【在神经外科(李小勇脑脊液专业)治疗过程和结果】
一、神经外科(李小勇脑脊液专业)入院前病史
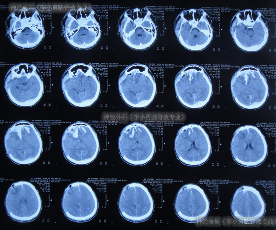
患者于2022年2月2日,不慎摔倒头部磕到地面,当时呈嗜睡状态,呕吐1次,大小便失禁,由120急送至当地县某医院,查头颅CT示右额部血肿(片子丢失),当即转至上级的河北省唐山市某医院,查头颅CT示右额部血肿、脑疝(图-1);检查期间出现昏迷、呕吐、四肢强直。

图-1:2022年2月2日头颅CT
急诊当天进行了去骨瓣减压+血肿清除术(图-2)。

图-2:2022年2月2日术后头颅CT
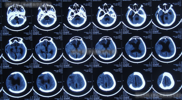
去骨瓣减压+血肿清除术后第2天即2022年2月3日,头颅CT示出血有增多(图-3)。

图-3:2022年2月3日头颅CT
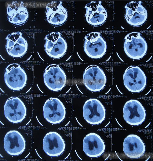
术后3天即2022年2月4日,患者苏醒,能言语,但遗留左侧肢体不能活动,低钠血症,查头颅CT示仍有较多积血(图-4)。

图-4:2022年2月4日头颅CT
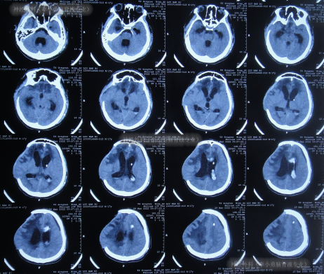
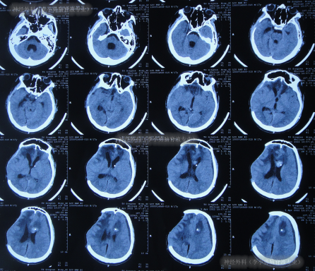
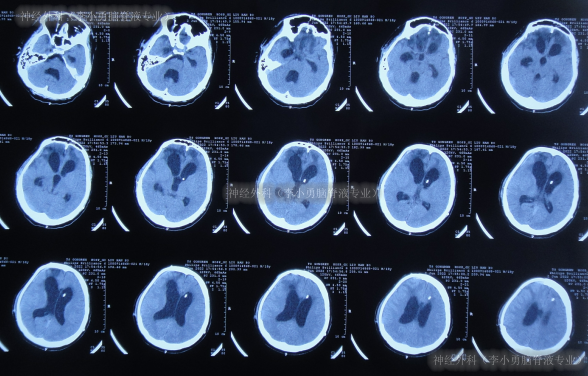
继续治疗1月期间出现数次呕吐,行胃肠镜检查未见异常(片子丢失),给予胃管及肠管置管,期间5次查头颅CT(图-5)均示脑室逐渐出现扩张,并加重。

图-5:5次查头颅CT
去骨瓣减压术后36天即2022年3月9日,复查头颅CT(图-6)示脑室扩张更严重了,脑膨出。

图-6:2022年3月9日头颅CT
去骨瓣减压术后43天即2022年3月16日,查头颅CT示仍严重脑积水(图-7)。

图-7:2022年3月16日头颅CT
因脑积水进一步加重,于2022年3月28日(去骨瓣减压术后55天),进行了脑室腹腔分流术。术后次日查头颅CT示脑室分流术后有出血(图-8)。

图-8:2022年3月29日头颅CT
脑室腹腔分流术后4天即2022年4月1日,查头颅CT示脑室明显缩小(图-9)。

图-9:2022年4月1日头颅CT
脑室腹腔分流术后8天即2022年4月5日,查头颅CT示脑室周仍有水肿(图-10)。

图-10:2022年4月5日头颅CT
脑室腹腔分流术后31天即2022年4月28日,查头颅CT示脑室又变大(图-11)。

图-11:2022年4月28日头颅CT
虽又再次出现脑积水但2022年5月5日(脑室腹腔分流术后38天),仍进行了右侧额颞顶部颅骨缺损修补术(图-12)。

图-12:2022年5月6日头颅CT
但颅骨修补术后1周即2022年5月13日(脑室腹腔分流术后45天),患者反而出现意识变差,由清醒变为嗜睡,肢体活动也变差,且肢体肌张力增高,查头颅CT(图-13)后给予保守治疗。

图-13:2022年5月13日头颅CT
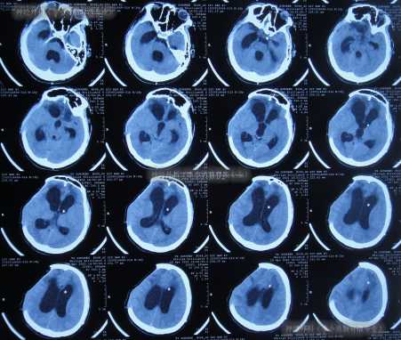
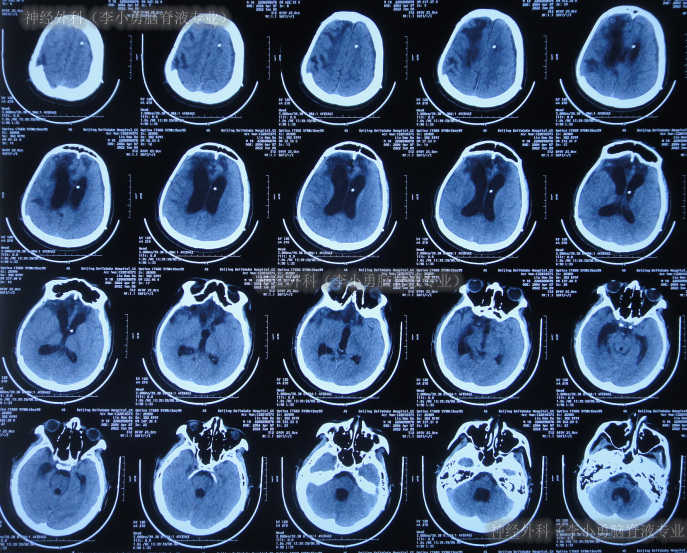
该院继续治疗半月,但患者病情进一步加重为昏迷,期间3次查头颅影像(图-14)。

图-14:3次查头颅影像
因昏迷加重于2022年6月2日(颅骨修补术后27天即脑室腹腔分流术后65天),查头颅CT示仍脑积水(图-15);进行了腰椎穿刺示颅压较高。

图-15:2022年6月2日头颅CT
因昏迷不断加重,于是家属找到北京北亚骨科医院的神经外科(李小勇脑脊液专业)。
二、神经外科(李小勇脑脊液专业)治疗过程和结果
2022年6月9日(颅骨修补术后34天即脑室腹腔分流术后72天)住入李小勇脑脊液专业,入院时:昏迷,呼喊没反应;刺痛后右侧肢体能动,左侧肢体偏瘫;鼻饲流食;小便失禁;头部有手术疤痕(图-16)。

图-16:2022年6月9日入院时
入院时头颅CT示颅骨修补术后,脑分流术后仍脑积水(图-17)。

图-17:2022年6月9日头颅CT
入院后次日即2022年6月10日,拔除了原脑室腹腔分流管+脑室外引流术(图-18)。

图-18:2022年6月10日头颅CT
住院4天即2022年6月13日,引流出的脑脊液呈淡黄色微浑浊(图-19)。

图-19:2022年6月13日
住院7天即2022年6月16日,昏迷明显减轻,变得能经口进食(图-20)。

图-20:2022年6月16日
住院18天即2022年6月27日,进行了脑室腹壁外引流术(图-21)。

图-21:2022年6月27日头颅CT
住院23天即2022年7月2日,意识变清,右侧肢体遵命活动变灵活(图-22)。

图-22:2022年7月2日
住院30天即2022年7月9日,病情好转为:能坐在轮椅上活动,右侧肢体活动正常,入院时偏瘫的左侧肢体也有改善刺痛后有痛感(图-23)。

图-23:2022年7月9日
住院33天即2022年7月12日,扶着能自己站立一会(图-24)。

图-24:2022年7月12日
住院54天即2022年8月2日,头颅CT示脑室进一步缩小(图-25)。

图-25:2022年8月2日头颅CT
住院65天即2022年8月13日,查头颅CT示脑室变小,颅内感染也进一步减轻(图-26)。

图-26:2022年8月13日头颅CT
住院111天即2022年9月28日,病情进一步好转为:意识清楚,言语交流正常,饮食变正常,右侧肢体活动正常,左侧肢体活动差些(图-27);头颅CT示引流术后状态,未见异常(图-28)。

图-27:2022年9月28 日

图-28:2022年9月29日头颅CT
待脑脊液各项化验达标后于2022年10月8日,进行了脑室腹腔分流术(图-29)。

图-29:2022年10月8日头颅CT
2022年10月17日(李小勇脑脊液专业130天)出院,出院时:由入院时昏迷,左侧偏瘫变得意识清楚,言语正常,虽遗留脑外伤出血后左侧肢体活动仍差些但扶着能慢慢走路了(图-30);出院时头颅CT示无异常(图-31)。

图-30:出院时

图-31:2022年10月17日头颅CT
三、出院后随访
出院后1年零2月即2023年12月,出院时遗留的脑外伤出血左侧肢体活动差进一步好转,能打羽毛球了,生活完全自理(图-32)。

图-32:2023年12月
〔本典型病例所涉及的图片和视频均经患者本人或家属同意,如有异议,请联系该内容发布方〕

*********专家简介***********
8.脊髓空洞/小脑扁桃体下疝(Chiari畸形)/脑积水:(随机单一症/随机二联症/三联症)。
10.神经内科型脑膜炎(化脑/结脑/真菌/病脑)及其脑积水或顽固高颅压并发症。
交流咨询(中华脑脊液科医生群):13651375487(微信同号)