【患者在李小勇脑脊液专业治疗过程和结果】
患儿男,1岁11个月,福建省福州市人。
一、神经外科(李小勇脑脊液专业)入院前病史
患儿于出生后10月龄即2016年6月1日,患儿意外摔伤头部,在当地的福建省福州市某医院,查头颅CT(图-1)后给予保守治疗后出院观察。
图-1:2016年6月1日头颅CT
但4个月后即2016年10月8日,患儿出现癫痫的症状,第2次就诊于当地的福州市某医院,查头颅核磁(图-2)后诊断为癫痫病灶。
图-2:2016年10月8日头颅核磁
又过5个月,期间患儿癫痫发作变得有所频繁,为求治疗,即2017年3月11日住入北京的某医院,于2017年3月14日,进行了左额颞顶开颅的致痫灶切除术(图-3)。
图-3:2017年3月15日头颅CT
癫痫灶切除术后12天即2017年3月25日,复查头颅CT示癫痫病灶切除术后状态(图-4)。
图-4:2017年3月25日头颅CT
术后24天(2017年4月6日),复查头颅CT(图-5)示“癫痫切除术后现脑积水早期表现”,但未给予处理次日2017年4月7日“出院”。
图-5:2017年4月6日头颅CT
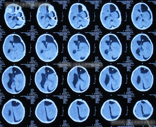
但出院后仅半月时间内,出现了不断加重的左侧肢体轻瘫,口角右斜,头向左斜和走路不稳的症状,出院后18天即2017年4月24日,当地医院查头颅CT硬膜下积液、脑积水加重(图-6)。
图-6:2017年4月24日头颅CT
入院后4天即2017年4月28日,进行了第1次手术:硬膜下积液引流术。术后3天即2017年4月30日,查头颅CT示硬膜下积液引流术后,脑室有所缩小(图-7)。
图-7:2017年4月30日头颅CT
硬膜下积液引流术后6天即2017年5月3日,患者症状仍未改善,查头颅核磁(图-8)后脑积水反而变更多,认为有“囊肿”。
图-8:2017年5月3日头颅核磁增强
第2次手术:软性神经内镜脑室内检查术和脑内囊肿造瘘术后第2天(2017年5月6日)和第3天(2017年5月7日)两次查头颅CT(图-9)均示脑室仍未缩小,反进一步扩张。
图-9:2次查头颅CT
第2次手术软性神经内镜脑室内检查术和脑内囊肿造瘘术后10天即2017年5月14日,进行了第3次手术:脑室腹壁外引流术;术后当天查头颅CT后认为脑室有缩小(图-10)。
图-10:2017年5月14日头颅CT
第3次手术脑室腹壁外引流术19天即2017年6月2日,查头颅CT较2017年5月14日示未见脑室缩小(图-11)。
图-11:2017年6月2日头颅CT
第3次手术脑室腹壁外引流术37天即2017年6月20日,查头颅CT(图-12)后计划明天进行脑室腹腔分流术。
图-12:2017年6月20日头颅CT
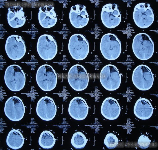
第4次手术脑室腹腔分流术后3天即2017年6月23日,查头颅CT示脑室仍扩张(图-13)。
图-13:2017年6月23日头颅CT
第4次手术脑室腹腔分流术后20天即2017年7月10日,查头颅CT示脑室再次扩张更大(图-14)。
图-14:2017年7月10日头颅CT
第2次因脑积水在该院住院治疗83天内,先后进行了5次失败手术(硬膜下积液引流术、软性神经内镜脑室内检查术和脑内囊肿造瘘术后、脑室腹壁外引流术、脑室腹腔分流术、脑室腹腔分流管脑室端探查术)后仍脑积水,家属要求转至李小勇脑脊液专业。
二、神经外科(李小勇脑脊液专业)治疗过程和结果
2017年7月20日(癫痫灶切除术后86天即脑室腹腔分流管脑室端探查术后3天,又即脑室腹腔分流术后30天),入院时:高热39.2度,时常哭闹,头围大至55厘米(1岁婴儿头围正常范围为42.6cm-50.5cm),理解力低于同龄人。左侧额颞顶可见一弧形手术切口疤痕,切口缝线仍未拆除;左额可见一长约3cm纵行手术切口疤痕,愈合不良,相应头皮水肿明显;左侧前胸壁引流管走行区可见皮肤隆起;腹部稍膨隆(图-15)。
图-15:2017年7月20日入院时
入院时头颅CT示癫痫术后,左侧额顶骨术后改变,左侧侧脑室引流术后状态,幕上脑室系统扩,多处硬膜下积液、部分见积气(图-16)。
图-16:2017年7月20日头颅CT
入院当天拔除了原脑室腹腔分流管+侧脑室外引流术。术后次日引流出黄色的脑脊液(图-17)。
图-17:2017年7月21日
入院5天即2017年7月24日,体温由入院时连续高热39.2度降至37.2度,情绪变稳定(图-18);原分流管脑室端细菌回报为表皮葡萄球菌。
图-18:2017年7月24日
入院7天即2017年7月26日,体温变得正常,查头颅CT示脑室外引流术后状态(图-19)。
图-19:2017年7月26日头颅CT
入院12天即2017年7月31日,进行了右侧侧脑室腹部外引流术,术前术后头颅CT对比(图-20)。
图-20:2017年7月31日术前术后头颅CT
继续治疗1月的时间,期间患儿身体状态变得越来越好,情绪愉悦,肢体活动正常,期间2次查头颅CT均示脑室进一步缩小(图-21)。
图-21:2017年8月3日
2017年10月8日(李小勇脑脊液专业治80天)出院,出院时:精神状态好,肢体活动正常,能自己走路稍不稳,可简单言语交流;头围由入院时55cm缩小至51.5cm(图-22);出院时头颅CT示脑室分流术后状态,无异常(图-23)。
图-22:2017年10月8日
图-23:2017年10月8日头颅CT
三、出院后随访
出院后2月即2017年12月,来院复查,复查时:走路较出院时变稳(图-24)。
图-24:2017年12月4日
出院后5个月即2018年3月4日,来院复查:3岁,走路正常,言语交流正常,智力发育基本正常(图-25)。
图-25:2018年3月4日〔本典型病例所涉及的图片和视频均经患者本人或家属同意,如有异议,请联系该内容发布方〕
*********专家简介***********
8.脊髓空洞/小脑扁桃体下疝(Chiari畸形)/脑积水:(随机单一症/随机二联症/三联症)。
10.神经内科型脑膜炎(化脑/结脑/真菌/病脑)及其脑积水或顽固高颅压并发症。
交流咨询(中华脑脊液科医生群):13651375487(微信同号)




