患者罗阿姨,58岁;
被发现肢体活动障碍伴意识模糊4小时;
既往有高血压病史,未规律服药,未规律监测、无冠心病、无糖尿病、有脑梗死病史,后遗有右侧肢体乏力。
查体:神志昏睡、精神差、急性重症病容。GCS评分E2V3M5=10分,吐词不清,右侧口角、鼻唇沟变浅,示齿、伸舌不合作,双耳听力不合作,疼痛刺激能模糊定位,右侧肌力2级,左侧肌力5级,左侧病理征阴性。NIHSS评分:18分。ASPECT大脑中动脉评分2分。



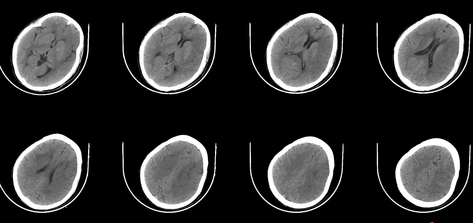
进一步完善头颈部CTA检查,提示左侧颈内动脉闭塞。



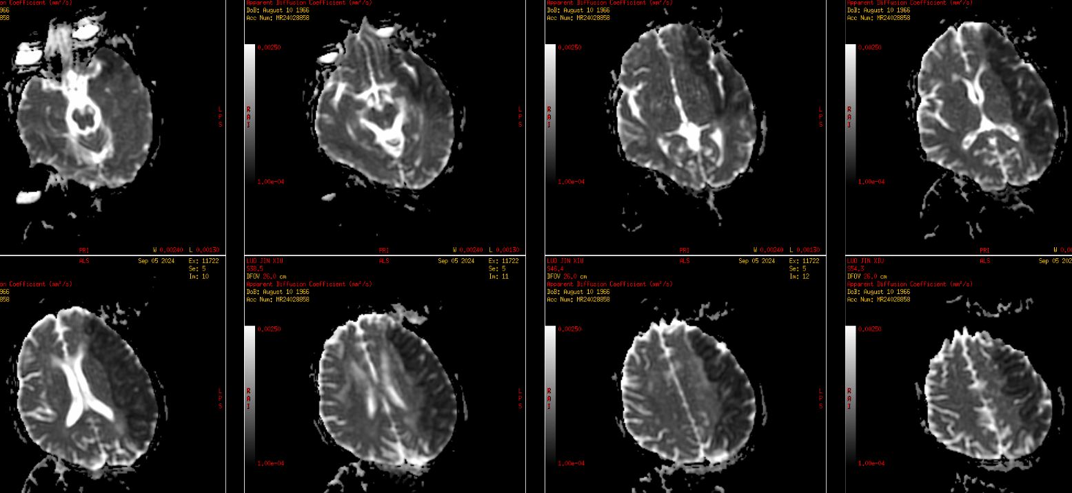
虽CTA提示颅内段颈内动脉及左侧颈内动脉颅内分支无明显缺失,但大脑中动脉远端分支明显稀疏,显影不佳。再结合头颅磁共振了解代谢情况。






结合既往患者脑梗死行头颈部血管CTA提示双侧颈内动脉C4段重度狭窄,考虑此次发病左侧重度狭窄急性闭塞可能,对侧颈内动脉代偿不充分,和家属沟通,家属态度积极,理解病情,遂急诊手术治疗。
术中造影












术中材料:90/6F长鞘,6F115通桥银蛇,DCWire,Fastunnel2.0*15,支架(备用)


于是在微导丝及微导管通过后,验证真腔,在颈内动脉开口处路途后上高银蛇导管,测量数据。此处选择较多,主要是球囊大小,本着不要一步到位的原则,先选择2.0*15的Fastunnel。


经球囊扩张后,狭窄明显改善,局部似不光滑,考虑血流通畅,于是使用欣维宁,并维持血流通畅观察15分钟,再次造影。






术后当天麻醉苏醒顺利,右侧肢体活动较术前好转,能抬离床面,考虑大面积脑梗死,术后予单抗、他汀、清除自由基等治疗。



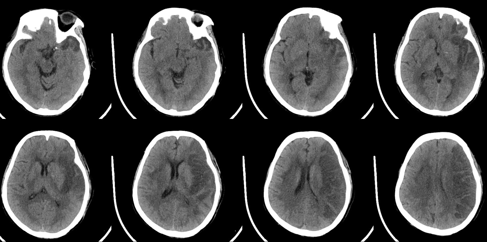
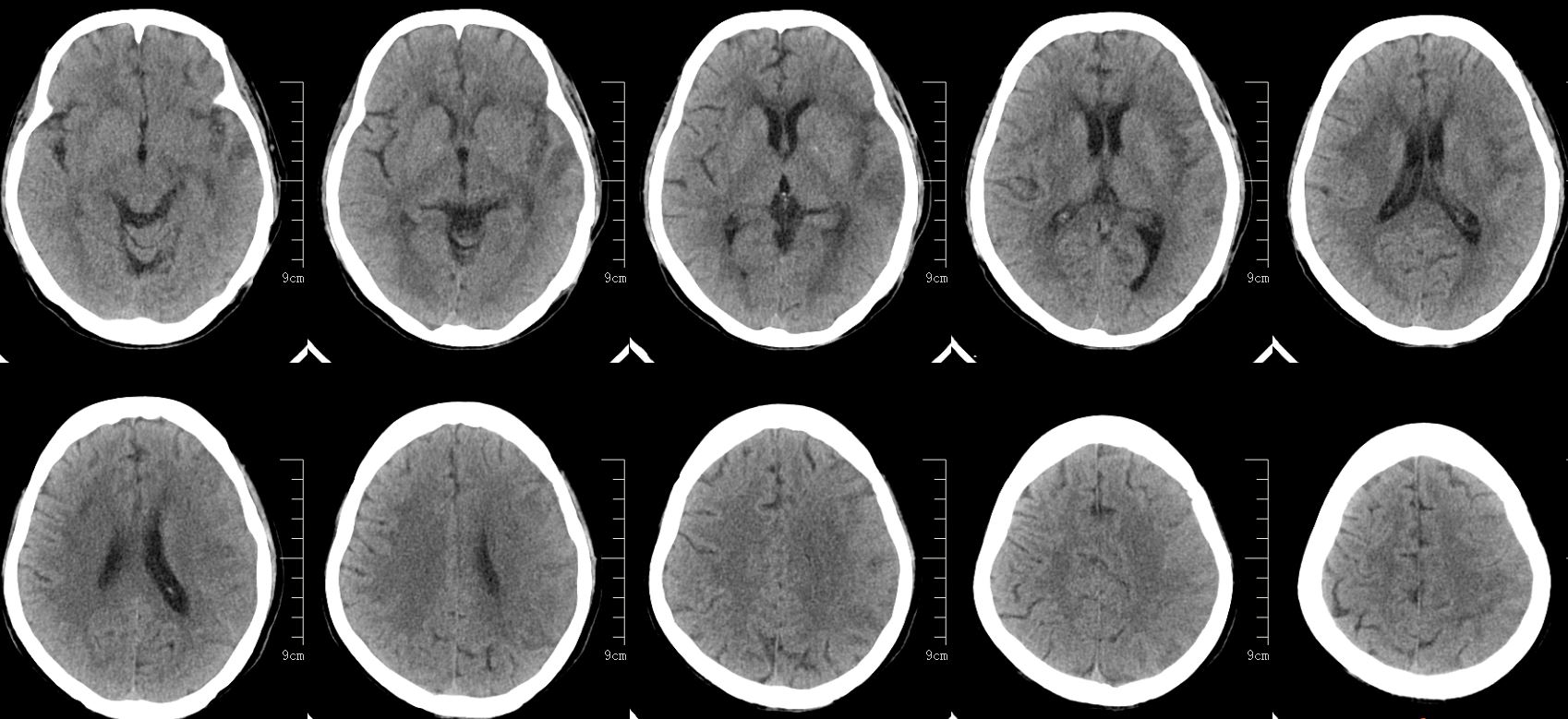
复查CT无出血,无造影剂外渗,病灶范围较大,侧脑室受压,适当脱水,控制颅内压,考虑大面积梗死,又是ICAS,选择使用单抗。



此次复查患者颅内水中完全消退,片中所示低密度灶范围较术前明显减少,结合患者症状表现,患者明显获益。
术后第8天开始,患者能在保护下独立起床、穿鞋、下床活动。
此处只想表达,取栓就像医生的日常工作,医生不是万能的,救活能救活的,这里是脑组织了。只要我们努力了,也许会有意想不到的收货。但术前我也是奔着术后可能需要开颅去骨瓣的目标去的。这可能也是神经外科医生做取栓的好处吧。