王喆主任 魏广鑫副主任 赵余静 苗俊杰 乜全民 马永迁 陈冰 刘文强 常成岳 吴志鹏 于建树
54岁中年男性,因“突发右侧肢体无力3小时”就诊于当地医院。
入院查体:神志嗜睡,语言含混,对答基本切题,右侧肢体自主活动,左侧肢体肌力2级。 既往体健,否认高血压病、糖尿病、心脑血管疾病、抗凝药物服用病史。
入院诊断:右侧基底节脑出血。
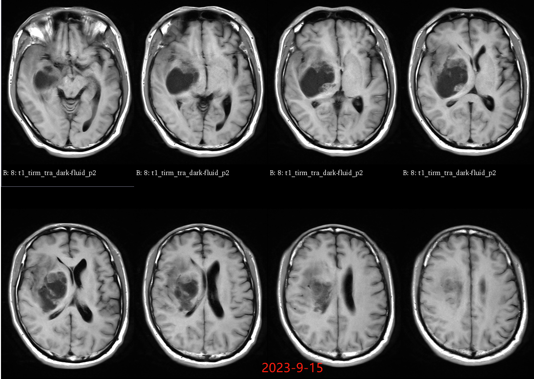
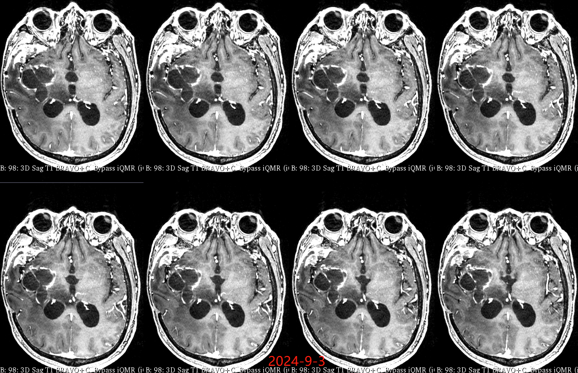
入院后于当地医院完善头颈部CTA检查未见明显血管发育异常,于2023-6-7行血肿钻孔引流术+脑室内颅内压监护探极置入术,引流一周后拔除引流管,期间未行尿激酶注射,患者反应情况逐渐好转,肌力未见明显改善。于出血后3周左右脑水肿基本消退后出院行康复治疗,治疗过程中患者肌力曾有所改善,左侧肢体肌力最好可达3级。术后3月左右患者一般状态逐渐变差,无发热,神志逐渐进展为昏睡状态,左侧肢体肌力1级,复查颅脑CT示水肿较前明显加重,颅脑MRI示右侧基底节区长T1长T2团块状病变,内有囊变,呈不均匀菜花样强化,考虑为高级别胶质瘤可能性大。遂行开颅病灶大部切除+去骨瓣减压术,术后病理提示高级别胶质瘤伴囊变,后续行同步放化疗STUPP方案,PTV:60Gy/30F/6周,替莫唑胺350mg化疗。患者右侧基底节区病灶相对稳定,2024-9-3复查颅脑MRI可见脑室内新发病灶。患者目前KPS 60分,神志清醒,精神差,反应迟钝,语言对答部分切题,右侧肢体自主活动,左侧肢体肌力2级。







































脑胶质瘤在生长过程中往往会产生较大量未成熟的肿瘤血管,其管壁相对较为薄弱,极易导致破裂出血,这种卒中在临床上被称为脑胶质瘤卒中,临床表现一般为急性颅内压增高,与脑卒中的发作临床症状十分相似,因此很容易被误诊为单纯的急性脑出血导致治疗时机延误。
胶质瘤出血灶周围水肿一般较广泛,同血肿期龄存在明显不符的征象,出血后早期即有明显水肿,此时并非血肿引起,而是肿瘤机械压迫、脑皮质受损,肿瘤细胞的分泌作用及细胞毒性等多因素共同作用所致,且水肿持续时间长。 高血压性脑出血的水肿一般在出血后 3 h 出现,48 h 达高峰,4 d 后开始逐渐消退,2-3 周后基本消失。该患者脑水肿出现的时间相对较早、重,且持续时间长,有别于一般的高血压脑出血。若该患者若第一次出血行钻孔引流时,术中能留取标本查到肿瘤脱落细胞,则会使该患者的诊断提前;当然对于该患者也不能完全排除单纯脑出血后,周围脑组织水肿缺氧等微环境的改变诱发胶质瘤的发生。总之,对于既往无脑出血高危因素且脑血管检查未见明显异常的脑出血患者,若脑水肿出现早且持续时间长,应警惕肿瘤卒中可能。
供稿:赵余静 陈冰
编辑:赵余静
审校:王 喆




