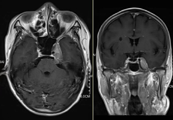
患者,男,72岁。2023年7月因“左面部麻木1月余”检查发现左侧海绵窦肿瘤并向后颅窝生长(图1),当时其他医师手术切除了后颅窝小部分肿瘤(图2),术后病理:脑膜瘤,WHO I级。






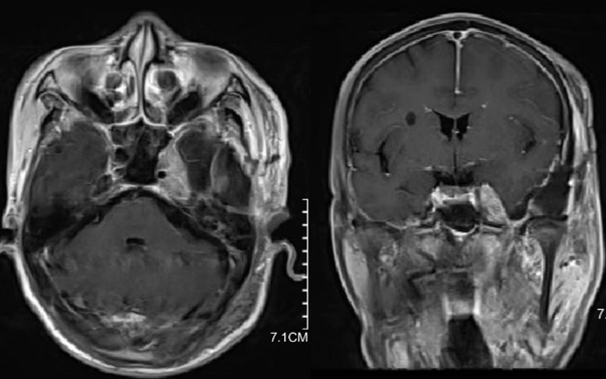
术后患者接受了伽马刀治疗。患者左眼视力明显下降。2024年3月因头部外伤复查,MRI检查提示右侧硬膜下血肿,左侧海绵窦肿瘤明显增大(图3)。当时予以阿托伐他汀保守治疗。



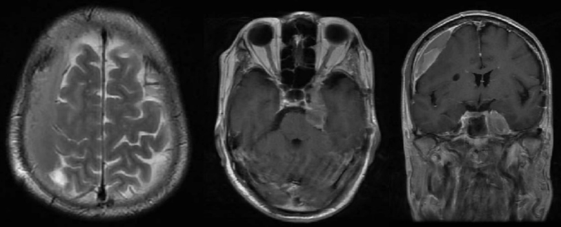
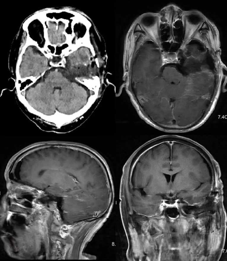
2024年7月复查头颅MRI提示硬膜下血肿已吸收,左侧海绵窦肿瘤快速增大(图4)。



遂收治入院计划手术治疗。由于肿瘤生长迅速,且伽马刀效果不佳,患者术前左眼视力已明显下降仅光感且有暴露性角膜炎,手术以尽可能全切肿瘤及基底、降低术后复发几率为首要目的,由于肿瘤包饶颈内动脉,术中需特别注意避免颈内动脉损伤。经医疗组、科室讨论,决定复合手术下经Kawase入路切除。
首先局麻下行左侧颈内动脉球囊闭塞试验(BOT),阳性,不能耐受颈内动脉闭塞。球囊留置于颈内动脉近端,以备万一术中颈内动脉破裂临时阻断。
然后行开颅手术,平卧位,头偏向右侧,三点头架固定,沿原手术切口切开并适当向下延伸充分暴露颧弓根部(图5),取下原骨瓣,并进一步磨除部分骨质至颞底,然后硬膜外分离,暴露并磨除岩尖,切开硬膜,暴露肿瘤,先切除后部肿瘤,然后向前切开海绵窦外侧壁,分块切除海绵窦前方肿瘤,分离并切除颈内动脉周围肿瘤,全切肿瘤基底硬膜。颈内动脉颅内段完整显露,保护完好。术后撤除球囊。详见手术视频。



术后复查头颅CT未见出血、脑水肿,头颅MRI提示肿瘤全切(图6)。患者术后恢复良好,神志清,四肢肌力5级,左眼睑下垂,左面部麻木。



术者简介



曾强,浙二医院神经外科副主任医师,浙江大学硕士研究生导师,主持国家自然科学基金、浙江省自然科学基金各1项,以一作或通讯作者发表临床研究SCI论文十余篇。擅长:(1)脑膜瘤、脑胶质瘤、听神经瘤、脑转移癌、垂体瘤、颅内胆脂瘤等颅脑肿瘤的微创显微外科治疗,致力于功能区肿瘤、脑深部肿瘤、复杂颅底肿瘤的手术治疗;(2)三叉神经痛、面肌痉挛的微血管减压术,率先开展2cm超小切口微创锁孔微血管减压术治疗三叉神经痛、面肌痉挛、舌咽神经痛,创伤小、疗效显著;(3)颅内动脉瘤、脑动静脉畸形、颈动脉狭窄、烟雾病、海绵状血管瘤、脑出血等脑血管病的手术治疗;(4)脑积水、颅骨缺损、脑外伤、椎管内肿瘤等神经外科常见病的诊治。工作以来开展各类开颅颅底手术约200例(颅底脑膜瘤、听神经瘤等颅底肿瘤切除,三叉神经痛、面肌痉挛微血管减压术,颅内动脉瘤夹闭等),手术均顺利,无严重手术并发症,无非计划二次手术。1年多来开展3cm小切口微创锁孔微血管减压术治疗三叉神经痛、面肌痉挛、舌咽神经痛约100例,有效率100%。