病史资料:
马某某某,女,36岁。
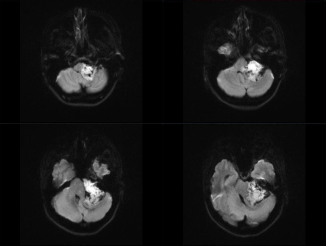
患者于入院前半年无明显诱因出现头痛、头晕,较剧烈,可耐受,无恶心、呕吐,无意识丧失,口服“止痛药(具体药名、剂量不详)”后症状稍缓解,入院前1周上述症状较前加重,患者前往当地医院就诊,行头颅MR示:1.左侧桥小脑角区占位,结合平扫及增强,现多考虑:皮样或表皮样囊肿。2。幕上梗阻性脑积水、脑室轻度积水。3.右侧上颌炎。现转至我院就诊。
入院阳性体体征:左侧面部感觉异常,余正常。
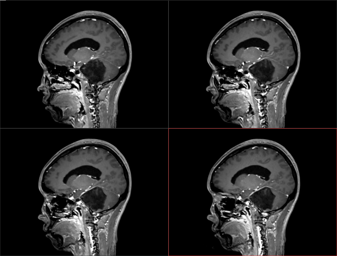
术前影像:















手术体位:






术中操作:
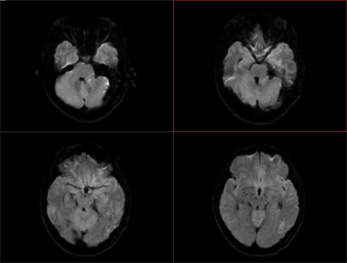
术后影像:


















病理诊断:



患者术后状态:



术者简介:










