2024年08月08日发布 | 215阅读
神经介入-动脉瘤
脑血管-动脉瘤

左侧后交通动脉瘤支架辅助弹簧圈栓塞术!

张永森

河南医药大学第三附属医院

达人收藏

女性,71岁,自发性蛛网膜下腔出血,考虑动脉瘤破裂,急诊手术!

左侧颈内动脉造影!

左侧颈内动脉侧位造影!

三维旋转造影!

三维重建,胚胎型大脑后动脉发自瘤体侧壁,超选困难且风险大!

工作位造影!

椎基底动脉造影无P1!

压颈试验显示同侧P1,手术难度降低,不用考虑保护胚胎型大脑后动脉瘤了!

支架导管栓塞导管到位!

动脉瘤栓塞满意,胚胎型大脑后动脉还有血流通过,栓塞致密程度还不够,考虑破裂动脉瘤,先降低出血风险,动脉瘤大,大小约12.6*8.5mm,复发风险高,将来复发再考虑血流导向植入!

术后侧位造影,后交通动脉血流还是减少!

术后正位造影!

术后椎动脉造影左侧大脑后动脉显影良好!

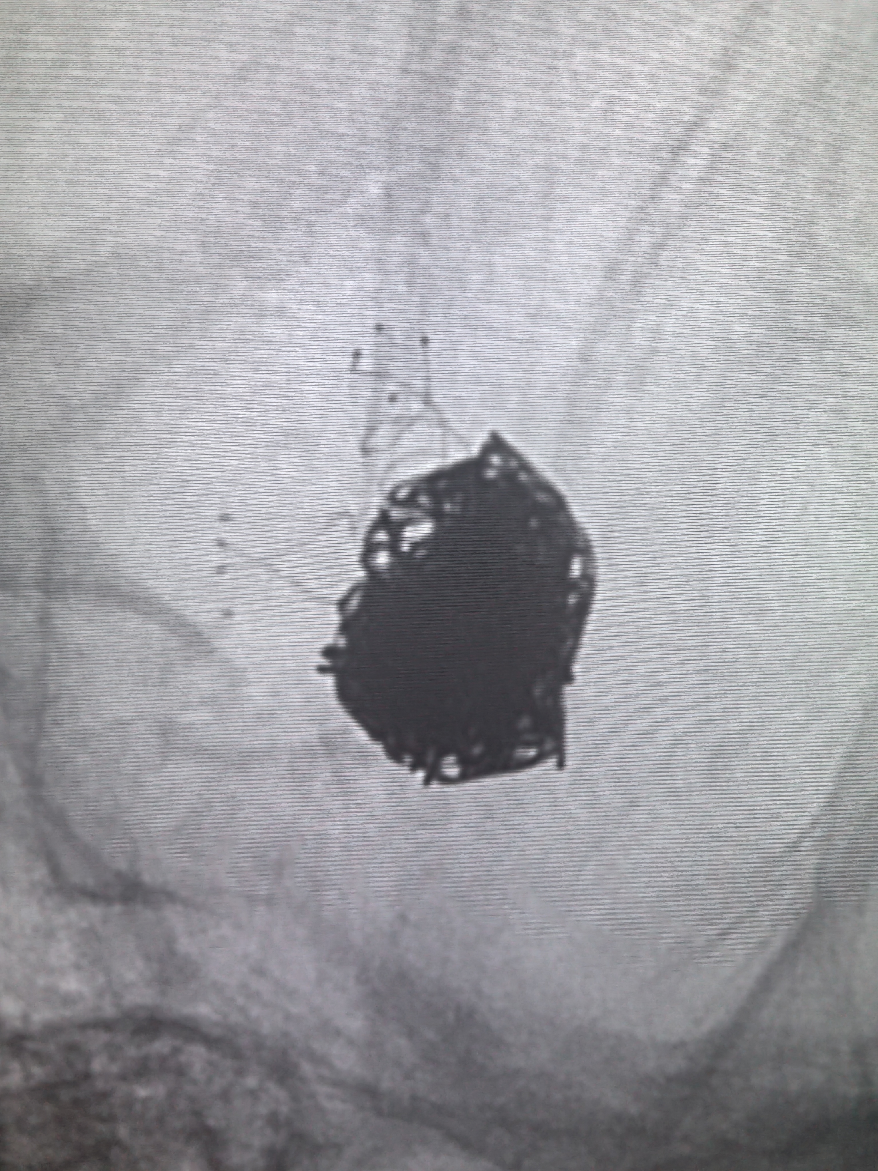
蒙片看支架及弹簧圈!支架打开良好!

术者体会:

1.对于胚胎型大脑后动脉的后交通动脉瘤,如果后交通动脉开口位于瘤颈处,可以双微导管栓塞、Lvis支架灯笼技术、Atlas穹窿技术、摆尾技术、Y型支架技术以及球囊辅导栓塞!

2.对于动脉瘤大且胚胎型大脑后动脉发自瘤体的,保护后交通困难的,要做压颈试验,有P1可以考虑致密栓塞。没有P1的,据情考虑在后交通动脉放支架。风险大的可以先疏松填塞,填塞假包,先降低出血风险,病人恢复良好尽早复查,择期按未破裂动脉瘤植入血流导向装置!

最新评论
发表你的评论
发表你的评论