病史简介:
患者基本信息:60岁,女性,因“突发失语伴左侧肢体无力2小时余”急诊就诊。
简要病史:患者于入院前2小时久坐后突发左侧肢体无力伴失语,双眼向右侧凝视,无意识障碍,急来我院就诊,头颅CT未见出血,头颅DWI提示:右侧颞叶大面积脑梗死,急诊以“急性脑梗死” 收住入院。既往患有高血压20年,口服尼群地平片,一日1片,患有糖尿病20余年,口服二甲双胍缓释片及格列吡嗪控释片治疗,曾有右踝关节手术史。
入院查体情况:意识清楚,T:36.5°C P:84次/分R:20次/分 BP: 150/84mmHg,双眼向右侧凝视,失语,左侧上肢肌力1级、下肢肌力1级,病理征阳性,右侧肢体肌力5级,NIHSS评分13分。
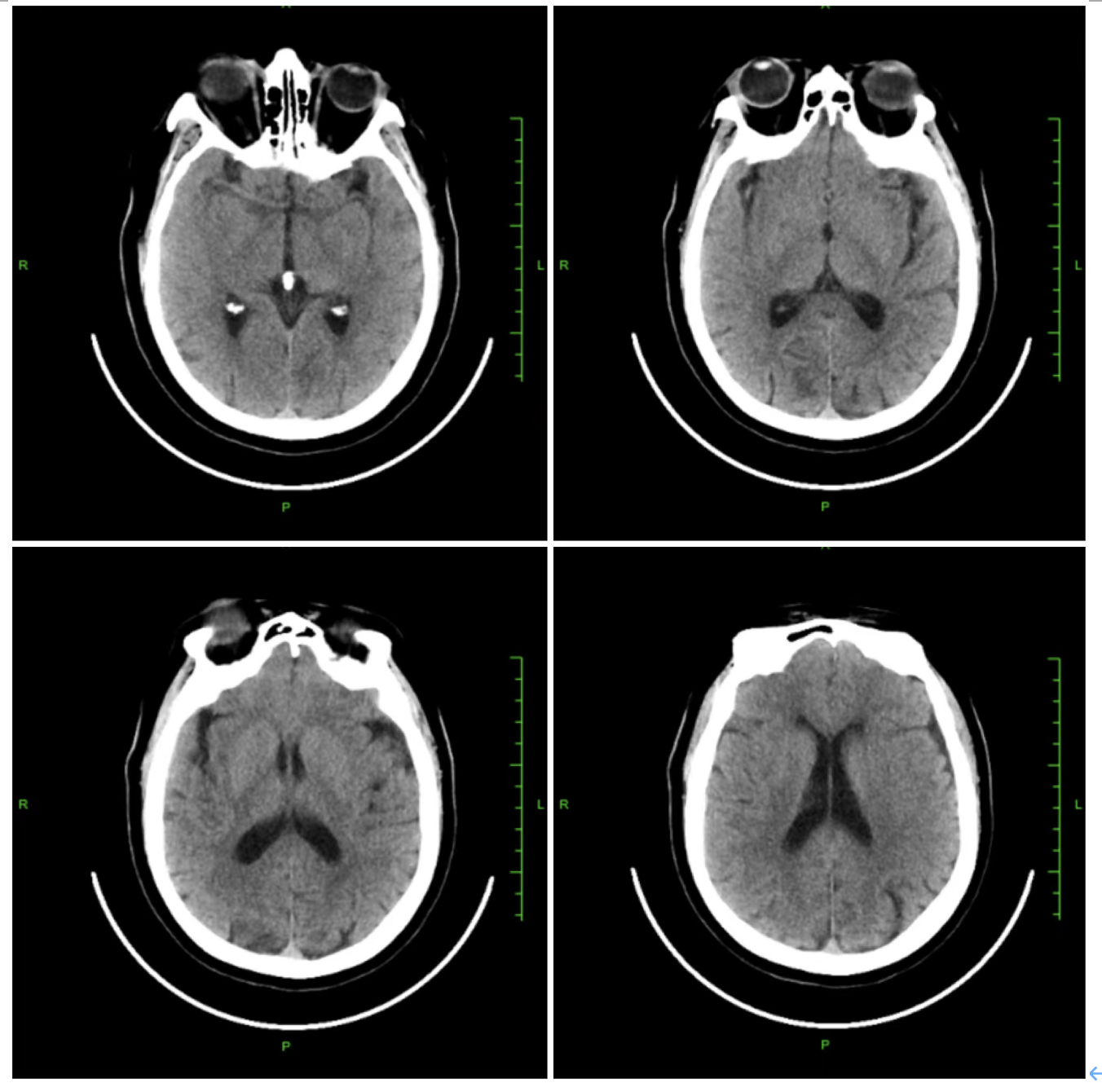
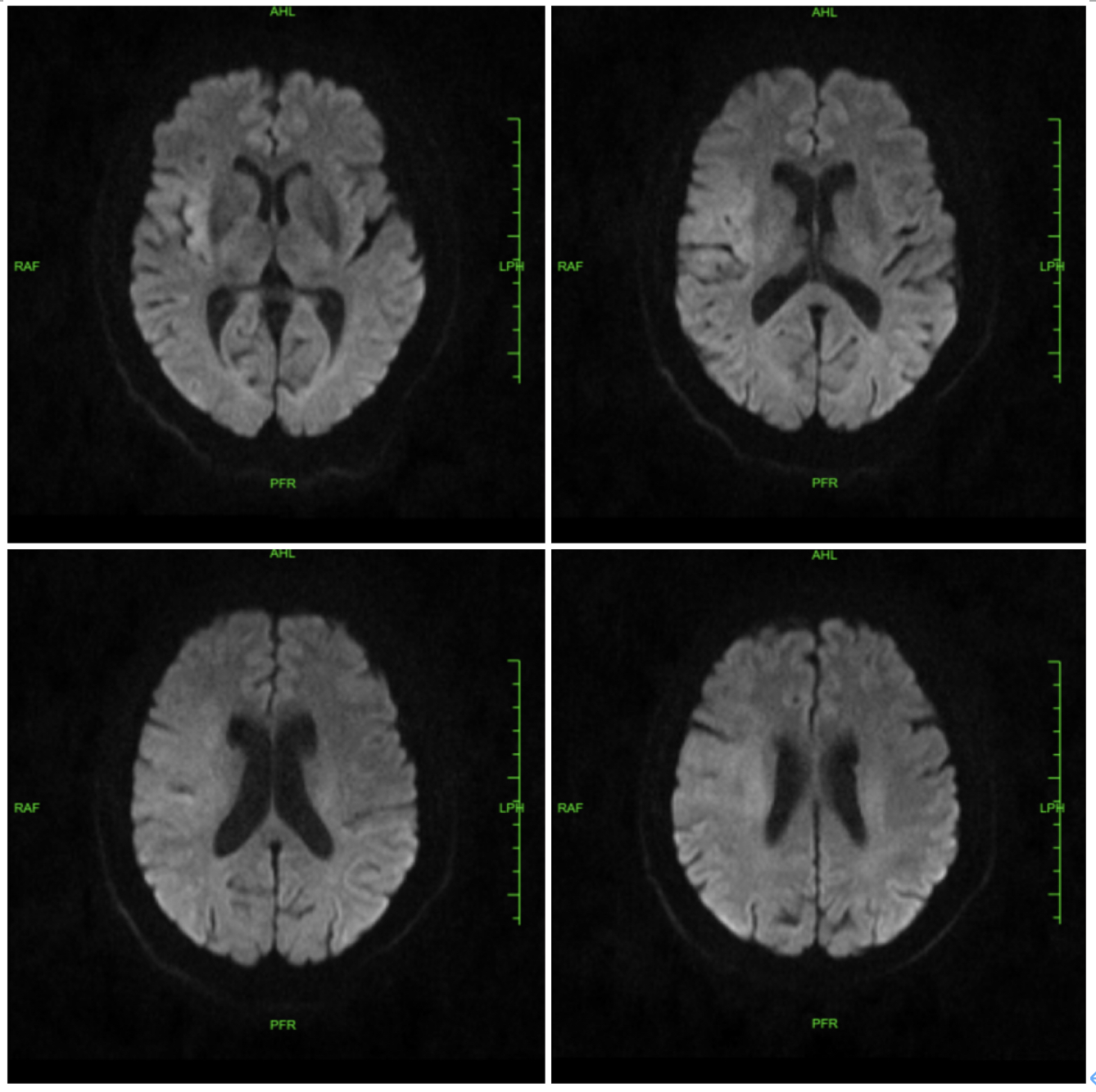
术前影像学检查结果:急诊头颅CT:可见右侧大脑中动脉高密度征,右侧半球未见明显出血及低密度影;头颅DWI:右侧颞叶大面积脑梗死。
入院诊断:
1、急性脑梗死(大动脉粥样硬化型)
2、右侧大脑中动脉闭塞
3、高血压病3级
4、II型糖尿病


治疗经过
术前分析:
1、患者既往高血压病、糖尿病病史较长,且肥胖体型,根据病史、体征、以及影像学的资料,诊断明确为急性脑梗死(大动脉粥样硬化型),考虑右侧大脑中动脉闭塞,发病2小时余,在静脉溶栓时间窗,应积极与患者家属沟通,给予静脉溶栓,同时桥接介入取栓。
2、患者肥胖体型,平卧呼吸困难,可在全麻下手术,考虑大脑中动脉闭塞,拟行SWIM技术,尽可能做到“一把通”,防止血栓逃逸,尽量减少手术操作时间,为脑灌注争取时间。
术中涉及介入器械选择:
鞘:8F血管鞘组
支撑导管:心玮SM*SC-8D090
抽吸导管:心玮WM*ASC-6F125
微导管:Rebar-18
颅内取栓支架:心玮HC*TDE-4020
微导丝:0.014-200cm
结合术中代表性影像简要描述手术过程:
1、术中造影可见右侧大脑中动脉M2段上干闭塞,同侧大脑前无明显代偿,故不考虑狭窄,判断为血栓形成,尝试抽拉结合开通血管。

2、心玮吞川抽吸导管到达海绵窦段,微导管在微导丝的引导下无阻力进入较为平滑的M2远端,冒烟证实在血管真腔。

3、心玮4-20取栓支架到位释放,等待5分钟,在支架铆钉及微导管的支撑下,逐步跟进抽吸导管至M2闭塞处,撤出微导管,关闭滴注,利用SWIM技术,整体将取栓系统撤出体外,复查造影血流2b级,正位看局部似乎还有血栓,侧位及斜位看,似乎还有1支未通,给予动脉内替罗非班10ml/10分钟。

4、给予替罗非班后为进一步了解病变,行3D造影,最终证实M2分叉部一共有4支,开通3支,还有1支闭塞,指向额叶供血。

5、工作位路图,在中间导管高到位辅助下微导管超选M2闭塞分支,冒烟证实血管真腔,释放心玮4-20取栓支架。

6、关闭滴注,中间导管到达M2分叉部,缓慢轻拉支架入中间导管整体撤出体外,可见支架远端附着血栓。 术后即刻造影,闭塞分支血管再通,M2闭塞处的可疑血栓消失,至此4支血管全部通畅,血流3级,结束手术。

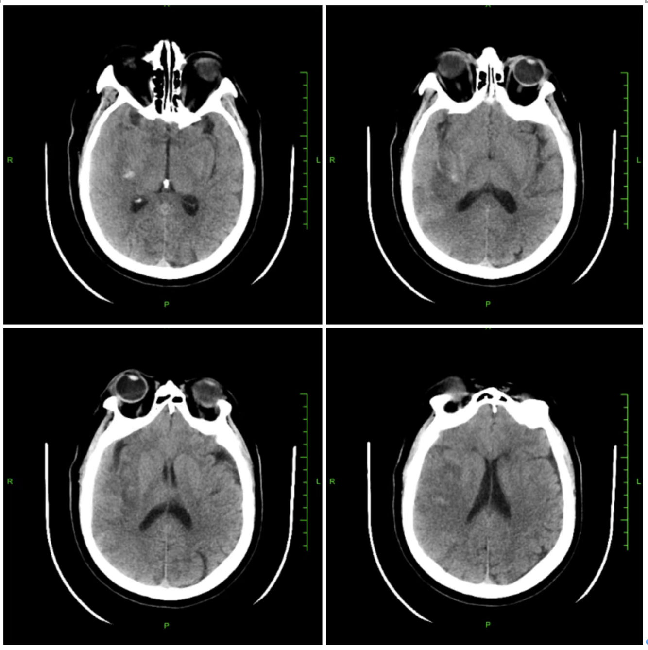
7、术后情况:术后12小时,患者凝视消失,语言流畅,左侧肢体肌力恢复至3级,头颅CT复查:右侧颞叶无症状少量出血灶,散在低密度影。次日,左侧肢体肌力恢复至4级。

病例总结:
MeVO取栓特点:发病率高、治疗率低、患者预后差。MeVO的治疗方式主要包括药物动静脉溶栓和机械取栓,药物溶栓属于指南中推荐的治疗方式,但疗效较为有限,机械取栓属于当前热点与难点,但临床诊疗过程中仍存在诸多挑战。MeVO的治疗原则为非必要不取栓,确定MeVO闭塞血管的功能非常重要,如果为重要功能区的供血动脉,需积极治疗,如果为非重要功能区,不建议积极治疗。
该病例看起来只是M2段的闭塞,血管直径较粗,但是没想到的是,正好堵在了分叉部,且有4个分支,好在是术前静脉溶栓了,减少了血栓负荷量,如果血栓负荷量大,无疑会有更多分支的血栓逃逸,血管内的治疗就显得异常艰难。静脉溶栓,尽管完全开通血管率低,但能减少血栓负荷量,给血管内治疗的成功率带来一定的帮助。
我们在超选微导管的时候,选择了较为平直的具有M2移行特征的分支,作为支架的着陆血管,容易释放支架,回拉支架也比较丝滑,不容易损伤血管。
术者体会:
此病例是典型的MeVO,闭塞部位为右侧M2段上干的远端,我们选择心玮较小的取栓支架4-20进行取栓是可行的,抽拉结合取栓后3D造影,发现原有闭塞的部位就在上干分叉部,且共有4个分支,取通3支,还有1支向额叶供血的分支未通,术中一度纠结,到底要不要继续取分支血管?分析认为,分支闭塞应该是继发的血栓逃逸,该病例给了静脉溶栓,血栓负荷量并不是很大,而且患者术前有失语的症状,能开通那是锦上添花,就看能否超选成功,起始部虽然成直角,中间导管到位很高,超选倒是容易,但血管还是很迂曲,直径应该在1mm以下,小心释放心玮4-20支架,部分释放在中间导管内,谨小慎微,只想尝试一把,结果运气很好,血栓成功取栓,4支血管全部通畅,术后迅速改善了患者的症状。
目前M2、M3取栓的证据和获益缺乏证据,平时,我们也有M2、M3的取栓经验,但风险还是大于M1闭塞的取栓。能否给患者获益,是我们取栓开通血管的根本意义,说白了就是看症状,看血管解剖,如果过度迂曲,血管直径更细,超选困难,风险大于获益,那就收手;如果血管直径较粗,又是重要的功能区的供血动脉,同时闭塞部位似乎也能够达到,开通的意义就很大,如果手中有合适的武器(较小的取栓支架和抽吸导管),并且有处理这种情况的经验,直接取栓应该是可取的,但同时动脉溶栓获机械碎栓也不失为一种合适的策略。
术者简介:




