【患者在李小勇脑脊液专业治疗过程和结果】
一、神经外科(李小勇脑脊液专业)入院前病史
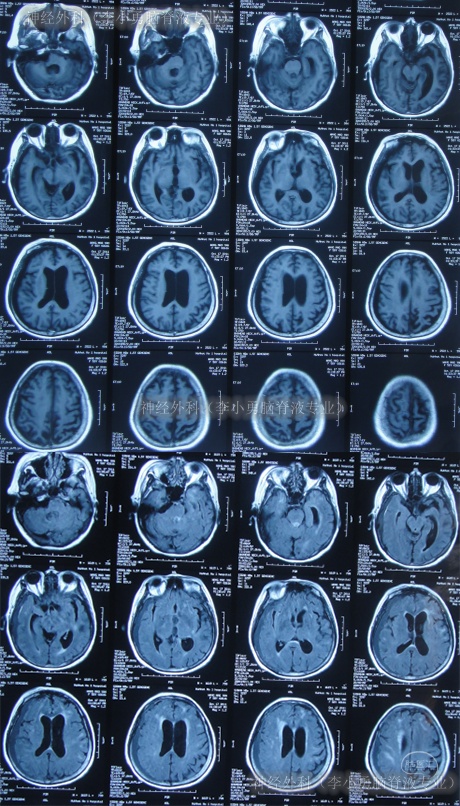
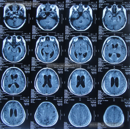
又过2月后即2011年10月14日,夜里2点起夜时突然站不稳,再次出现头昏,呕吐频繁,四肢无力,2011年10月17日第2次就诊于第2家医院:呼和浩特市某医院神经内科住院治疗,行头颅MRI(图-1)认为“末梢神经脱髓鞘病变,考虑为格林巴利综合征,轻度脑积水”。

图-1:2011年11月17日头颅核磁
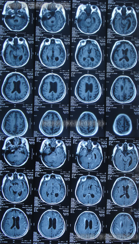
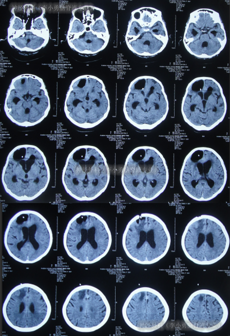
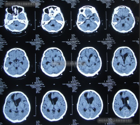
第2家医院出院1月余即2012年2月7日,夜里起夜突然又重复发作以前的症状(恶心呕吐、头昏),且比前2次发作严重,2012年2月8日住入第3家医院:呼和浩特市某三甲医院的神经外科治疗,入院查头颅CT(图-2)和MRI(图-3);脊髓核磁(图-4);肺部CT(图-5)及多次腰椎穿刺脑脊液化验检查(糖低、蛋白高),诊断为:结核性脑膜炎,脑积水。

图-2:2012年2月9日头颅CT

图-3:2012年2月9日头颅核磁

图-4:2012年2月9日脊髓核磁

图-5:2012年2月9日肺部CT
第3家医院给予对症治疗13天后仍无明显好转。于是2012年2月21日转入第4家医院:当地的某胸科医院行抗结核等治疗,在住院期间间断出现发热,最高体温39.4℃,给予物理降温或药物治疗后体温可下降正常,但病情没有好转反而加重:昏迷4次,给予甘露醇脱水治疗后可逐渐清醒,治疗期间查头颅核磁(图-6),脊髓核磁(图-7),肺部影响(图-8)。

图-6:2012年3月21日头颅核磁

图-7:2012年3月21日脊髓核磁

图-8:2012年3月21日肺部影像
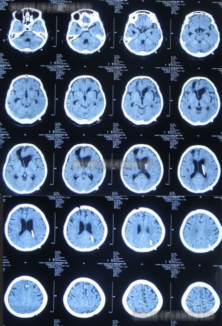
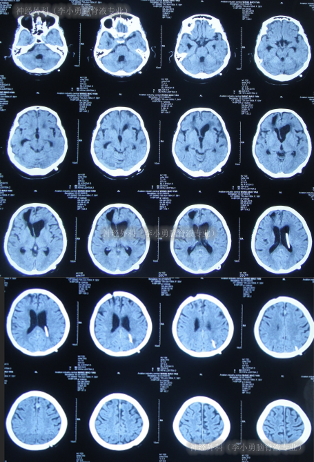
因病情越来越重,高烧不退,昏迷4次,第4家医院治疗90天即2012年5月22日,医生建议转入更高级的医院第5家医院:北京某三甲医院(胸科),查头颅核磁(图-9)和腰穿颅压仍高,脑脊液化验仍感染很重,继续给予抗结核、甘露醇脱水降颅压治疗,且给予椎管注药3次/周。

图-9:2012年5月22日头颅核磁
但2012年6月13日(第5家医院治疗22天)凌晨3点患者突发昏迷,体温39.6℃,测血压130/90mmHg,查头颅CT(图-10)后给予甘露醇、退热药物治疗后,体温可逐渐下降,但意识仍不见好转(家属叙述当时抢救了一天一宿)。

图-10:2012年6月13日头颅CT
2012年6月14日(第5家医院治疗23天),家属上午找到李小勇主任看过片子后确定可以接收,于是当天急诊转入李小勇脑脊液专业。
二、神经外科(李小勇脑脊液专业)治疗过程和结果
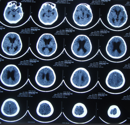
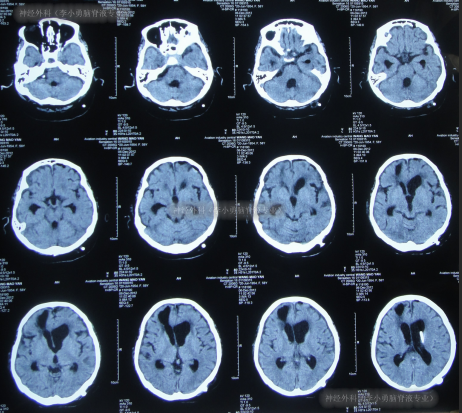
2012年6月14日,入院时:昏迷、体温很高、鼻饲、睡眠差,保留导尿(图-11)。入院后完善血、尿常规、生化全项、胸片、心电图等检查后病情危重,下病危通知。查头颅CT示脑积水(图-12)。

图-11:2012年6月14日入院时

图-12:2012年6月14日头颅CT
术后次日即2012年6月15日,昏迷减轻,遵命下肢能缓慢动一下;引流出黄色脑脊液(图-13)。

图-13:2012年6月15日
住院21天即2012年7月4日,意识已变清楚,查头颅CT示脑室缩小(图-14)。

图-14:2012年7月4日头颅CT
住院27天即2012年7月10日,头颅CT示有少量硬膜下积液(图-15)。

图-15:2012年7月10日头颅CT
住院68天即2012年8月20日,意识完全清楚,饮食变正常,大小便正常(图-16)。

图-16:2012年8月20日
住院75天即2012年8月27日凌晨,患者自己不慎将头部外引流自行拔除,给予床旁侧脑室外引流术一次(图-17)。之后继续治疗近2月,多次脑脊液真菌培养阴性后给予停用抗真菌药物。

图-17:2012年8月27日头颅CT
住院126天即2012年10月17日,查头颅核磁(图-18)颅内感染进一步变好。

图-18:2012年10月17日头颅核磁
脑脊液各项化验均达标后于2012年12月4日,进行脑室腹腔分流术,术前术后头颅CT(图-19)。

图-19:术前术后头颅CT
脑室腹腔分流术后2天即2012年12月6日,查头颅CT示无异常(图-20),查肺部CT示感染进一步减轻(图-21)。

图-20:2012年12月6日头颅CT

图-21:2012年12月6日肺部CT
2013年1月9日(李小勇脑脊液专业治210天)出院,出院时:由入院时病危、昏迷,鼻饲、插尿管变得神志清楚、肢体遵命活动基本正常,饮食正常,大小便正常,仅腿部力量差些不能自己走路(图-22)。出院时头颅CT示无异常(图-23)。

图-22:2013年1月9日

图-23:出院时头颅CT
三、出院后随访
出院后4月余即2013年5月13日,来院复查:腿部力量有所增加,在搀扶下能走路;查头颅CT示无异常(图-24)。

图-24:2013年5月13日
出院后4年零3月即2017年4月,家属发来视频:言语交流正常,饮食正常,且变得自己扶着辅助器能慢慢走路(图-25)。

图-25:2017年4月
出院后近12年即2024年7月,来院复查:虽走路仍需搀扶但身体挺好,饮食正常,言语交流正常,经常与亲朋打牌,头颅CT示无异常(图-26)。

图-26:2024年7月
〔本典型病例所涉及的图片和视频均经患者本人或家属同意,如有异议,请联系该微信公众号方〕

*********专家简介***********
8.脊髓空洞/小脑扁桃体下疝(Chiari畸形)/脑积水:(随机单一症/随机二联症/三联症)。
10.神经内科型脑膜炎(化脑/结脑/真菌/病脑)及其脑积水或顽固高颅压并发症。
交流咨询(中华脑脊液科医生群):13651375487(微信同号)