患者男,23岁,山东省菏泽市人。
一、李小勇脑脊液中心入院前病史
患者于2003年3月1日即15岁时,突发头痛,疼痛难忍,就诊于山东省菏泽市某医院,头部MRI检查诊断为“脑积水”(片子丢失),经保守治疗后症状仍无改善,于2003年4月20日进行了第1次右侧脑室-腹腔分流术,术后6天即2003年4月26日,头痛基本消失,复查头部CT:一侧脑室缩小(图-1),随后出院。
图-1:2003年4月26日头部CT
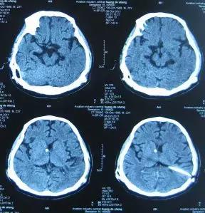
出院后8年即2011年7月22日即患者23岁时,患者出现情感淡漠,表情冷漠,再次就诊于山东省菏泽市某医院,复查头部CT示脑室稍有扩张(图-2),未给予特殊处理。
图-2:2011年7月22日头部CT
又经过一个月即2011年8月17日,患者出现语言及行动迟缓病情加重的症状,遂就诊于山东省济南市某三甲医院,头部MRI示脑积水(图-3)。
图-3:2011年8月17日头部MRI
医生给予保守治疗十余天后症状仍无改善,2011年8月30日进行了第2次左侧脑室-腹腔分流术,术后第2天即2011年9月2日,症状改善,可以简单言语和活动,头部CT示脑室缩小(图-4)。
图-4:2011年9月2日头部CT
但第2次左侧脑室腹腔分流术后第3天即2011年9月3日,患者病情再次加重,失语及肢体不能活动。复查头部CT脑室再次扩张(片子丢失),医生无奈只能给予保守治疗。
第2次左侧脑室腹腔分流术后第33天即2011年10月3日,患者病情持续加重:浅昏迷状,鼻饲流质,留置尿管,于是转至更上级的北京某三甲医院,医生建议到李小勇脑脊液中心治疗。
二、在李小勇脑脊液中心治疗过程和结果
2011年10月5日转至李小勇脑脊液中心,入院时:浅昏迷状态;呼喊可睁眼,鼻饲流食,问话不能作答;双下肢刺激后可动,双脚僵硬掰不动,左下肢僵硬弯曲困难;双上肢抬起费劲:起动慢,只能微微抬起;头部、腹部手术瘢痕(图-5)。
图-5:2011年10月5日
头部CT(外院2011年10月3日)示V-P分流术后,右侧额叶及左侧顶叶见片状低密度影;第三脑室、双侧脑室扩张;中线略向右移位(图-6)。
图-6:2011年10月3日头部CT
住院治疗第3天即2011年10月8日,按计划进行原V-P分流管拔除术和侧脑室外引流术,术前例行检查头部CT:脑室缩小(图-7)。因患者侧脑室无明显扩张,为避免放置外引流困难,予临时保留侧脑室端,留取脑脊液进行细菌培养。
图-7:2011年10月8日头部CT
住院治疗第6天即2011年10月11日,脑脊液细菌培养回报为白色念珠菌。
住院治疗第17天即2011年10月20日,双上肢抬起困难好转为刺激后抬起变高,下肢弯曲僵硬好转为变柔软,脑脊液细菌回报好转为无菌,但仍不能张嘴伸舌(图-8)。
图-8:2011年10月20日
住院治疗第63天即2011年12月6日,病情进一步改善刺激后可以自主抬起上肢,饮食变正常(图-9)。
图-9:2011年12月6日
继续治疗4个月后即2012年4月27日,病情又有改善双上肢活动基本可以,但双下肢仍不能自主活动(图-10)。
图-10:2012年4月27日
2012年7月3日进行了左侧脑室-腹腔分流术,术后复查头部CT:分流管位置良好(图-11)。
图-11:2012年7月3日头部CT
2012年8月16日出院,出院时:神志清楚,入院时不能活动的肢体好转为:四肢自主活动基本正常,能自己翻身,扶着病床护栏可以自己起身,可以下床走路但需搀扶;张嘴伸舌基本正常,但记忆力差,言语差,头部CT示未见异常(图-12)。
图-12:2012年8月16日出院
三、出院后随访
出院后3个月即2012年11月16日,来院复查:出院时走路需搀扶进一步好转为行走正常,单腿站立稳定,言语好转为正常,记忆力进一步改善,头部CT示未见异常(图-13)。
图-13:2012年11月16日
出院后10个月即2013年6月24日,来院复查:身体一切正常,生活和工作步入正轨,记忆力明显好转(图-14)。
图-14:2013年6月24日
出院后1年零9个月即2014年5月19日,肢体活动灵活,记忆力恢复至正常(图-15)。
图-15:2014年5月19日
(完)
开设“脑脊液神经外科学”学科
提出“脑脊液神经外科学”理念和理论
擅长领域:
从事脑脊液神经外科学临床研究30多年,总结提出了脑脊液科综合治疗法,擅长各种脑积水、脑积水手术并发症、术后脑膨出和颅骨修补、颅内感染等各类脑脊液病的治疗。常见脑脊液疾病:
1.脑积水分流失败:分流感染,分流管(反复)堵塞。
2.脑积水内镜“微创”“不放管”术失败:脑室仍大,术后又分流/引流, 颅内感染,婴儿脑积水术后头仍大(注:为“内镜术”的失败!)。
4.原发和继发脑积水,开颅区脑膨出/头皮溃疡/刀口脑脊液漏,术后刀口区积液,脑外积液。
5.婴儿脑积水或“大头娃娃”早期型:(注:不要盲目“首选内镜术!)。
6.经鼻经蝶垂体瘤等显微或内镜术后颅内感染/脑脊液漏。
7.脑脊液鼻漏修补术“反复”失败:创伤后型/手术后型/自发型。
8.脊髓空洞/小脑扁桃体下疝(Chiari畸形)/脑积水:(随机单一症/随机二联症/三联症)。
9.引起以上“医源并发症性”的一般神经外科性疾病:脑外伤、脑出血、脑动脉瘤、脑血管畸形、颅脑和颅底以及脊髓肿瘤、颅内感染、脑脊液漏、小脑扁桃体下疝畸形、脊髓空洞、面肌痉挛、三叉神经痛、舌咽神经痛等。
10.神经内科型脑膜炎(化脑/结脑/真菌/病脑)及其脑积水或顽固高颅压并发症。
出诊地点一:北京北亚骨科医院李小勇脑脊液中心
出诊地点二:北京清华长庚医院 神经外科
出诊时间:周二下午




