女性60岁,脑梗死入院,对症治疗2周,左侧肢体肌力4级

左侧颈内动脉正位造影提示前交通未开放

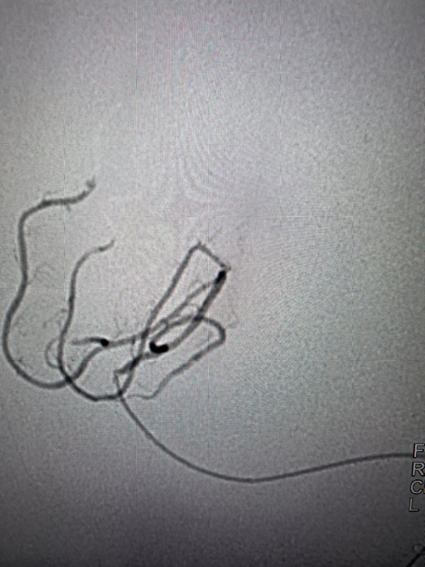
左侧颈内动脉侧位造影

右侧颈内动脉造影提示大脑中动脉起始以远闭塞

颈内动脉侧位大脑前动脉A2以远闭全闭塞

脑灌注提示右侧大脑半球低灌注

6F115c m中间导管到位后右侧工作位造影

微导丝携带2.0mmx15mmFastunnel输送型球囊扩张导管通过闭塞处造影位于血管真腔

2.0mmx15mmFastunnel输送型球囊扩张导管扩张后零交换扩张后植入TP EP2 4.0X23mm支架

支架打开良好

支架植入后正位造影提示大脑中动脉开通良好
