病史简介
- 患者,女,62岁。既往体健。
- 主诉:“视力嗅觉减退2年,头晕发现颅内占位性病变1月”于2024年3月入院。
- 简要病史:患者2年前无明显诱因出现视力下降和嗅觉减退,无头痛头晕,无肢体抽搐,未予重视,未行相关检查及治疗。患者1月前因头晕行CT检查示额叶占位性病变,后行颅脑磁共振平扫示前颅底巨大脑膜瘤,因各种原因未予手术治疗,对症治疗头晕,一直无好转来诊,为行手术治疗收入院。
辅助检查

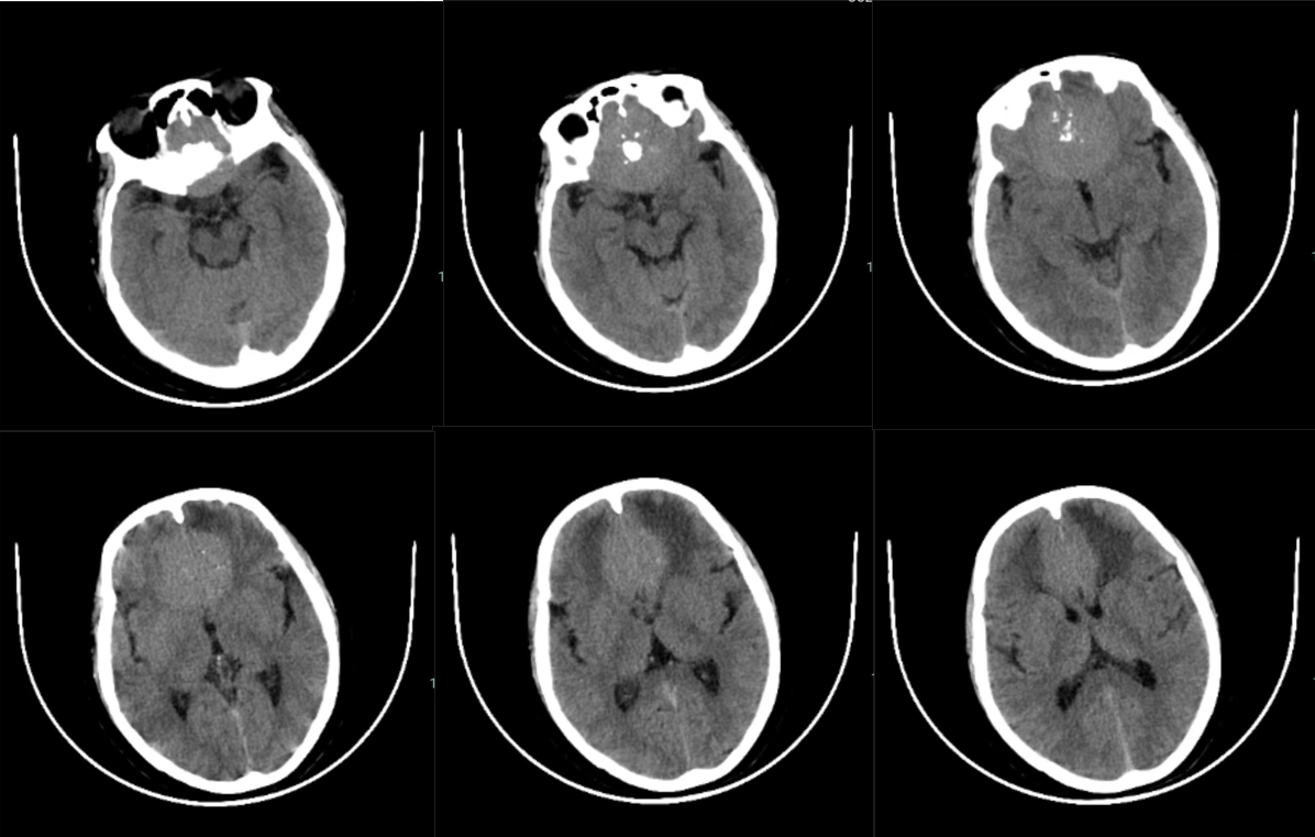
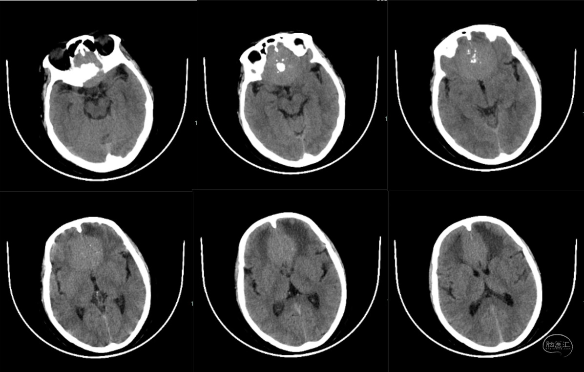
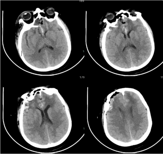
颅脑CT:前颅底占位性病变,颅底骨质增生,瘤内钙化,周围脑组织水肿。

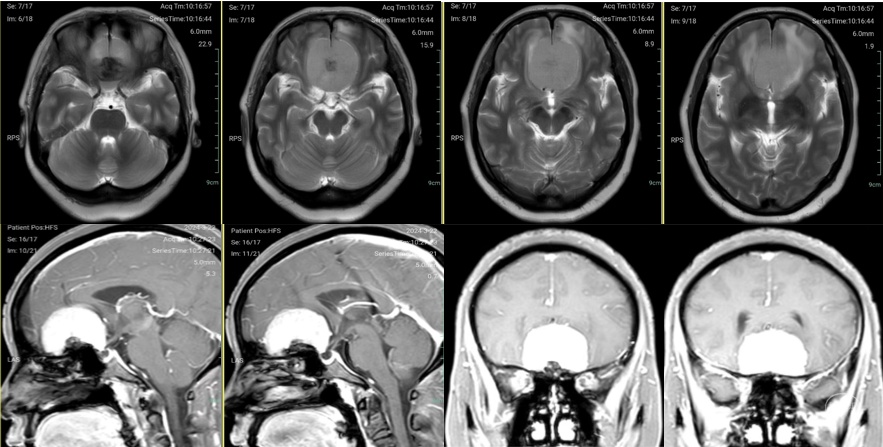
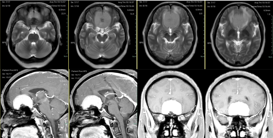
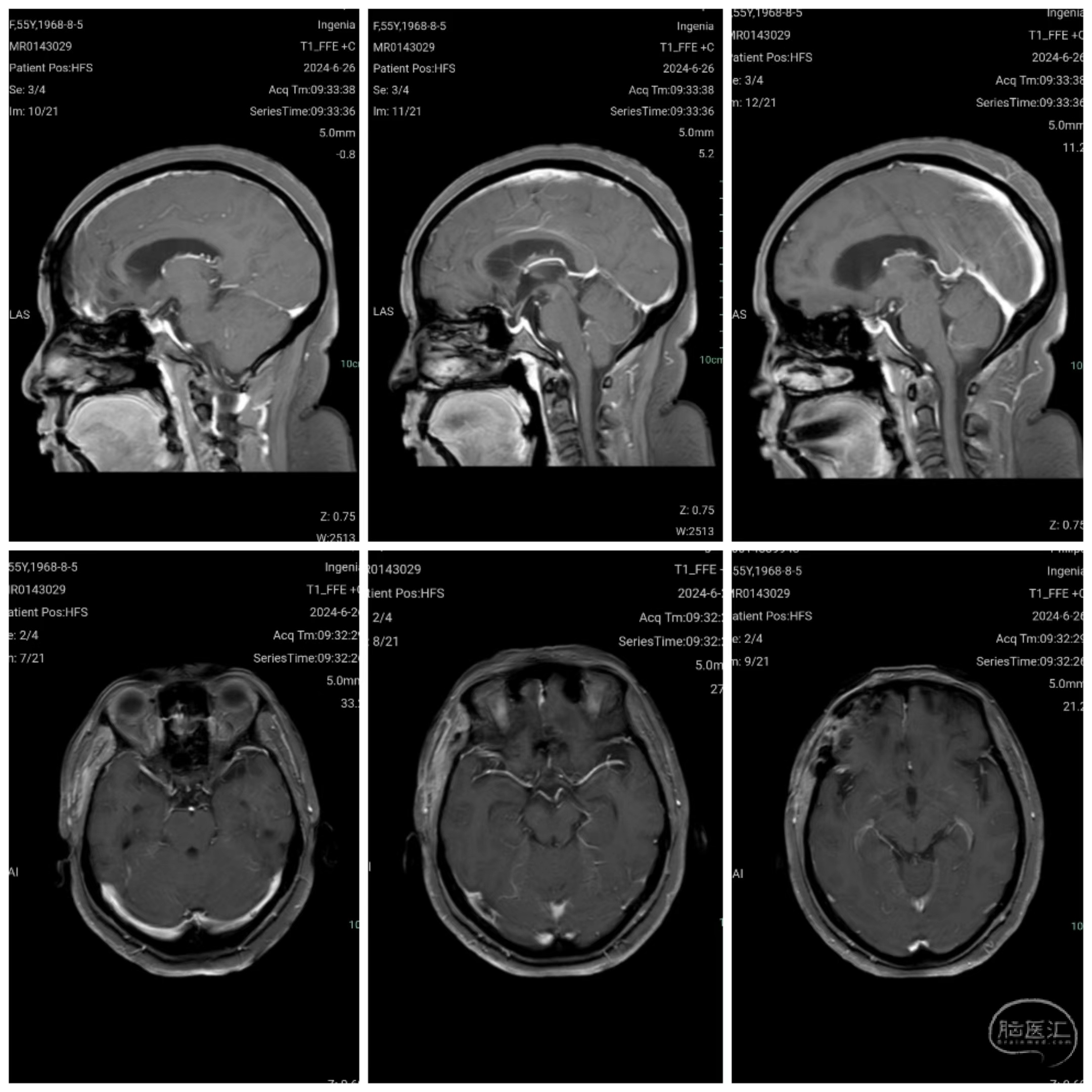
颅脑磁共振增强扫描示前颅底巨大脑膜瘤,基底前至鸡冠,后达垂体窝,基底宽。

颅骨冠矢状位重建示前颅底骨质明显增生,额窦发达。
术前诊断
前颅底脑膜瘤(双)
术中难点
- 肿瘤巨大,基底宽大。
- 肿瘤血运丰富,钙化。
- 大脑镰切迹两侧上方均有肿瘤,额外侧入路大脑镰阻挡。
- 如经额外侧入路,增生骨质阻挡手术视野,且断基底时易出血凶猛。
- 额窦发达,经双额入路需开放额窦(增加感染几率),需断矢状窦(影响静脉回流的可能)。
- 术中时刻注意对额叶和静脉系统的保护。
手术评估


手术体位

术中视频
视频一:断肿瘤基底,减瘤,分离与视神经粘连,磨除增生骨质。(因肿瘤钙化较韧,动用脑膜剪切除肿瘤,提高切除效率)
视频二:切开大脑镰,将大脑镰对侧及上方肿瘤切除,分离对侧包绕血管。
视频三:分离肿瘤与大脑前动脉间粘连,切除最后的肿瘤
视频四:电凝肿瘤基底硬脑膜,颅底修补重建,手术顺利结束。
术中图片

上述图片为切除的实质部分肿瘤,剩余部分肿瘤被吸引器吸除。
术后情况
术后2小时病人即清醒,双瞳孔等大等圆,直径3mm,对光反射灵敏,四肢活动可,肌力正常。(注:未留取视频资料和照片)

注:术后第一天CT显示额叶脑挫伤及水肿不重

手术前后比较:前颅底增生骨质处理情况

注:术后CT骨窗及三维重建

手术前与手术后第十天后颅脑增强磁共振比较:前颅底巨大脑膜瘤影像学切除完全。

术后第十天,病人无头痛头晕,饮食好,下床活动自如,视力较前好转,四肢活动好,肌力正常。

病理不排除其中伴有非典型性脑膜瘤,但整个肿瘤Ki-67(+,5%),建议密切观察,术后3月再复查颅脑增强磁共振,观察是否有肿瘤再生长情况,决定是否放疗。
中长期随访

术后3个月随访:病人无头痛头晕,语言、肢体活动良好,视力较前好转,嗅觉检查有轻微的部分嗅觉。

术后三个月颅脑强化磁共振显示肿瘤无明显残留。
治疗收获与思考
- 前颅底脑膜瘤经额外侧入路优点:切口小,骨瓣小,容貌影响小,不需要结扎前矢状窦,不需开放额窦。
- 入路尽量避开优势半球:损伤易导致语言功能障碍。
- 注意对额叶的保护:减少过度牵拉,随时观察额叶的情况。平时需加强显微操作训练,以便在操作空间狭小、高度紧张的状态下也能有意识的保护重要结构,不对重要组织过度骚扰。
- 基底处理的技巧:为防血管缩入增生骨质内致出血影响视野,可先保留薄层肿瘤组织。
- 基底部骨质磨除的尺度把握:磨除范围,深度需要术者根据情况把握,如有磨透,需颅底重建修补,防止脑脊液漏。
术者简介

青岛市即墨人民医院(青岛天坛脑科医院)神经外科副主任,医疗组长,毕业于第二军医大学,2019年青岛市优秀青年医学人才。
学术职务:
中华志愿者协会中西医结合委神经外科专业组常务委员
中国生命关怀协会脑卒中救治与康复照护专业委员会全国委员
山东省临床肿瘤学会第一届神经肿瘤专家委员会常务委员
山东疼痛医学会第三届神经损伤专业委员会常务委员
山东疼痛医学会神经外科青年委员会常务委员
山东省健康管理协会神经创伤及重症专业委员会委员
青岛市医学会神经外科分会委员
青岛市抗癫痫学会委员
青岛市中西医结合学会神经外科分会委员
专业特长:
擅长垂体瘤、颅咽管瘤等鞍区肿瘤,脑膜瘤、脑胶质瘤、脑转移瘤等颅内肿瘤,出血性及缺血性脑血管病,脑积水、颅脑外伤等疾病的诊断和手术治疗。在显微镜及神经内镜下锁孔微创手术方面做了大量工作,进行了深入的学习及研究,有比较丰富的临床经验,引进的神经内镜技术填补即墨地区空白,擅长神经内镜下经鼻蝶入路治疗垂体腺瘤、RATHKE囊肿、颅咽管瘤等颅底肿瘤,内镜下锁孔微创治疗外伤性及高血压性颅内深部血肿;擅长显微镜下各部位及多发脑动脉瘤夹闭手术,脑膜瘤及脑胶质瘤等颅内肿瘤切除手术,脑干出血及深部血肿的显微微创手术治疗;擅长重症颅脑损伤及脑内出血的急危重症处理。承担青岛市卫健委科研课题两项。
