2024年11月04日发布 | 574阅读
脑肿瘤-垂体瘤

巨大复发垂体瘤切除

岑波

长江航运总医院·武汉脑科医院

达人收藏

患者,女性,37岁。垂体瘤术后5年复发。查体:左眼视力:1.0,右眼0.4,双颞侧视野缺损。

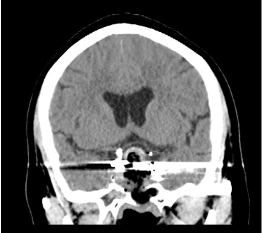
术前头部CT,提示鞍区肿瘤,累及鞍内鞍上

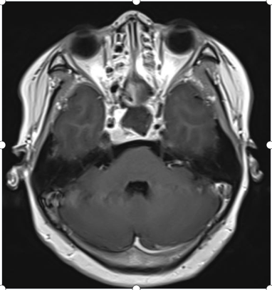
术前核磁共振提示垂体瘤复发


T2像提示肿瘤质地不均

完善检查后全麻下行神经内镜经蝶复发垂体瘤切除

术后CT复查提示术区无出血

术后MR复查提示肿瘤近全切除

术后病理提示:促肾上腺皮质激素腺瘤

术后患者恢复良好,次日下床,3天顺利出院

最新评论
发表你的评论
发表你的评论
来自于专栏
相关临床评分小工具
关键词搜索