王喆主任 魏广鑫副主任 赵余静 苗俊杰 乜全民 马永迁 陈冰 刘文强 王越 吴志鹏
杨某某,女性,45岁,因阵发性全身不适20天,加重1天入院。
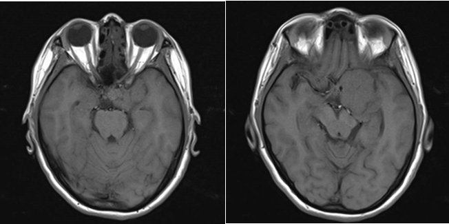
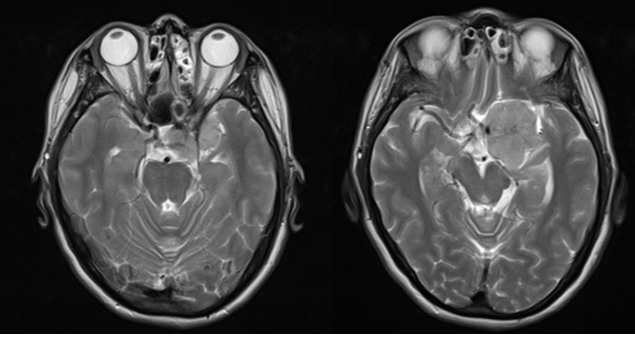
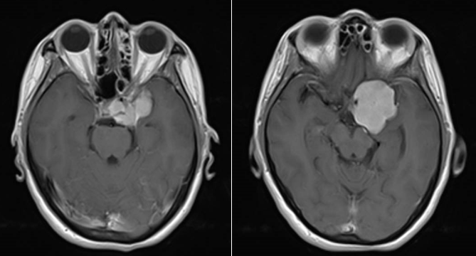
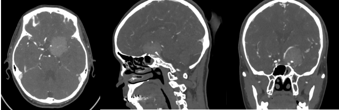
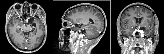
现病史:患者20天前无明显原因出现鼻酸,伴有异味感,继之出现全身不适,呈发作性,每次持续约1分钟左右,发作时意识清、精神可,对发病时情况记忆模糊,共发作3-4次,无意识模糊、复视。颅脑MRI平扫+强化示:鞍上池左侧可见不规则等T1等T2信号影,DWI呈等信号;明显均匀强化,与前床突、颈内动脉关系密切。
诊断:左侧蝶骨嵴脑膜瘤;继发性癫痫。


















前床突脑膜瘤起源于前床突附近硬膜,常涉及颈内动脉(ICA)和视路结构,部分可能累及眶上裂及海绵窦,手术切除较困难。
Al-Mefty教授根据肿瘤的起源和肿瘤与颈内动脉之间是否存在蛛网膜界面,将前床突-蝶骨嵴内侧的脑膜瘤分为三型,这是目前最为经典和广泛认可的分型。ICA在前床突内、下侧方从海绵窦穿出,经过内环与外环(或上环与下环)而后进入硬膜下腔,内外环之间约1-2mm,该节段缺少蛛网膜覆盖。起源于这一小段的脑膜瘤被分为1型前床突脑膜瘤。1型典型的生长方式是包裹ICA,并向颈内动脉分叉部方向生长,包裹近端大脑中动脉。由于肿瘤与颈内动脉之间缺乏蛛网膜,所以它紧密黏附在ICA的外膜上,以至于分离困难,导致手术治愈率相对较低。该患者主体属于1型前床突脑膜瘤,但是因其部分侵入视神经管内,兼有3型的特点,严格讲其属于1-3复合型脑膜瘤。该患者经左侧翼点入路肿瘤切除术,实现肿瘤近全切除,术后未再出现癫痫发作,脑电图无异常,后逐渐减用停用抗癫痫药物,现已持续随访4年余,未见肿瘤复发。
术者总结前床突脑膜瘤手术关键点如下:
1. 术前可根据肿瘤大小、部位决定是否需要留置腰大池引流,但应避免过度引流,以防侧裂解剖困难。
2. 至于磨除前床突是选择硬膜内还是硬膜外,需视患者具体情况而定,肿瘤大小、脑组织水肿情况均是参考因素,若过度强调硬膜外磨除前床突,可能造成脑组织不必要牵拉损伤。
3. 减瘤操作伴随手术全程,充分瘤内减压后再分离包膜与周边神经血管的黏连。质地偏软的肿瘤更容易将垂体上动脉、脉络膜前动脉等较细小血管卷入其中,分离时务须小心谨慎。在寻找颈内动脉及其分支时,可采用逆行与顺行探查相结合的办法。如果肿瘤与血管无明显蛛网膜间隙或者粘连异常紧密,不必强行分离,可残留少许肿瘤包膜,以免带来血管损伤后严重的缺血风险。对于难以全切的肿瘤选择次全切除肿瘤加术后辅助精确放疗同样可获得满意的疗效。
4. 视神经与肿瘤之间多有蛛网膜界面,肿瘤分离并不困难,但较大的肿瘤多将视神经推向一侧,视神经、视交叉的小动脉也往往受到牵拉,术中尤其要注意保护这些小动脉,侵入视神经管内的肿瘤应彻底切除,可磨除部分视神经管,充分减压视神经。术前需充分评估前床突气化情况,注意做好颅底重建,以防脑脊液漏。



王喆,男,51岁,医学博士,主任医师,硕导,潍坊名医。潍坊市人民医院神经外五科主任。兼任中国中西医结合学会神经外科分会青年委员、中国抗癌协会淋巴瘤学组委员,国家神经疾病医学中心脑胶质瘤MDT专科联盟理事、山东省医学会胶质瘤多学科联合委员会委员,山东省医师协会神经外科分会常委,山东省医学会神经外科专业委员会神经肿瘤学组委员、山东中西医结合学会神经外科分会副主任委员。于2014年在德国Greifswald大学研修。研究方向为神经肿瘤、颅脑创伤的外科治疗,完成省市科研课题多项,发表SCI论文7篇,获得国家发明专利2项。
潍坊市人民医院神经外五科(神经肿瘤病区)简介
潍坊市人民医院神经外科是国家级临床重点学科建设单位之一,是山东省卫生厅医学特色专科,山东省临床特色精品专科,潍坊市临床特色精品专科,目前分为四个亚专业六个病区。神经外五科自成立以来,科室立足于自身,坚持亚专科分化,精益求精的理念,主要负责颅内肿瘤及颅脑创伤的外科治疗。目前科室特色技术有:1.脑胶质瘤精准规范化诊治,我科术前实施全方位、多模态的检查技术进行肿瘤术前规划,术中结合全麻唤醒技术、电生理监测技术、先进的睿米机器人导航引导、显微镜下肿瘤黄荧光显像技术、术中超声等多种先进技术,进行精准可靠的个体化功能定位,在保护病人重要功能的前提下最大程度的切除病灶,术后结合多学科“MDT诊疗模式”和放化疗、电场治疗等。现为国家神经疾病医学中心脑胶质瘤MDT专科联盟理事单位;2.“双镜”联合技术治疗复杂颅底肿瘤;3.神经内镜经鼻微创技术切除鞍区肿瘤及部分颅底肿瘤;4.“睿米”机器人引导下颅内深部病变穿刺活检术及重要功能区肿瘤切除术;5.颅脑损伤手术及综合治疗、各种复杂性脑积水的个体化治疗。




