患者在李小勇脑脊液专业治疗过程和结果】患儿男,3岁,海南儋州市人。
一、神经外科(李小勇脑脊液专业)入院前病史
患儿于2024年1月16日(2岁半)突发头痛、伴呕吐,随即意识不清,由120急送至当地海南省某三甲医院,行颅脑CTA示右侧小脑半球动静脉积血伴出血,血肿约35*23mm,破入脑室,邻近小脑结构受压向左偏移(片子丢失)。
术后症状有短暂好转后但又出现了双眼凝视,精神状态差,术后5天的时间内2次查头颅CT示脑室再次明显扩大(图-1),持续Ommaya囊外接引流瓶引流脑脊液。
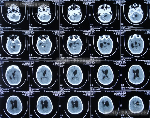
图-1:2次查头颅CT该院继续治疗40天,期间6次查头颅CT(图-2)均示脑室扩张不断地加重。
图-2:6次查头颅CT
术后半月余期间3次查头颅CT(图-3)均示脑室仍扩张。
图-3:3次查头颅CT
2024年5月24日(脑室腹腔分流术后25天)进行了第5次手术:腹腔镜下肠粘连松解+腹腔脓肿引流术,术后见脑室腹腔引流管腹腔端周围有脓肿形成,给予第6次手术:脑室腹腔分流管拔除+右侧脑室置管引流术,留取脑脊液细菌培养示鲍曼不动杆菌,给予联合消炎治疗,效果差,为进一步治疗由120急送至北京北亚骨科医院的李小勇脑脊液专业。
二、神经外科(李小勇脑脊液专业)治疗过程和结果
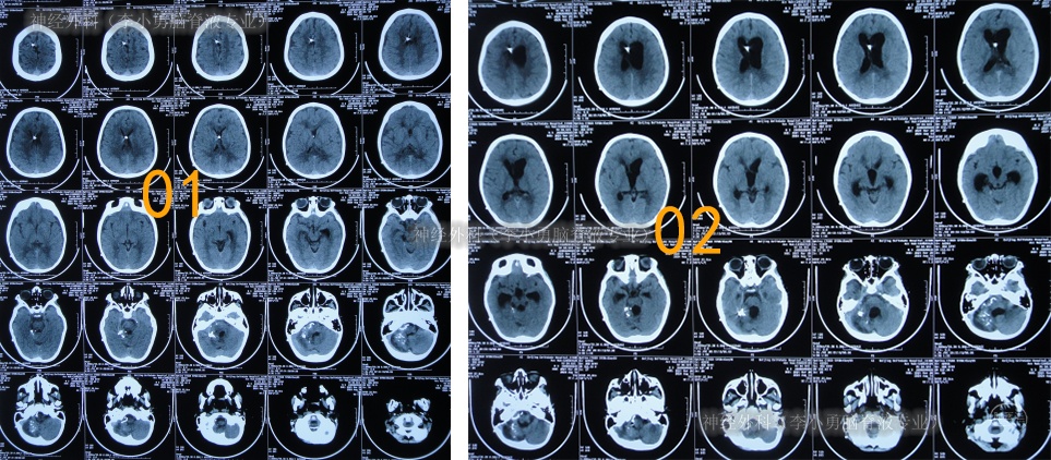
2024年6月3日(脑血管畸形栓塞术后脑积水伴间断高热5月余,外院经5次手术仍脑积水致严重颅内感染)转住入李小勇脑脊液专业,入院时:意识模糊,哭闹,咳嗽伴白色粘痰,高热,鼻饲流食;携带外院脑室外引流管;头部有多处瘢痕,有手术缝合线(图-4);入院时头颅CT示脑室外引流术后、脑积水(图-5)。
图-4:2024年6月3日入院时
图-5:2024年6月3日入院时头颅CT
入院当天拔除了原脑室外引流管+脑室外引流术,引流出浑浊含絮状物脑脊液(图-6)。
图-6:2024年6月3日术后
脑室外引流术后第2天即2024年6月4日,引流出的脑脊液仍有絮状物(图-7)。
图-7:2024年6月4日
入院后5天即2024年6月7日,病情好转为:意识变清,能简单问答,手可以拿东西(图-8)。
图-8:2024年6月7日
入院后10天即2024年6月12日,查头颅CT示脑室有所缩小(图-9)。
图-9:2024年6月12日头颅CT
入院后12天即2024年6月14日,头颅CT示脑室进一步缩小(图-10);意识变得完全清楚能喊爸爸妈妈,能回答(图-11)。
图-10:2024年6月14日头颅CT
图-11:2024年6月14日
入院后17天即2024年6月19日,变得能经口进食拔除鼻饲管(图-12);查头颅CT示引流术后状态(图-13)。
图-12:2024年6月19日
图-13:2024年6月19日头颅CT
入院后18天即2024年6月20日,引流出的脑脊液变清亮透明,饮食变完全正常(图-14)。
图-14:2024年6月20日
继续治疗近2月,期间2次查头颅CT均示脑室缩小(图-15),且变得能在搀扶下走路(图-16)。
图-15:2次查头颅CT
图-16:2024年8月14日
入院后87天即2024年8月28日,患儿走路仍差但在病床上躺卧、坐起、上肢活动均正常(图-17)。
图-17:2024年8月28日
按计划于2024年8月29日,进行了脑室腹腔分流术(图-18)。
图-18:2024年8月29日头颅CT
2024年9月5日(外院治5月余经5次手术仍脑积水,但李小勇脑脊液专业治疗95天)出院,出院时:由入院时的意识模糊,鼻饲流食,间断高热变得意识清楚、饮食正常、体温正常,且能扶着能走路(图-19)。
图-19:2024年9月5日出院
三、出院后随访
出院后半月即2024年9月19日,回家后身体进一步恢复,经常坐着小三轮车玩耍(图-20)。
图-20:2024年9月19日
〔本典型病例所涉及的图片和视频均经患者本人或家属同意,如有异议,请联系该内容发布方〕
*********专家简介***********
8.脊髓空洞/小脑扁桃体下疝(Chiari畸形)/脑积水:(随机单一症/随机二联症/三联症)。
10.神经内科型脑膜炎(化脑/结脑/真菌/病脑)及其脑积水或顽固高颅压并发症。
交流咨询(中华脑脊液科医生群):13651375487(微信同号)




