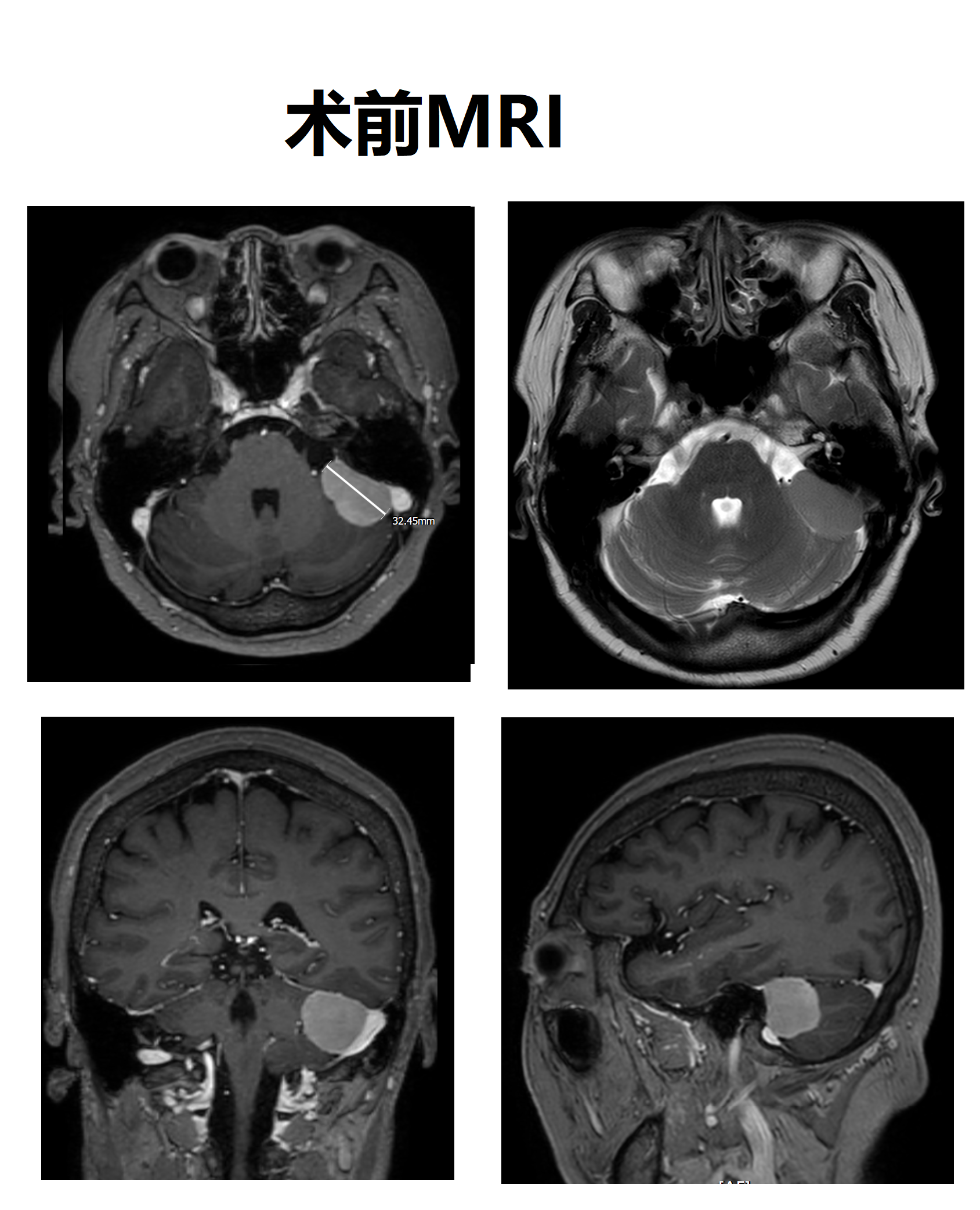
近日笔者完成一例左侧岩面/乙状窦旁脑膜瘤,最大径32mm,术前阅片见肿瘤与左侧乙状窦关系密切,与面听神经、后组颅神经有一定距离,手术相对安全。
采用C形切口,打开硬膜即可见肿瘤位于横乙角,基底附着于岩骨侧壁 以及 小脑幕,肿瘤与小脑有明显分界,易于分离。肿瘤全切后可见面听神经、后组颅神经表面的蛛网膜界面完整。属于蛛网膜外完整切除肿瘤。全程监测Ⅴ-Ⅶ-Ⅹ-Ⅺ颅神经自由肌电图。术后患者无相关并发症。





















手术视频
岩面/乙状窦旁脑膜瘤切除术
近日笔者完成一例左侧岩面/乙状窦旁脑膜瘤,最大径32mm,术前阅片见肿瘤与左侧乙状窦关系密切,与面听神经、后组颅神经有一定距离,手术相对安全。
采用C形切口,打开硬膜即可见肿瘤位于横乙角,基底附着于岩骨侧壁 以及 小脑幕,肿瘤与小脑有明显分界,易于分离。肿瘤全切后可见面听神经、后组颅神经表面的蛛网膜界面完整。属于蛛网膜外完整切除肿瘤。全程监测Ⅴ-Ⅶ-Ⅹ-Ⅺ颅神经自由肌电图。术后患者无相关并发症。





















手术视频