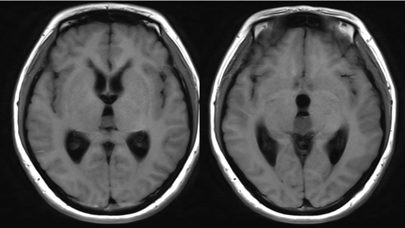
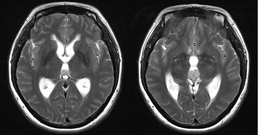
诊断:三脑室占位,梗阻性脑积水。










































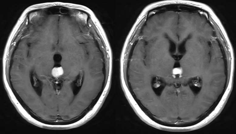
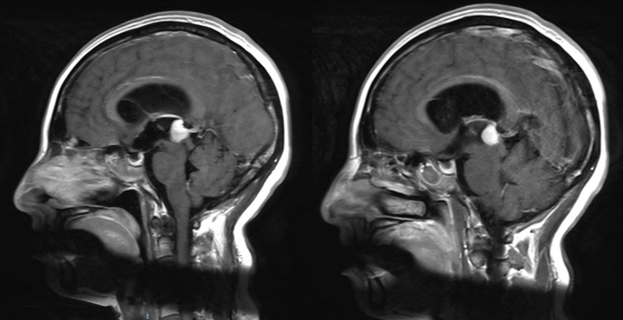
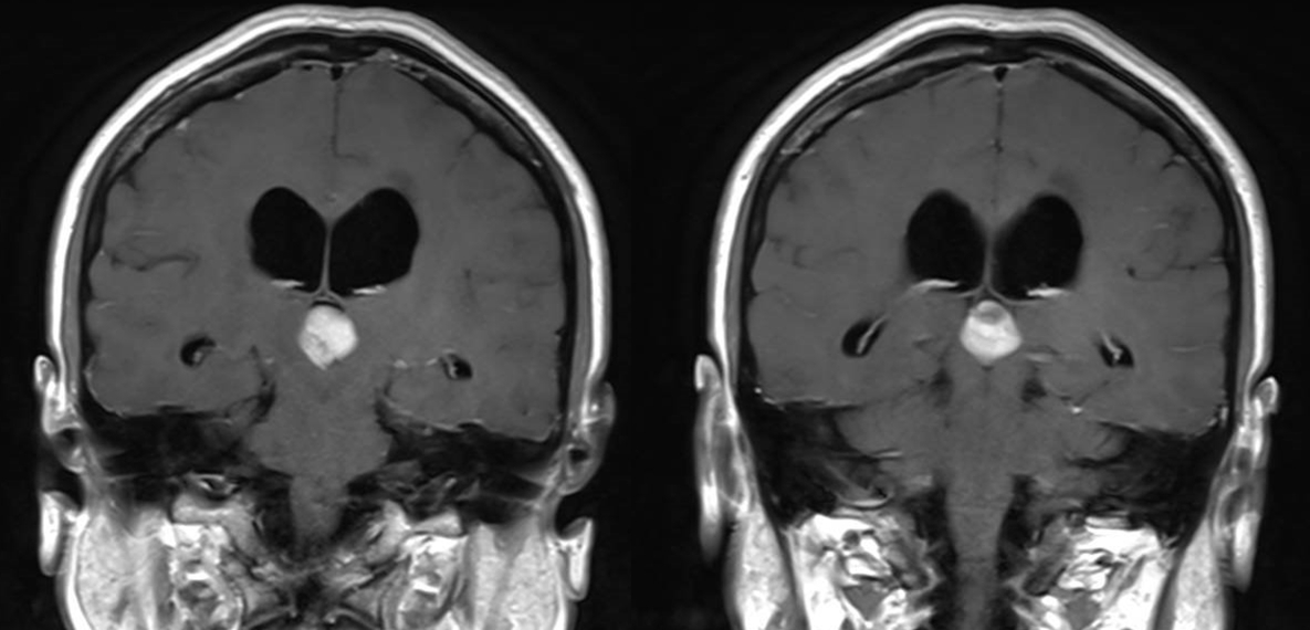
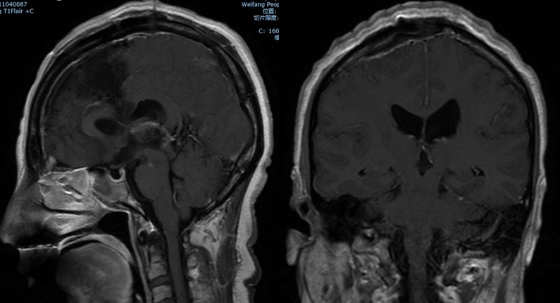
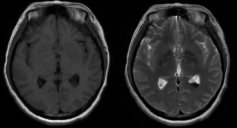
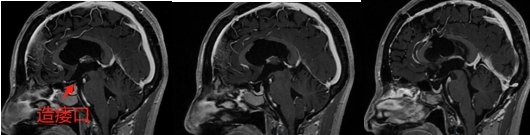
诊治过程:结合患者临床表现及影像学表现,初步诊断考虑为三脑室后部胶质瘤合并梗阻性脑积水可能性大,术前制定的手术方案为经胼胝体穹隆间入路三脑室后部肿瘤切除术+脑室镜辅助下三脑室底造瘘术,该手术方式既可切除肿瘤获取病理,同时可行三脑室底造瘘解决脑积水症状。术中采用冠状缝前额部弧形切口,术中沿纵裂牵开双侧大脑半球,探及胼胝体,沿中线切开胼胝体,分离双侧透明隔,暴露双侧穹隆,严格沿中线分离双侧穹隆,保护两侧穹隆的完整,避免引起术后的记忆力障碍,牵拉开双侧穹隆,进入中间帆,显露并分离双侧大脑内静脉继续向下,经脉络膜隔进入三脑室,完全显露肿瘤组织,肿瘤组织呈灰红色,血供极其丰富,与中脑黏连紧密,仔细分离,分块全切肿瘤,双侧大脑内静脉及中脑保护良好,中脑导水管通畅。肿瘤完全切除后,考虑到术后局部粘连、肿瘤复发等因素可能导致脑积水不缓解,置入脑室镜向前方探查,小心切开中间块,在双侧乳头体与漏斗隐窝之间,行三脑室底部造瘘并打开Liliequist膜及基底动脉旁蛛网膜,确认漏口通畅且与脚间池相通。患者术后恢复过程平稳,颅脑MRI提示肿瘤切除满意,脑积水缓解。术后病理结果示:中枢神经细胞瘤(2级)。术后予以放疗GTV 5400cGy、PTV 5040cGy,28f。现术后已3年,复查未见肿瘤复发,脑积水已完全缓解。
中枢神经细胞瘤 (central neurocytoma,CNC)是一种少见的神经来源的脑室内肿瘤,属 WHO 分级2级。 CNC多生长于脑室,以侧脑室最好发,多数肿瘤位于室间孔附近、侧脑室透明隔或侧脑室壁。少数可发生于胼胝体、穹窿、尾状核头部、丘脑和小脑,脑室外也有发生,但极为罕见。本例肿瘤位于三脑室后部,也比较少见。中枢神经细胞瘤的治疗以手术为主,若能手术全切除,可获得良好的治疗效果,若手术不能全切,术后辅以局部放疗能明显增加局部控制率,亦有研究报道伽玛刀治疗能明显增加残留肿瘤的控制率。



王喆,男,52岁,医学博士,主任医师,硕导,潍坊名医,潍坊市人民医院神经外五科主任。兼任中国中西医结合学会神经外科分会青年委员、中国抗癌协会淋巴瘤学组委员,国家神经疾病医学中心脑胶质瘤MDT专科联盟常务理事、山东省医学会神经外科分会委员、山东省医学会胶质瘤多学科联合委员会委员及学术工作组副组长,山东省医师协会神经外科分会常委,山东省医学会神经外科专业委员会神经肿瘤学组委员、山东省抗癌协会神经肿瘤分会副主任委员、山东中西医结合学会神经外科分会副主任委员、山东省神经科学学会神经外科学分会副主任委员、世界华人神经外科协会颅脑创伤专业委员会委员、潍坊市神经肿瘤多学科联合委员会主任委员等。于2014年在德国Greifswald大学研修。研究方向为神经肿瘤、颅脑创伤的外科治疗,完成省市科研课题多项,发表SCI论文8篇,获得国家发明专利2项。
潍坊市人民医院神经外五科(神经肿瘤病区)简介
潍坊市人民医院神经外科是国家级临床重点学科建设单位之一,是山东省卫生厅医学特色专科,山东省临床特色精品专科,潍坊市临床特色精品专科,目前分为四个亚专业六个病区。神经外五科自成立以来,科室立足于自身,坚持亚专科分化,精益求精的理念,主要负责颅内肿瘤及颅脑创伤的外科治疗。目前科室特色技术有:1.脑胶质瘤精准规范化诊治,我科术前实施全方位、多模态的检查技术进行肿瘤术前规划,术中结合全麻唤醒技术、电生理监测技术、先进的睿米机器人导航引导、显微镜下肿瘤黄荧光显像技术、术中超声等多种先进技术,进行精准可靠的个体化功能定位,在保护病人重要功能的前提下最大程度的切除病灶,术后结合多学科“MDT诊疗模式”和放化疗、电场治疗等。现为国家神经疾病医学中心脑胶质瘤MDT专科联盟理事单位;2.“双镜”联合技术治疗复杂颅底肿瘤;3.神经内镜经鼻微创技术切除鞍区肿瘤及部分颅底肿瘤;4.“睿米”机器人引导下颅内深部病变穿刺活检术及重要功能区肿瘤切除术;5.颅脑损伤手术及综合治疗、各种复杂性脑积水的个体化治疗。
供稿:赵余静
编辑:赵余静
审校:王 喆





