
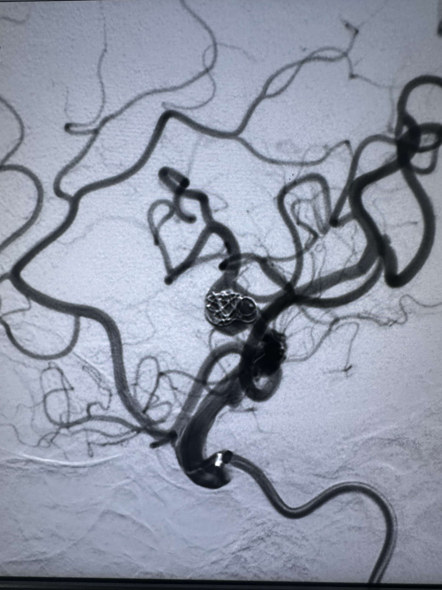
右侧颈内动脉3D发现右侧大脑中分叉处一宽颈动脉瘤.

分叉处动脉瘤的瘤颈部月4.4mm

大脑中分叉处的动脉瘤

同侧的大脑中颞下干有一个宽颈动脉瘤

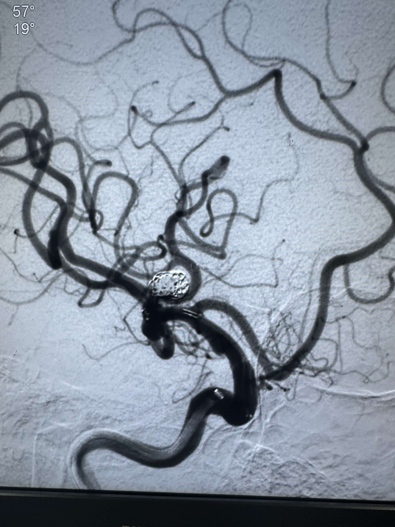
第一枚圈选择6的3D成篮圈,释放支架Atlas 3*15的支架,支架的远端放置在上干

第一枚圈的形态

后续填入多枚史赛克的弹簧圈

最后圈的形态
填塞颞下干的动脉瘤时候,本来想支架导管辅助,支架导管(sl-10)双折进入,可惜最后支撑性太差,微导管没有进入颞下干

直接单纯栓塞处理,第一枚圈选择4*8的3D的弹簧圈

后续填入两枚史赛克的弹簧圈

最后骨窗的形态

最后造影显示动脉瘤不显影

最后正位造影

侧位