病例1破裂前交通动脉瘤单栓

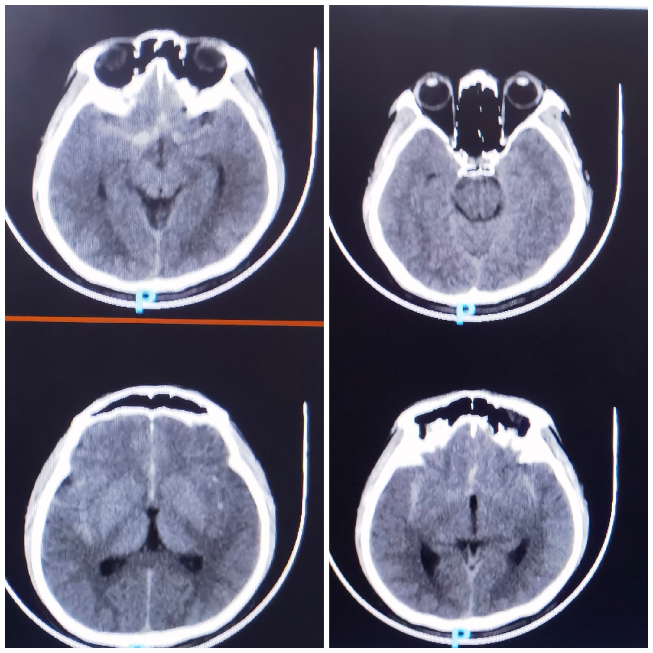
男性,头疼2天就诊。SAH入院,Hunt-hess分级2级

头颅CT情况:SAH

CTA提示前交通动脉瘤,双侧A1发达,似乎是宽颈的

主动脉弓1型弓,右侧颈内:右侧大脑前A1存在

双椎造影无特殊

左侧颈内造影:前交通动脉瘤,窄颈

3D重建情况

栓塞过程:塑了S型指向微管。

术后情况:前交通动脉瘤栓塞术后。双侧大脑前动脉显影良好

术后3D重建
病例2前交通动脉瘤支架辅助栓塞

患者男性,体检发现未破裂动脉瘤入院,入院前已双抗药物准备5天,入院造影提示前交通动脉瘤。右侧A1缺如,左侧大脑前优势供血

3D重建提示宽颈前交通动脉瘤,瘤颈偏向同侧A2。手术计划:支架置入同侧A2,利用开环支架穹窿效应保护对侧A2,行弹簧圈栓塞。WEB也是个不错的选择,可惜手上没有材料。

微导管塑形情况。

支架导管、微管到位情况

术后栓塞情况:支架开放良好,弹簧圈致密栓塞,双侧大脑前血流良好

术后3D重建情况

术后支架CT重建
病例2:共干A2,A2-A3分叉部动脉瘤

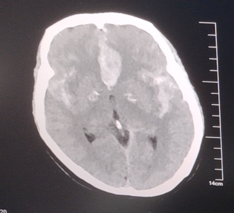
患者女性,突发起病,外院CT提示SAH,前纵裂血肿。

病例3共干A2,A2-A3分叉处动脉瘤

双侧颈内造影

3D重建情况

双微管到达A2后,指引导管造影无法看到动脉瘤。经微管造影及路途,支架导管和栓塞微导管分别到位。选用开环支架穹窿效应缩窄瘤颈,保护对侧大脑前。

栓塞术后情况

术后重建情况



