病史简介
现病史:71岁女性,左侧咽后壁针刺样疼痛10余年,喝水吃饭吞咽动作可以诱发疼痛。近2月疼痛加重,不能忍受。服卡马西平出现头晕手脚麻木。
既往史:8年前在外院诊断为左侧舌咽神经痛,2016年外院行微血管减压术,术后疼痛缓解4年后复发。复发后做过射频消融术、局部阻滞,均无效。
诊断:左侧舌咽神经痛(术后复发)


















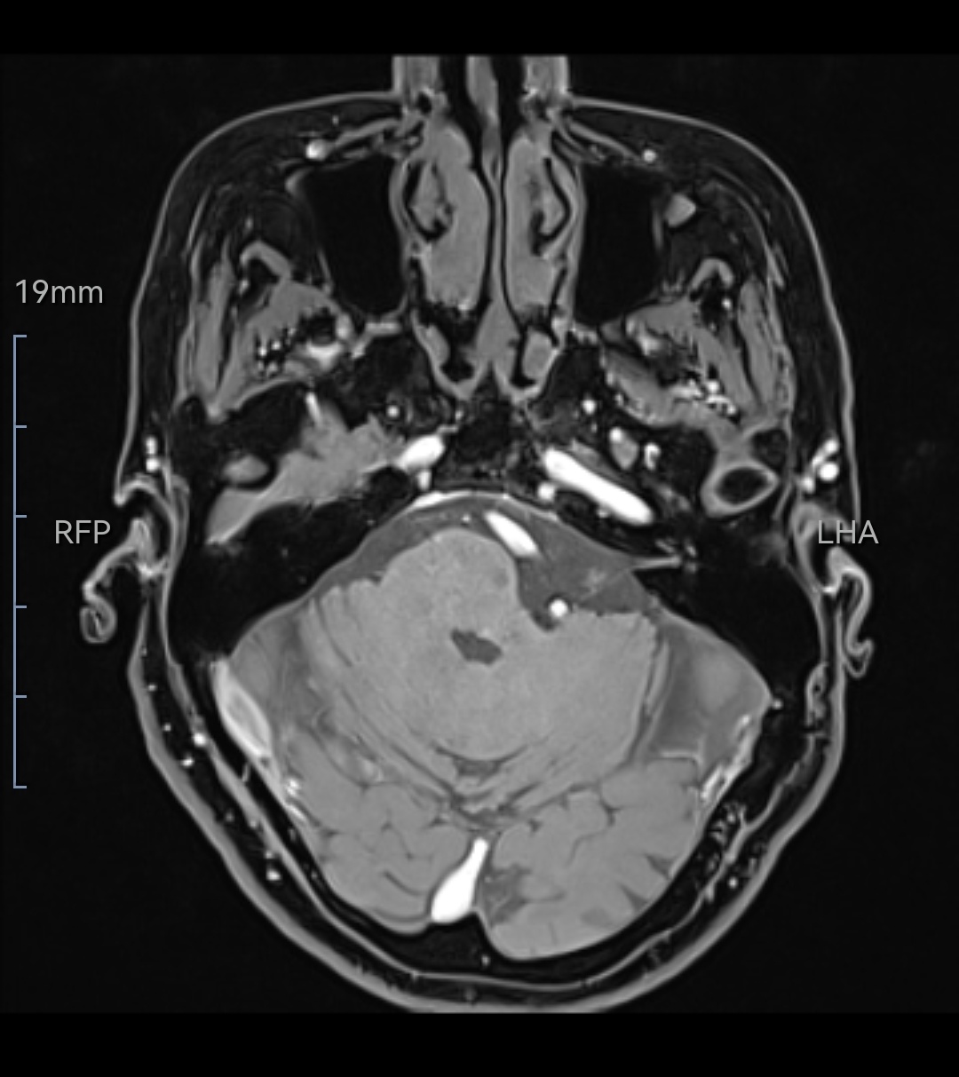
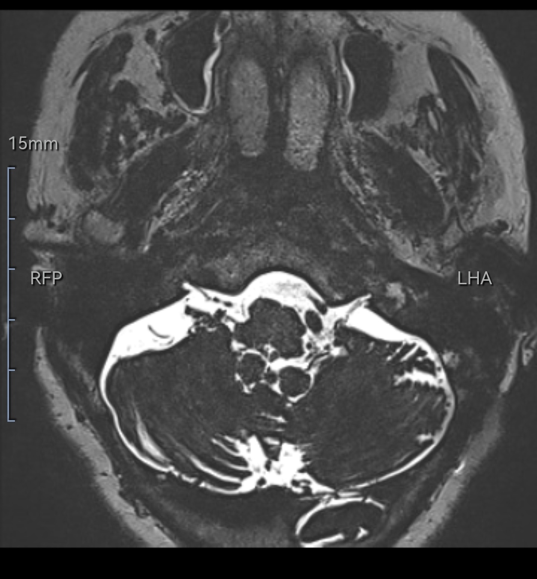
该例特点:术中见既往垫片与后组颅神经、血管粘连,硬化机化严重,剪刀、剥离子均无法撼动丝毫。
逐渐解剖,最终从后组颅神经尾端分离到操作空间,见到腹侧下方REZ区有血管卡压后组颅神经REZ区。充分松解后垫入teflon垫片,术后疼痛完全消失。
微血管减压术后复发原因可能有:早期复发与垫片漂移、垫片不到位;晚期复发可能与垫片机化粘连、其他血管卡压、蛛网膜粘连等因素有关。
对于复发的患者再次行微血管减压术,如果垫片粘连机化严重,不能暴力拖拽,以防止神经血管受损导致严重并发症;如无法松解,可考虑术中行舌咽神经及迷走神经部分切断术,但术后会出现饮食饮水呛咳、吞咽困难风险。




