患者,男,61岁,入院时间:2024-05-20;
主诉:右侧面部疼痛3+年
现病史:患者3年前无明显诱因出现右侧颜面部疼痛,以右侧口唇周围明显,疼痛呈阵发性,双眼活动不受限。无重影、视物旋转,无恶心、呕吐,无意识障碍、四肢抽搐等。期间就诊于外院,未予特殊处理,后就诊于当地医院行MRI后提示三叉神经肿瘤。今再次就诊于我院门诊,门诊以“右侧三叉神经良性肿瘤”收入我科,病来患者精神、饮食尚可,二便正常,近期体重无明显增减。
既往史:自幼起双耳听力下降(药物性可能)
查体:神清,粗测双耳听力下降,视力正常,双瞳2.5mm,光敏,伸舌居中,眼动正常,右侧颧部至口周触痛觉减弱,余神经查体未见异常。
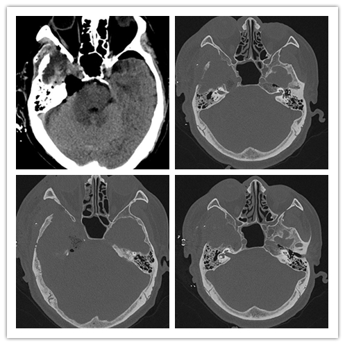
辅查:颅脑MRI:右侧CPA-中颅底占位,考虑良性肿瘤。头颅CT提示:中颅窝右份混杂密度病变,部分骨质缺损,考虑畸胎瘤、脂肪瘤等。
诊断: 1、右侧海绵窦内卵圆孔-破裂孔区脂肪瘤?
2、继发性性三叉神经痛
3、双耳听力下降



手术方案:1.解除右侧下颌神经骨性卡压;
2.肿瘤考虑为良性脂肪瘤,安全前提下尽力切除海绵窦-CPA区内占位;
3.肿瘤位于海绵窦内,卵圆孔-破裂孔区,为颅底孔道结构改变,采用前颞下经中颅窝入路,进入海绵窦区,术中避免损伤相关结构。
术中体位:






















































本病例由遵义医科大学附属医院 神经外科一病区 后颅窝组 石贵新、谢明祥、岳翔及罗丽梅提供。




