患者,吴某,男性,56岁,因“突发言语不能伴右侧肢体无力2小时”入院,NIHSS评分15分。既往有高血压、糖尿病病史多年。
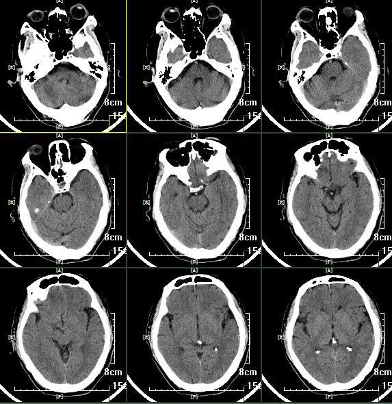
急诊头颅CT:颅内未见出血及大面积梗死。
急诊头颅CTA:左侧大脑中动脉闭塞,右侧大脑中动脉重度狭窄或闭塞。
立即给予阿替普酶静脉溶栓,同时积极术前准备,急诊行脑血管造影+动脉取栓术。
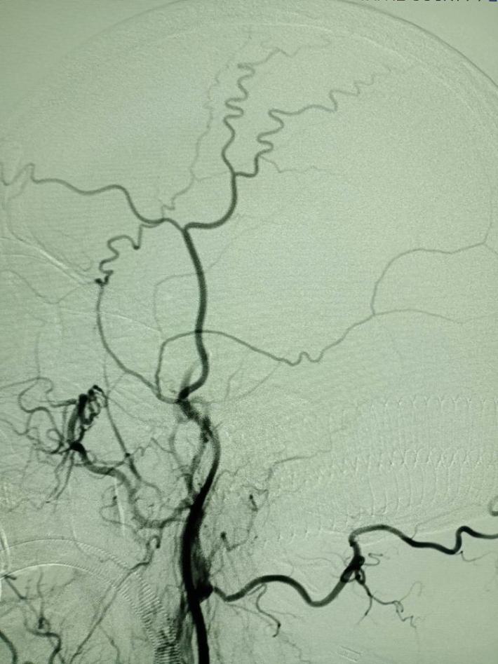
右侧颈总动脉造影提示:右侧颈内动脉颅内段慢性闭塞,非责任病变。
左侧颈总动脉造影提示:左侧大脑中动脉闭塞,考虑责任病变。
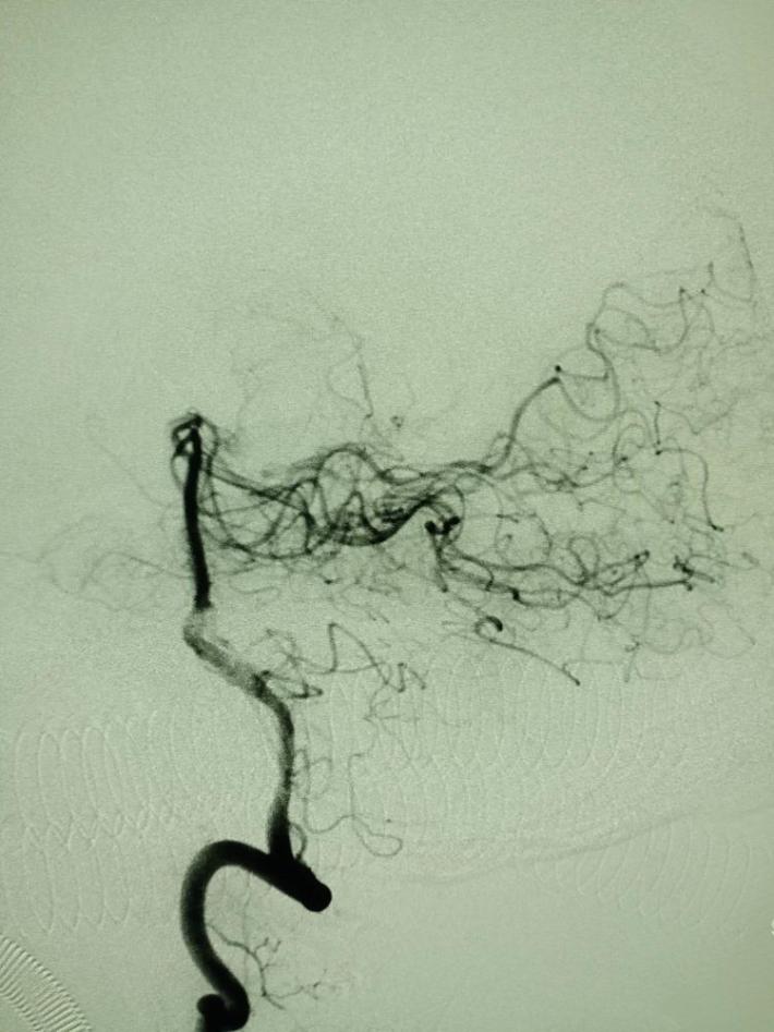
左侧椎动脉造影提示:右侧后交通动脉开放,后循环向前循环代偿供血。
微导管超选至闭塞血管的远端,手推造影证实在真腔。
国产取栓支架尼科4mm*20mm成功打开,前向血流恢复。
取栓后五分钟,血流减慢,难以维持,左侧大脑中动脉M1段原位狭窄。
球囊扩张
球囊扩张后30分钟,重复造影,狭窄明显改善,前向血流TICI3级。
术后即刻头颅CT
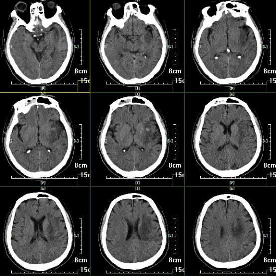
患者术后2周,复查头颅CT
患者术后2周,复查头颅CTA,左侧大脑中动脉通畅。
目前患者术后2周,神志清楚,运动性失语,右下肢肌力3级,右上肢肌力2级,左侧肢体肌力5级,NIHSS评分7分。
太和县人民医院是国家三级甲等综合医院,国家脑防委批准的高级卒中中心,现已常规开展颅内大血管闭塞介入取栓术、动脉瘤介入栓塞术、动脉瘤开颅夹闭术、烟雾病血管搭桥术等神经外科高难度手术。




