2024年11月25日发布 | 886阅读
脑肿瘤-脑膜瘤

大脑凸面脑膜瘤开颅切除术

张建富

威海市立医院

达人收藏

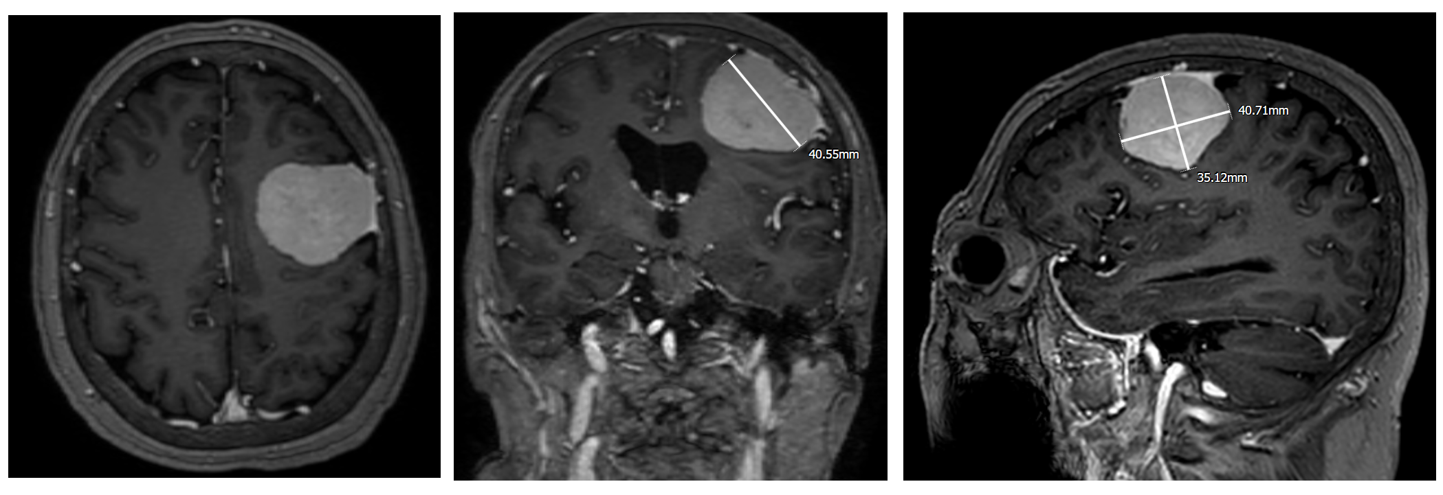
近日笔者完成一例左侧大脑凸面脑膜瘤,最大径4cm,肿瘤虽大,但只是推挤,蛛网膜界面完整,没有脑水肿。

手术切口要足够大,硬膜基底要扩大切除避免复发,首先断开硬膜基底血供,大型肿瘤尽量用CUSA内部减容,再分离脑组织与肿瘤的粘连(用明胶海绵就可以轻松将脑组织从肿瘤表面推离)。肿瘤深部包膜与脑组织有粘连,必须仔细剔除。 


术前MRI

手术切口

术后MRI

手术录像


最新评论
发表你的评论
发表你的评论