病例
患者中年,男性,4年前活检后确诊鼻咽癌,予放射治疗。因肝转移行多西他赛+奈达铂联合化疗治疗、PD-1单抗联合白蛋白紫杉醇+顺铂方案治疗。3月前出现鼻腔流液。病程中有间断性头痛,无头晕、恶心呕吐,感觉异常等不适。体检:鼻腔有清亮液体流出,NS(-)。
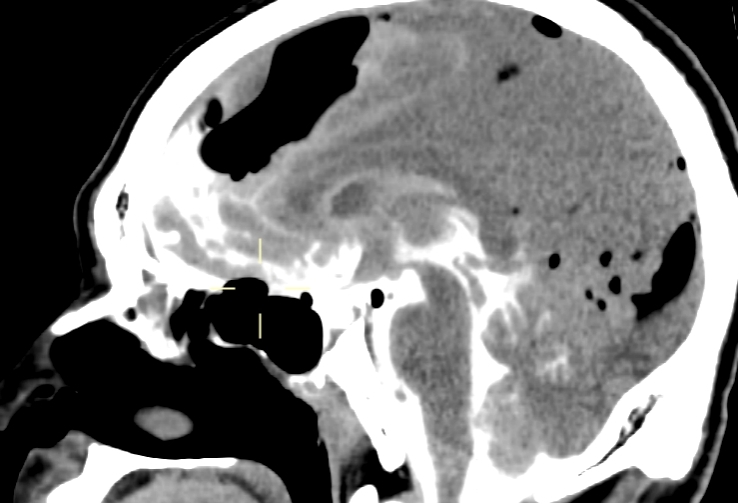
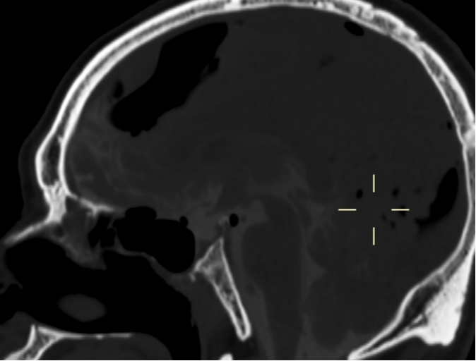
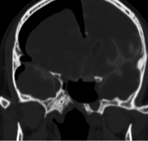
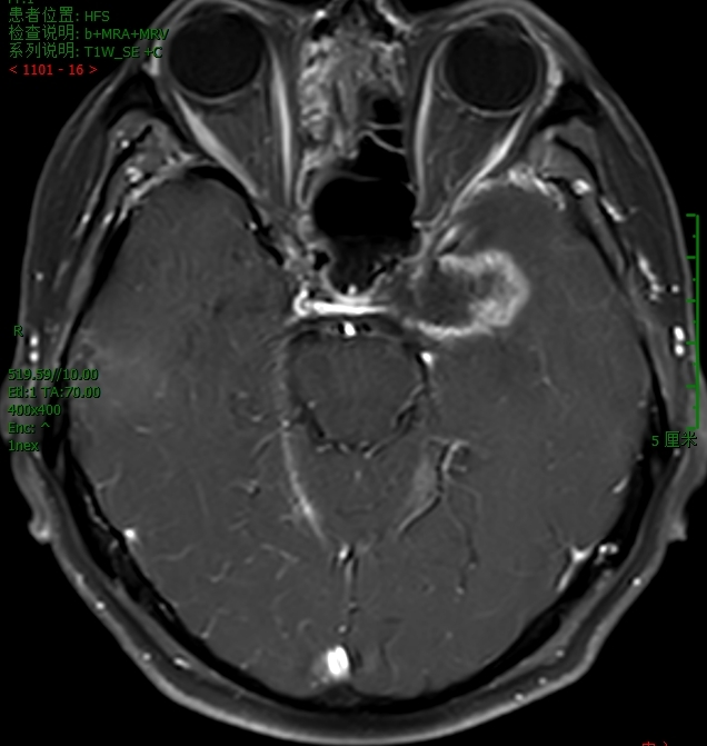
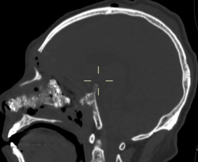
我院PET-CT检查显示鼻咽周围骨质改变,未见异常代谢增高,无肿瘤复发;左侧颞叶、左侧岛叶及左侧鞍旁片状低密度影,伴代谢稀疏,提示放射性坏死。脑室造影检查显示颅内积气,前颅底鞍结节颅骨缺损,脑脊液漏可能(图1-3)。MRI检查显示左侧颞叶内侧面不规则强化病灶,考虑放射性脑坏死改变(图4)。












手术
经鼻内镜修补脑脊液漏,切除筛窦气房和筛窦、蝶窦黏膜,查找到两处脑脊液漏口,用小片骨膜填塞硬膜漏口(附视频)。因放疗后鼻中隔黏膜瓣不够用,额部冠状头皮切口,翻起皮瓣,制作带双侧眶上动脉血管蒂的额肌骨膜瓣,经鼻根部颅骨钻孔覆盖前中颅底硬膜外,填塞碘仿纱条(图5)。术后恢复良好,随访半年无脑脊液鼻漏。



讨论
本例属少见而且复杂的脑脊液鼻漏:⑴颅底骨质缺损大,漏口不确定,需要大范围探查与修补;⑵放疗后颅底血供差,需要带血供组织瓣修补,否则不容易愈合;⑶放疗后鼻中隔黏膜萎缩,质量差,不够用;⑷伴有左颞叶放射性脑坏死可以暂时不手术处理,但给成功修补脑脊液鼻漏带来不确定因素。为此,我们选择巨大带蒂额肌骨膜瓣全部覆盖前中颅底,确保万无一失。





