【患者在李小勇脑脊液专业治疗过程和结果】患儿男,7月龄,吉林省延边朝鲜族自治州珲春市人。
一、神经外科(李小勇脑脊液专业)入院前病史
患儿2017年12月18日足月行剖腹产,出生后家属未发现明显异常,2018年7月20日即宝宝7月龄,意外从床上摔到地上,当时哭闹不止,但没有其他异常,家长没有太在意。
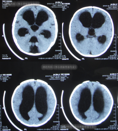
但出院后2天即2018年7月26日,晨起患儿双眼出现对眼,喂奶后再次喷射性呕吐,就诊于第2家医院:吉林省珲春市某医院,检查后认为患儿较重建议转院,于是当天就诊于上级的第3家医院:吉林省延边市某三甲医院,查头颅CT示脑积水(图-1)。

图-1:2018年7月26日头颅CT
住院给予保守治疗但症状并没有改善,医生与家属沟通,婴儿脑积水较重如果进行脑积水手术,术后并发症风险较高,于是家属2018年7月28日就诊于更高级的第4家医院:北京某知名三甲医院,看完患儿具体情况后该院一名教授推荐家属找李小勇主任,于是家属当天住入李小勇脑脊液专业。
二、在神经外科(李小勇脑脊液专业)治疗过程与结果
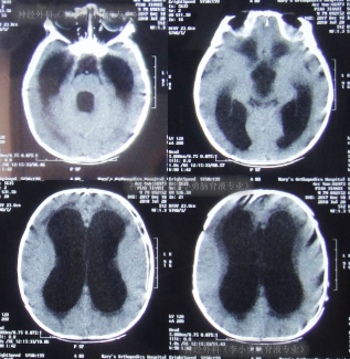
2018年7月28日(确诊脑积水3天)入院时:头颅大,头围增大至49cm,前囟门未闭合,前后径增大,张力高,眼球内聚(图-2),双侧瞳孔对光反射迟钝,间断性呕吐,呈喷射状。当天头颅CT示脑积水,合并脑室旁水肿(图-3)。

图-2:2018年7月28日入院时

图-3:2018年7月28日头颅CT
入院当天进行了脑室外引流术,术后第1天即2018年7月29日,查头颅CT示脑室引流术状态(图-4)。

图-4:2018年7月29日头颅CT
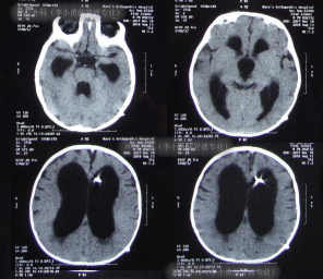
引流术后15天即2018年8月13日,眼球内聚“对眼”减轻,呕吐减少,查头颅CT示脑室缩小(图-5)。

图-5:2018年8月13日头颅CT
引流术后28天即2018年8月26日,眼球内聚“对眼”进一步好转为基本正常,饮食正常,已连续两周没有呕吐,饮食变正常(图-6)。

图-6:2018年8月26日
引流术后50天即28天即2018年9月17日,查头颅CT示脑室进一步缩小(图-7)。

图-7:2018年9月17日头颅CT
脑脊液各项化验均正常后,于2018年9月26日进行了脑室腹腔分流术,术后当天复查头颅CT示脑室分流术后状态(图-8)。

图-8:2018年9月26日头颅CT
分流术后第9天即2018年10月5日(李小勇脑脊液专业住院治疗2个月)出院,出院时:精神状态佳,“对眼”完全消失,呕吐消失饮食正常;出院时头颅CT示无异常(图-9)。

图-9:2018年10月5日出院时
三、出院后随访
出院后3个月即2019年1月10日,宝宝1岁1个月,家属通过微信发来视频和检查的头颅CT示无异常,视频中宝宝坐在学步车里,快速的来回走动(图-10)。

图-10:2019年1月10日
出院后6个月即2019年4月25日,宝宝1岁4个月,独立行走基本正常,查头颅CT示无异常(图-11)。

图-11:2019年4月25日

图-12:2019年10月8日
出院后2年即2020年12月,家属发来视频,马上3周岁了,孩子聪明伶俐,能背诵很多首诗(图-13)。

图-13:2020年12月10日
出院后2年半即2021年4月,孩子健健康康,当地医院查头颅CT示无异常(图-14)。

图-14:2021年4月头颅CT
出院后5年即2023年12月,家属发来视频:5周岁,身体一直挺健康的,已学会了游泳,孩子还特别机灵(图-15、图-16)。

图-15:2023年12月

图-16:2023年12月微信
出院后6年2024年8月,来院复查:6周岁,身体一切正常,聪明帅气,个头长得很高;头颅CT示无异常(图-17)。

图-17:2024年8月复查时
〔本典型病例所涉及的图片和视频均经患者本人或家属同意,如有异议,请联系该内容发布方〕

*********专家简介***********
9.引起以上“医源并发症性”的一般神经外科性疾病:脑外伤、脑出血、脑动脉瘤、脑血管畸形、颅脑和颅底以及脊髓肿瘤、颅内感染、脑脊液漏、小脑扁桃体下疝畸形、脊髓空洞、面肌痉挛、三叉神经痛、舌咽神经痛等。
10.神经内科型脑膜炎(化脑/结脑/真菌/病脑)及其脑积水或顽固高颅压并发症。
交流咨询(中华脑脊液科医生群):13651375487(微信同号)