2024年03月30日发布 | 246阅读
脑肿瘤-脑膜瘤

翼点入路无牵拉技术前床突脑膜瘤切除术

马涛

中国科学院合肥肿瘤医院

达人收藏

病史

1、患者蔡××,女,54岁。

2、因“确诊脑膜瘤10年余伴头痛1月”入院。

3、查体:神清,查体合作,言语对答清楚,左眼球内侧斜视,外展受限,双侧瞳孔等大等圆,直径约为3.0mm。四肢肌力肌张力正常,生理反射存在,病理反射未引出。

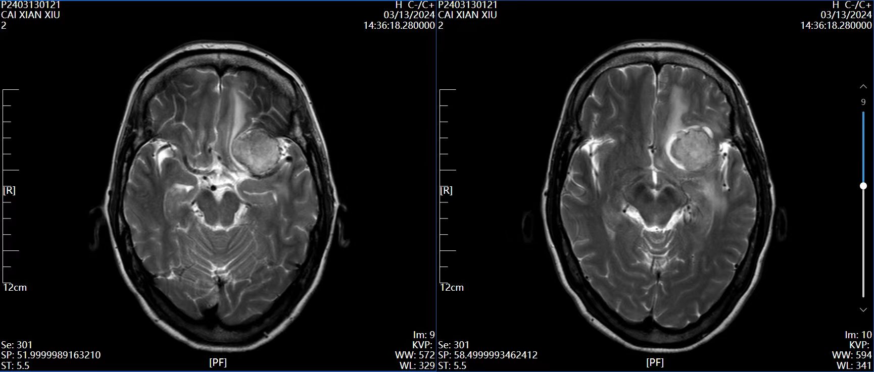
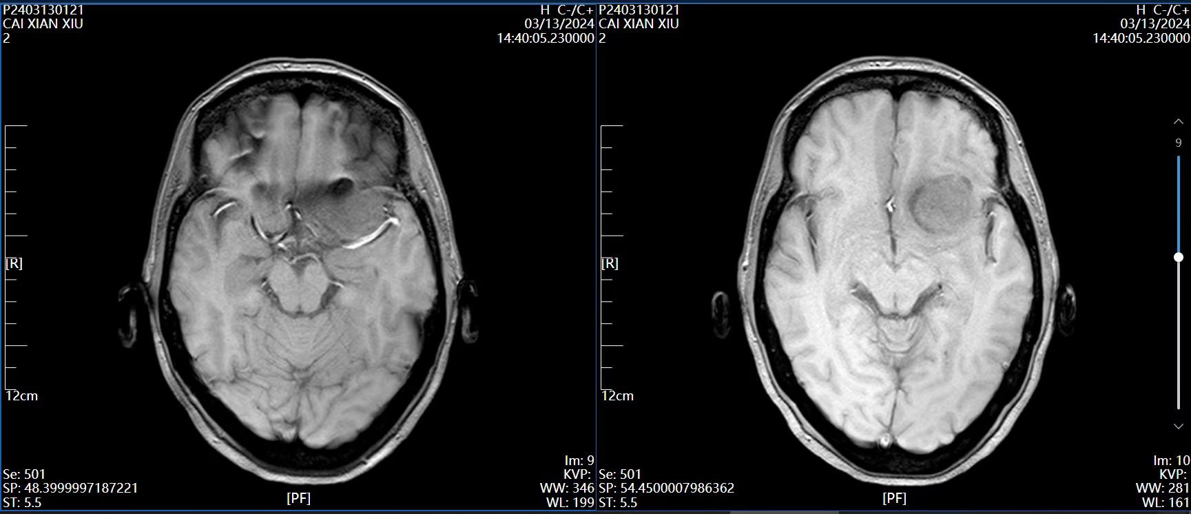
4、辅助检查:头颅磁共振检查提示:左侧前床突占位,约2.8×2.4×2.0cm大小,T1呈等低信号,T2呈等高信号,增强病灶明显强化,宽基底与前颅窝底、前床突相连,看见脑膜尾征。

辅助检查

磁共振 T1

磁共振T2

磁共振增强 2024.03.13

诊断及手术方式

临床诊断:  左侧前床突脑膜瘤


手术方式:   翼点入路

手术切口

手术视频

术后检查

术后第一天CT    2024.03.19

术后第3天磁共振增强  2024.03.21

术后标本及病理

术后1周患者一般状况

前床突脑膜瘤手术体会

1、前床突脑膜瘤是极具有挑战性的颅底肿瘤。它的起源与蝶骨嵴内侧,濒临视神经、颈内动脉及其分支血管,可能与神经、血管发生接触、粘连、推挤、包裹。术中解剖、分离肿瘤与颈内动脉及其分支血管的粘连是前床突脑膜瘤手术成功的关键,也是手术的重点和难点。手术相关的死亡与颈动脉及其分支的损伤密切相关,这也是发生严重术后神经功能废损的重要原因。

2、Al-Mefty前床突脑膜瘤分型:

      Ⅰ型,起源于前床突下方,直接包裹并附着于进入海绵窦之前裸露的缺乏蛛网膜覆盖的颈内动脉外膜;

      Ⅱ型,起源于前床突上面和/或外侧面,肿瘤,与颈内动脉之间有蛛网膜分隔;

      Ⅲ型,起源于视神经孔。

3、前床突脑膜瘤手术入路首选采用翼点或翼点改良入路。先硬膜外处理蝶骨嵴、前床突,后沿蝶骨嵴弧形剪开额颞部硬脑膜并悬吊,充分打开侧裂,进而沿侧裂向前床突探查处理肿瘤基底,断其主要血供。选择合适的间隙,分块切除肿瘤,暴露床突旁ICA近端和视神经,同时可实现颈内动脉远端(分叉部及大脑中动脉、前交通动脉等)暴露。内外结合、双向分离,分块切除减压,最大程度地实现对颈内动脉及其分支的辨认和保护。切除及分离的过程中对肿瘤质地、血供、侵犯范围、神经血管显露等要综合考虑,在肿瘤分离过程中无法解剖出包绕血管的蛛网膜界面,为实现神经功能最大化保护,可适当稍许残留,术后予立体定向放射外科治疗。

4、娴熟的显微解剖技术是每一位术者手术成功的关键,在神经功能和血管安全保护的前提下实现最大化切除肿瘤。在全切肿瘤和保功能的选择上,我们宁愿选择后者。

最新评论
发表你的评论
发表你的评论