2024年08月04日发布 | 380阅读
神经介入-动脉瘤
脑血管-动脉瘤

近期主刀复盘:多系统治疗复杂动脉瘤

蔡仁端

海南省人民医院

达人收藏

病例1大脑中AN支架甩尾辅助栓塞

SAH入院,Hunt-Hess分级2级,

CTA提示不规则分叉部、多分叶、动脉瘤,瘤颈波及上干为主

术前造影

3D重建情况

3D重建情况

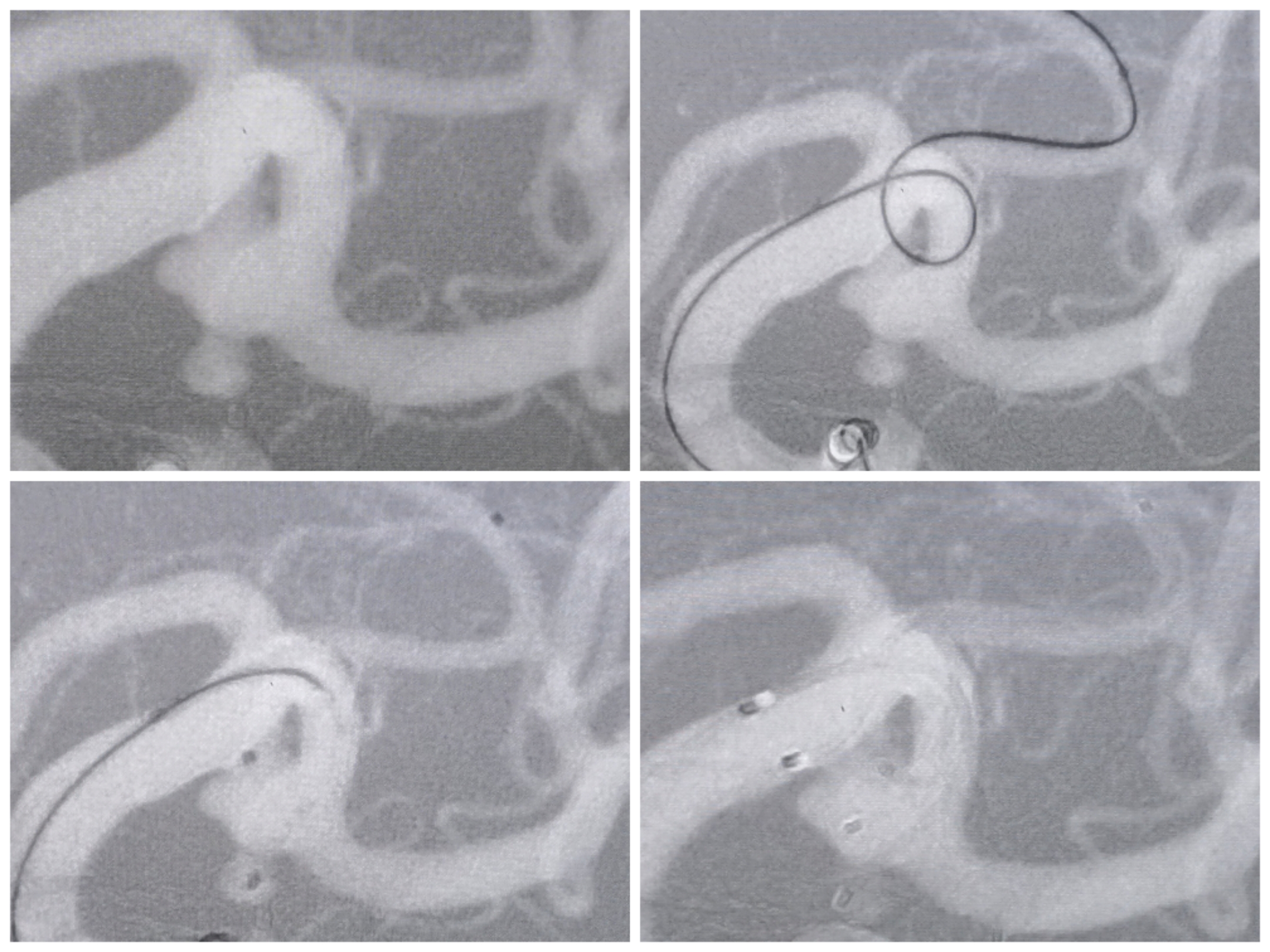
手术过程微导管布局情况:三系统栓塞,支架导管置于上干,两条微导管分别置于主囊和子囊中。

手术过程:先栓塞子囊,释放Atlas支架后甩尾(头端置于上干、尾端甩尾释放于下干开口保护两个干),后栓塞主囊

栓塞术后情况:支架甩尾保护双干,子囊及主囊栓塞完全

术后工作位造影

术后3D旋转

术后3D重建

病例2大脑中分叉分叶动脉瘤

SAH入院,Hunt-Hess分级2级,

术前CTA:右侧大脑中分叉部动脉瘤

术前造影3D重建

术前计划:支架导管释放至上干,应用开环支架穹窿效应保护下干,双微导管分区栓塞

拟支架释放角度

栓塞过程

栓塞术后情况

栓塞术后3D重建

病例3左侧大脑中分叉部动脉瘤

患者头疼1周余入院,CT提示左侧颞叶血肿,入院神智嗜睡,GCS14分,四肢肌力正常

因头疼1周余就诊,行头颅CT提示左侧颞叶血肿,CTA提示左侧大脑中动脉瘤。神智嗜睡,GCS13-14分,首选开颅血肿清除+夹闭动脉瘤。患者家属反复拒绝开颅。

术前造影

术前3D情况

手术计划:三系统,支架导管放置上干,双微管栓塞

工作位,支架导管+双微导管到位情况

栓塞过程:双微管分区栓塞

栓塞术后情况

栓塞术后3D重建

病例4后交通动脉瘤

患者因右侧眼睑下垂、动眼神经麻痹入院,CT无出血。

右侧颈内造影提示后交通不规则动脉瘤

椎动脉造影提示右侧P1良好,无需刻意保留后交通动脉

3D重建情况

拟支架辅助+双微管栓塞,微导管布局情况

先栓塞远端子囊+支架释放,双微管交替栓塞

栓塞术后情况

最新评论
发表你的评论
发表你的评论