
作者:南阳市中心医院神经内科脑血管病介入二病区 孙军 温昌明 汪宁 张在行 苏宁 郭彦俊 郭仕乾 郭元展 邱星辰
审核指导:张保朝
WEB在2021年10月22日成功在中国上市,它是一种瘤内扰流装置,为采用镍钛记忆合金编织成的密网装置,最初设计的目的是用于治疗血管分叉部的宽颈动脉瘤。WEB植入载瘤动脉内后,可干扰动脉瘤内血流动力学,进而诱发动脉瘤内血栓形成而达到治疗目的。初步的研究结果表明,WEB治疗宽颈动脉瘤具较好的安全性和有效性。南阳市中心医院神经内科脑血管病介入二病区已用WEB治疗多位宽颈动脉瘤患者。
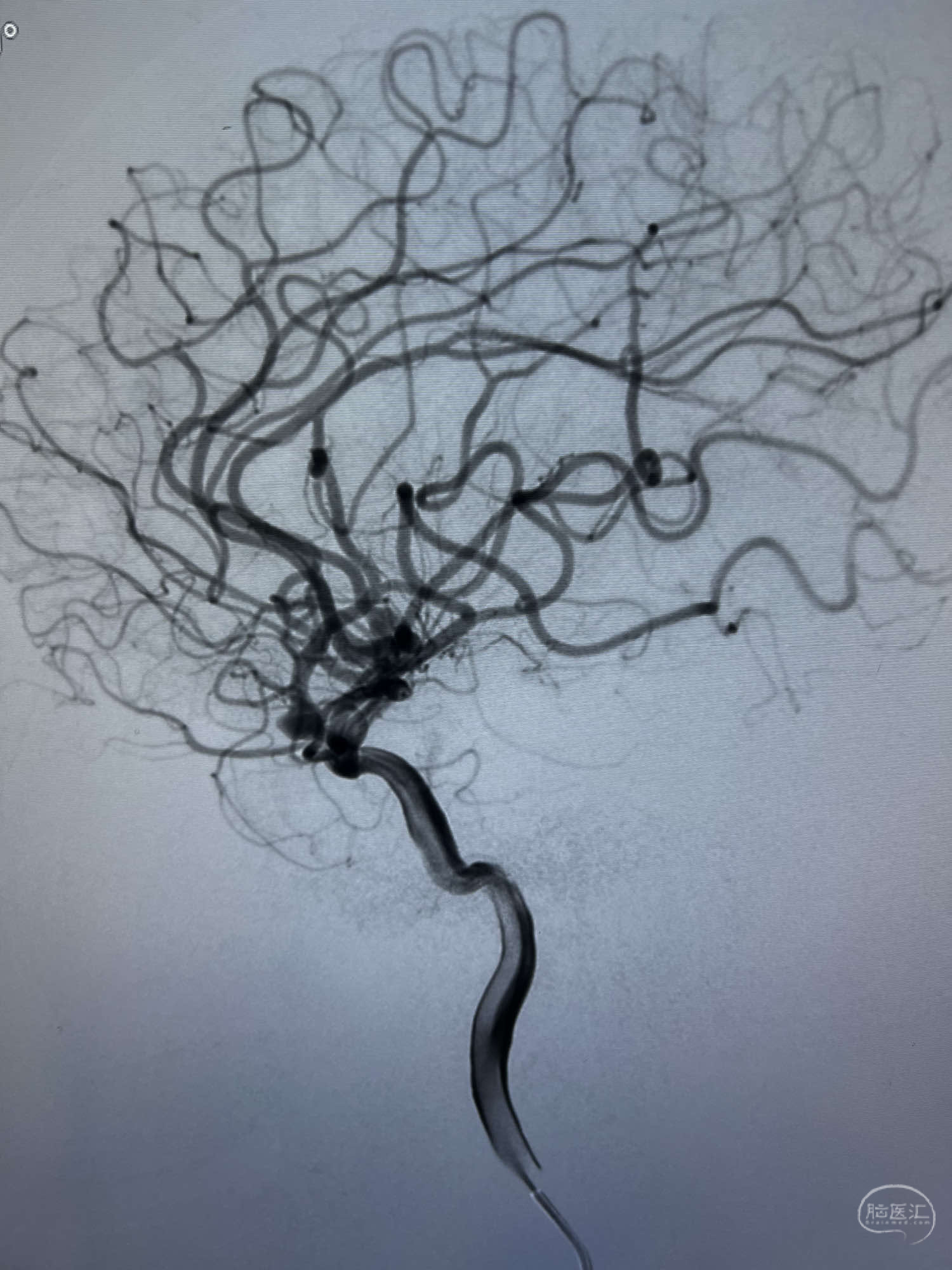
患者:LXS,M53Y,以“间断头晕头痛1周”为主诉入院,既往有高血压病及长期吸烟史。在当地医院行头颅CT未见异常,头颅MRA示右侧大脑中动脉M1段末端动脉瘤,左侧颈内动脉闭塞,交通动脉开放。


DSA示:左侧颈内动脉眼动脉段以远闭塞,后交通动脉开放,椎基底动脉通过后交通动脉代偿左侧大脑中动脉区域,右侧发出双侧大脑前动脉,右侧大脑中动脉M1末端宽颈动脉瘤,大小约4.3mmx4.6mm。











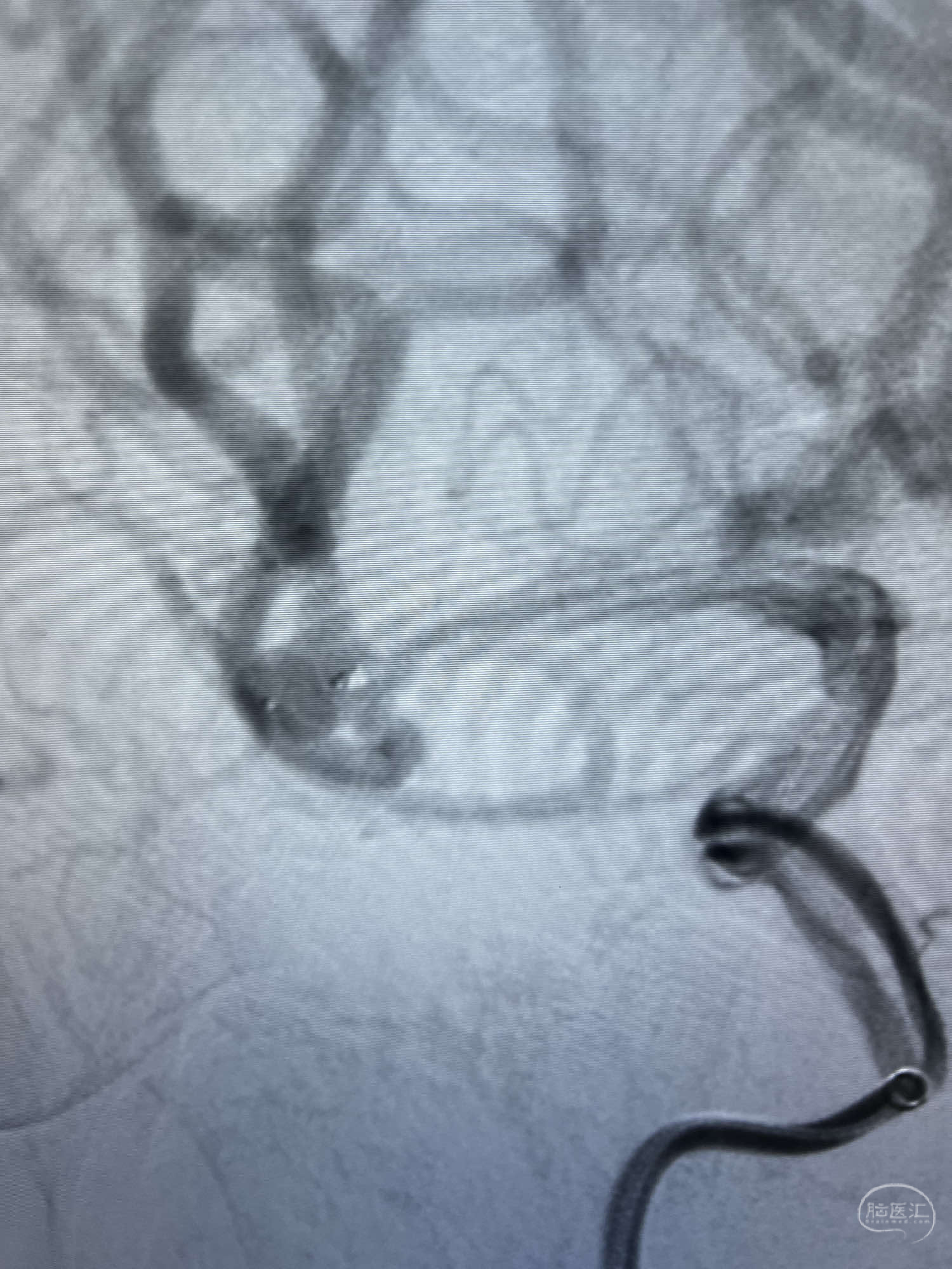
6F Neuromax➕6F115cm 心玮中间导管建立路径,sychro14微导丝➕VIA21超选至动脉瘤体内近中部,WEB5mmx3mm植入动脉瘤。







WEB瘤内扰流装置5mmx3mm经过“种子、萌芽、开花”三个阶段,打开后良好贴壁,动脉瘤内血液滞留,载瘤动脉通畅。WEB一步到位,通过瘤内扰流的方式起到栓塞动脉瘤的作用,避免了应用支架保护分支血管,简化了操作步骤,降低了术中血栓及出血的风险。











作者简介:孙军,男,神经内科副主任医师,中共党员,南阳市中心医院神经内科脑血管病介入二病区主任,南阳市学术技术带头人,河南省医学会神经病学分会青年委员,河南省医学会神经介入学组委员,河南省卒中学会青年理事会理事,河南省中医结合神经介入委员会委员,河南省医师协会神经介入专委会急性缺血性卒中血管内治疗学组委员,南阳市医师协会神经介入分会副主任委员,南阳市脑心同治委员会委员,南阳市高压氧学会委员。曾在北京天坛医院、北京宣武医院、长海医院、河南省人民医院学习脑血管病介入技术。南阳市中心医院神经内科脑血管病介入团队主要成员。近年来完成脑动脉取栓术、眼动脉溶栓、脑动脉支架植入术、脑动脉慢闭再通术、脑动脉瘤栓塞术、脑动静脉畸形栓塞术、脑动静脉瘘栓塞术、血流导向装置植入术、瘤内扰流装置植入术等介入手术4000余例。擅长脑血管病的介入治疗。

作者简介:温昌明,男,神经内科主任医师,硕士研究生导师 ,南阳市中心医院副院长 ,河南省学术技术带头人,南阳市学术技术带头人,南阳市拔尖人才。南阳市医师协会神经介入分会主任委员,河南省医师协会神经介入专业委员会副主任委员,河南省医学会神经介入分会常委兼神经介入学组副组长,河南省中西医结合学会介入分会副主任委员,中国医师协会神经介入分会青年委员会委员,河南省神经内科学会委员,河南省神经内科医师协会神经介入学组委员,南阳市介入治疗学会副主委,南阳市神经脑血管学会常委兼学术秘书 神经介入学组组长。在急性缺血性卒中的静脉溶栓以及桥接介入取栓方面,做了大量开拓性和探索性的工作,在脑动脉狭窄支架植入、脑动脉瘤介入治疗等方面,均有较高造诣。2017年,获河南省第八届优秀医师奖。

南阳市中心医院神经内科脑血管病介入团队:该团队在急性脑动脉闭塞取栓技术、颈内动脉及颅内动脉支架技术、脑动脉瘤栓塞技术等脑血管病治疗的标志性和引领性技术方面,均位居全国前列。其中,取栓技术稳居国家卫健委高级卒中中心排名全国前三位,17次获得了取栓技术全国排名第一名的优异成绩,奠定了该团队在全省及全国该领域的学术领先地位,也锻炼出一支拉得出、打得赢的理念先进、技术过硬、作风顽强、可持续发展的介入专业团队。2018年12月荣获国家脑防委“国家示范高级卒中中心”,“国家五星高级卒中中心”称号。2019年12月荣获“中国卒中中心培训基地”称号。2020年12月荣获“脑卒中动脉取栓技术培训基地”称号。2022年通过“国家五星高级卒中中心”复审。
南阳市中心医院神经内科脑血管病介入二病区 医生办公室电话:61660871 护士站电话:61660577