Xu jiajia
患者,女,27岁。
主诉:“发现脑血管畸形5年余,头晕伴恶心1月”;
现病史:患者诉2018年因“头痛”至当地医院查头颅MR提示右侧顶叶AVM(直径<3cm),随后就诊于华山医院考虑脑血管畸形较小且患者症状较轻建议随访复查;2019年当地医院复查AVM未见明显增大,继续随访复查;近1月患者劳累后可诱发头晕伴恶心、无呕吐症状,否认癫痫、否认脑鸣、否认肢体发麻乏力,2024.01.23华山医院复查头颅增强MR+MRA提示右侧颞顶部AVM,最大径约4.5mm,畸形团内可见瘤样扩张,建议DSA造影备手术治疗。目前患者一般情况可,为进一步诊治收入我科。追问病史:5-6岁开始出现先兆性视觉性偏头痛,自行服用布洛芬止痛。
既往史:一般健康状况良好。否认肝炎史。否认结核史。否认疟疾史。否认脑血管病史。否认精神病史。否认高血压史。否认心脏病史。否认糖尿病史。有手术史,22年流产手术,2023年宫血清宫术。 否认外伤史。 否认输血史。有头孢呋辛、散利痛过敏史。否认预防接种史。月经不规律,服用优思悦1片qn药物治疗规律,,经量正常,无痛经。未婚。流产1次。外婆脑卒中后偏瘫。
辅助检查:2024.01.23华山医院复查头颅增强MR+MRA提示右侧颞顶部AVM,最大径约4.5mm,畸形团内可见瘤样扩张。
初步诊断:1.右侧顶叶大脑血管动静脉畸形
2.慢性阵发性偏头痛
3.月经紊乱
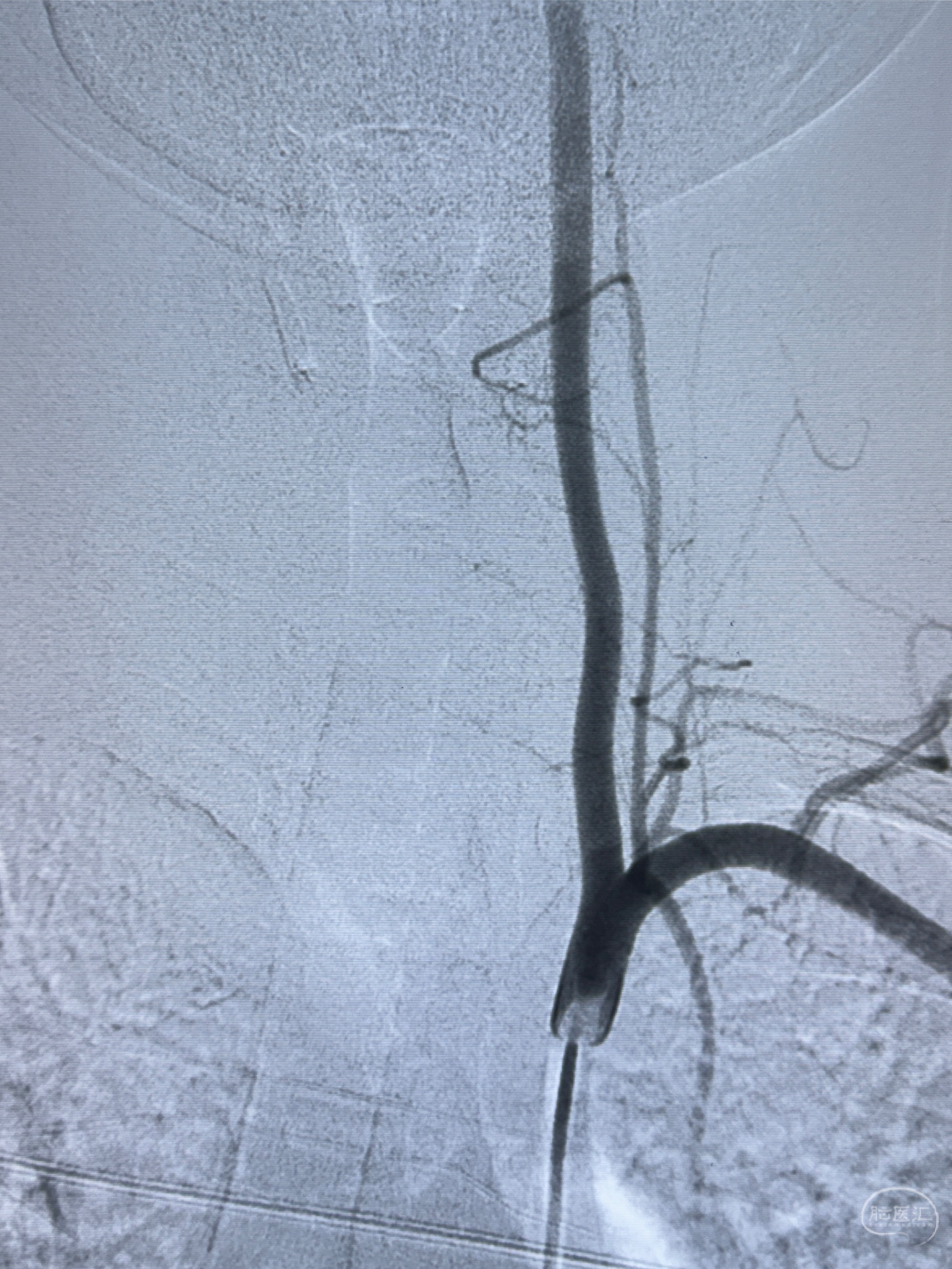
2024-01-29DSA:右侧额顶叶脑膜脑动静脉血管畸形,供血动脉为右侧大脑中动脉、大脑前动脉、右侧脑膜中动脉岩鳞支及大脑后动脉分支,向上矢状窦引流
治疗策略:
- 伽马刀?
- 介入栓塞减流+伽马刀?




