男性,58岁,右侧听力下降4年,突发晕厥后发现右侧桥小脑角占位,查体:右侧1-2级面瘫,右侧听力障碍
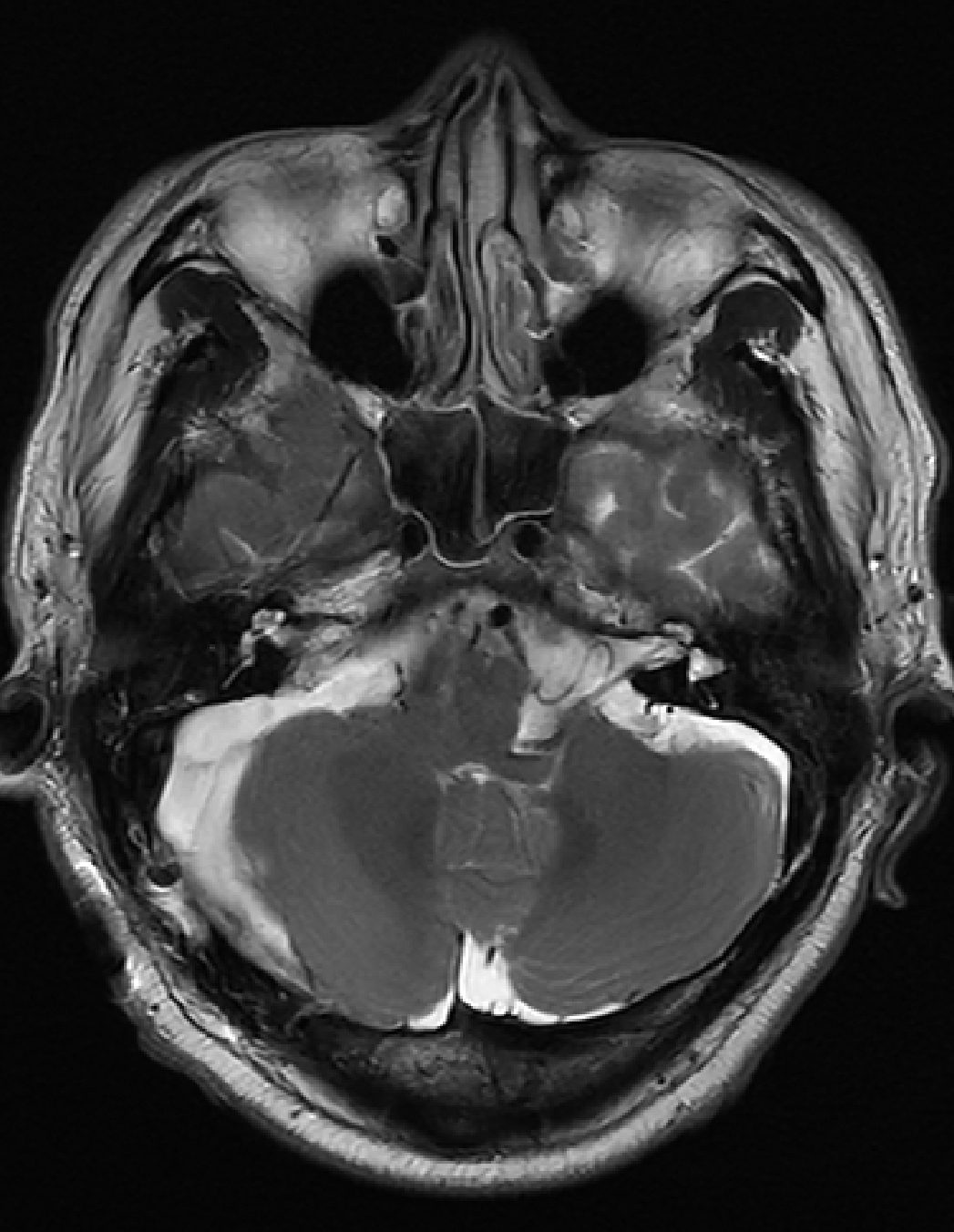
右侧桥小脑角3厘米占位,内听道扩大,肿瘤血供丰富,上方达天幕,与脑干关系密切,蛛网膜间隙不明显,颈静脉球相对高位,诊断考虑:右侧前庭神经鞘瘤(听神经瘤)
采用右侧枕下乙状窦后入路,术中全程面听神经电生理监测
术中发现肿瘤质地韧,血供丰富,与小脑及脑干关系密切,完整切除肿瘤,面神经解剖及功能保留,电生理监测提示面神经波形良好
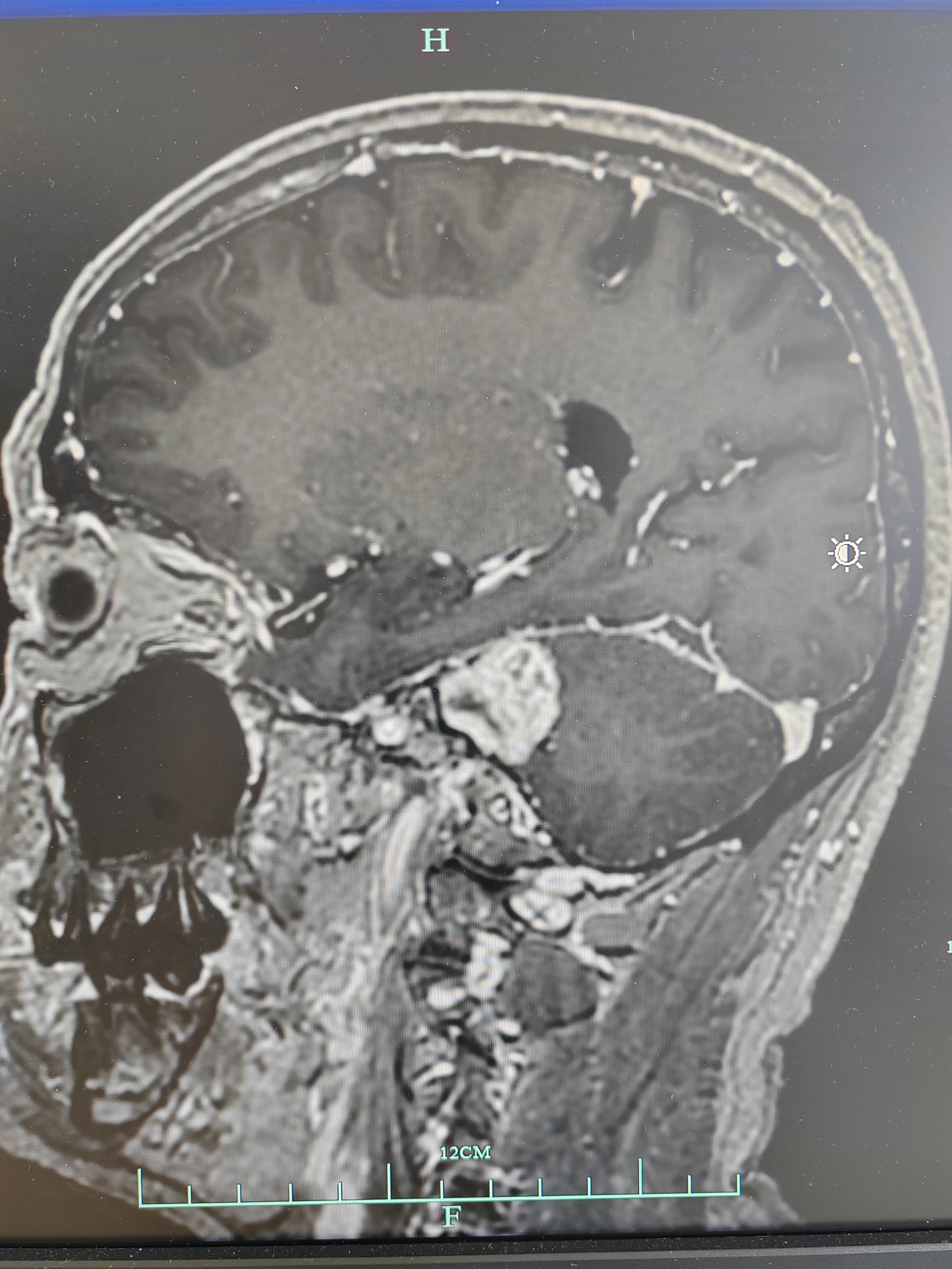
术后磁共振增强复查提示肿瘤全切,内听道内肿瘤无残留
内听道内高信号影为填塞的脂肪块
术后一周患者面神经功能与术前相仿,轻度面瘫(1级)




