首页
资讯
会议
病例
云课堂
全景手术
学术资源
投审稿
文章专栏
指南共识
精选编译
科室主页
评分工具
文献速览
招聘培训
藏书阁
话题圈子
临床招募
手术复盘
器械百科
产业对接
AI问答
亚专业
医药器械
更多
关于我们
搜索历史
清空
热门搜索
发布
平台广播
0
今日早读
0
赞和收藏
0
评论
0
新增粉丝
0
品牌消息
0
邀请回答
0
周刊
0
登录
EN
评论
1
4
分享至
微信扫码分享
2024年11月07日发布 | 198阅读
脊髓脊柱-脊髓脊柱肿瘤
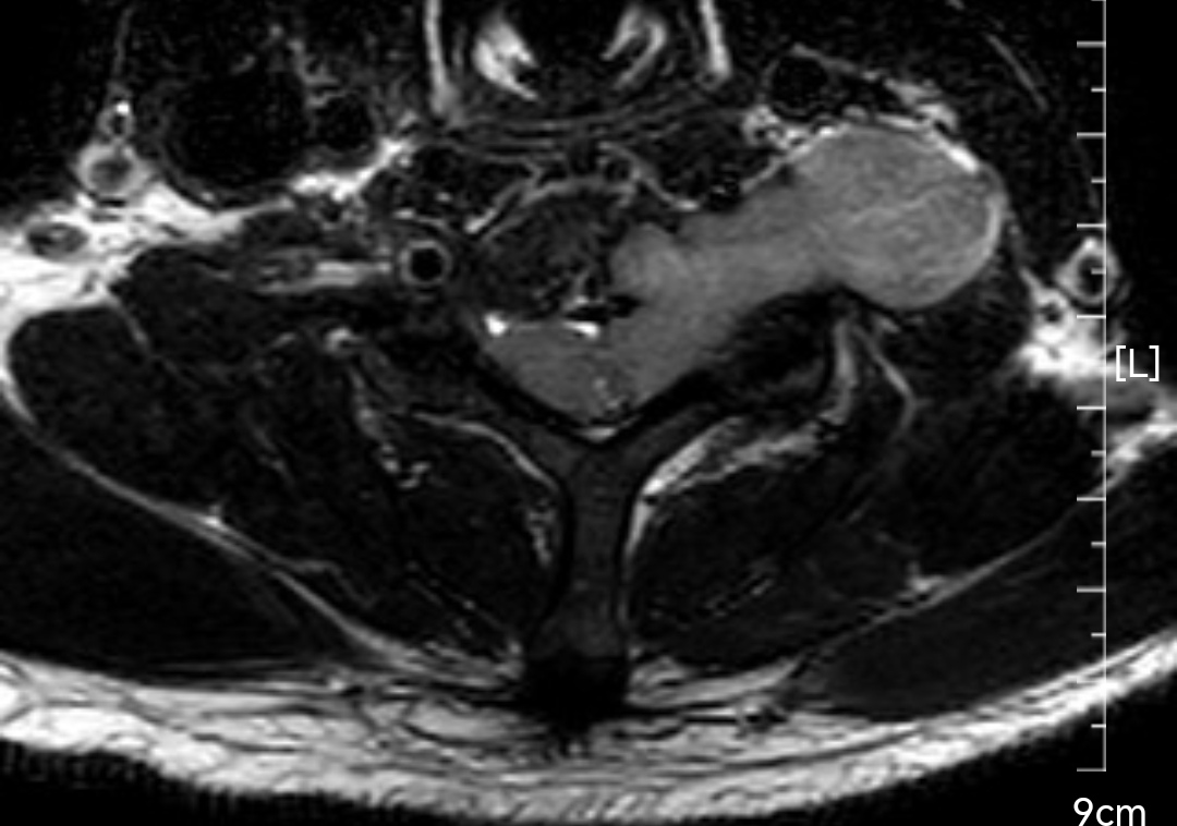
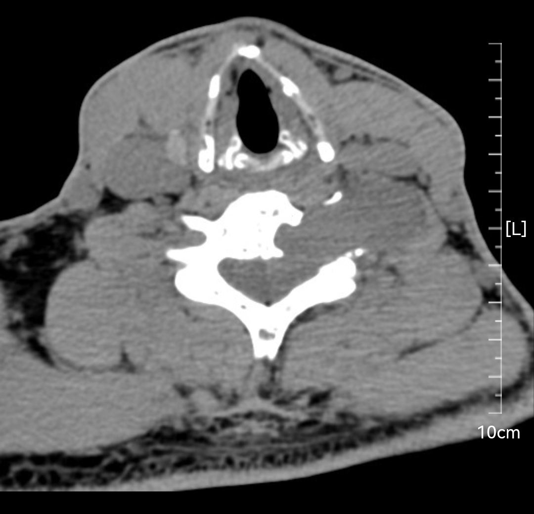
颈椎哑铃型神经纤维瘤,椎间孔汇合,安全又便于操作~
张继
中山大学附属肿瘤医院
201
发布
1846
粉丝
0
获赞
个人主页
关注
张继
中山大学附属肿瘤医院
关注
达人收藏
达人收藏
蒋忠华等2位达人已收藏
以下达人已收藏
查看更多
分享至:
微信扫码分享
评论
1
4
最新评论
登录
发表你的评论
登录
发表你的评论
来自于专栏
病例分享
8.4万阅读 | 240内容
进入专栏
提供优质的治疗病例
8.3万阅读 | 214内容
进入专栏
科普文章
5.0万阅读 | 234内容
进入专栏
脑医汇
App
LINK
客户端下载