2024年03月16日发布 | 137阅读
神经介入-动脉瘤
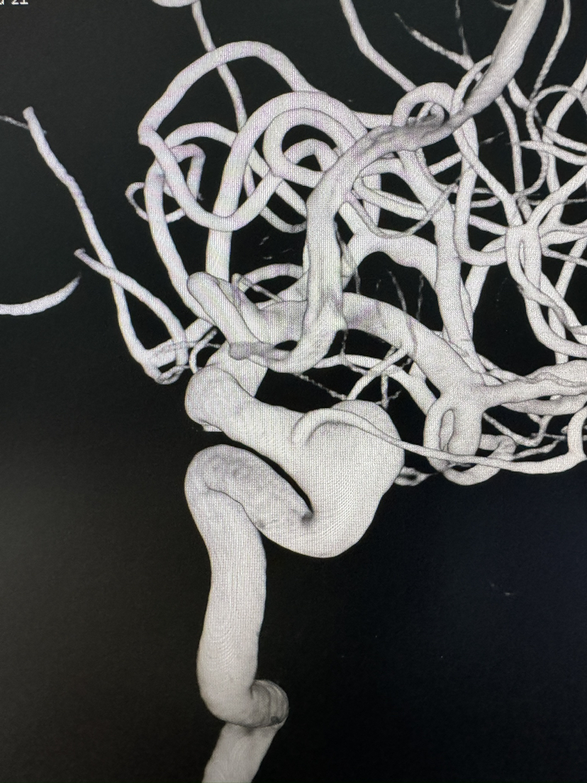
脑血管-动脉瘤

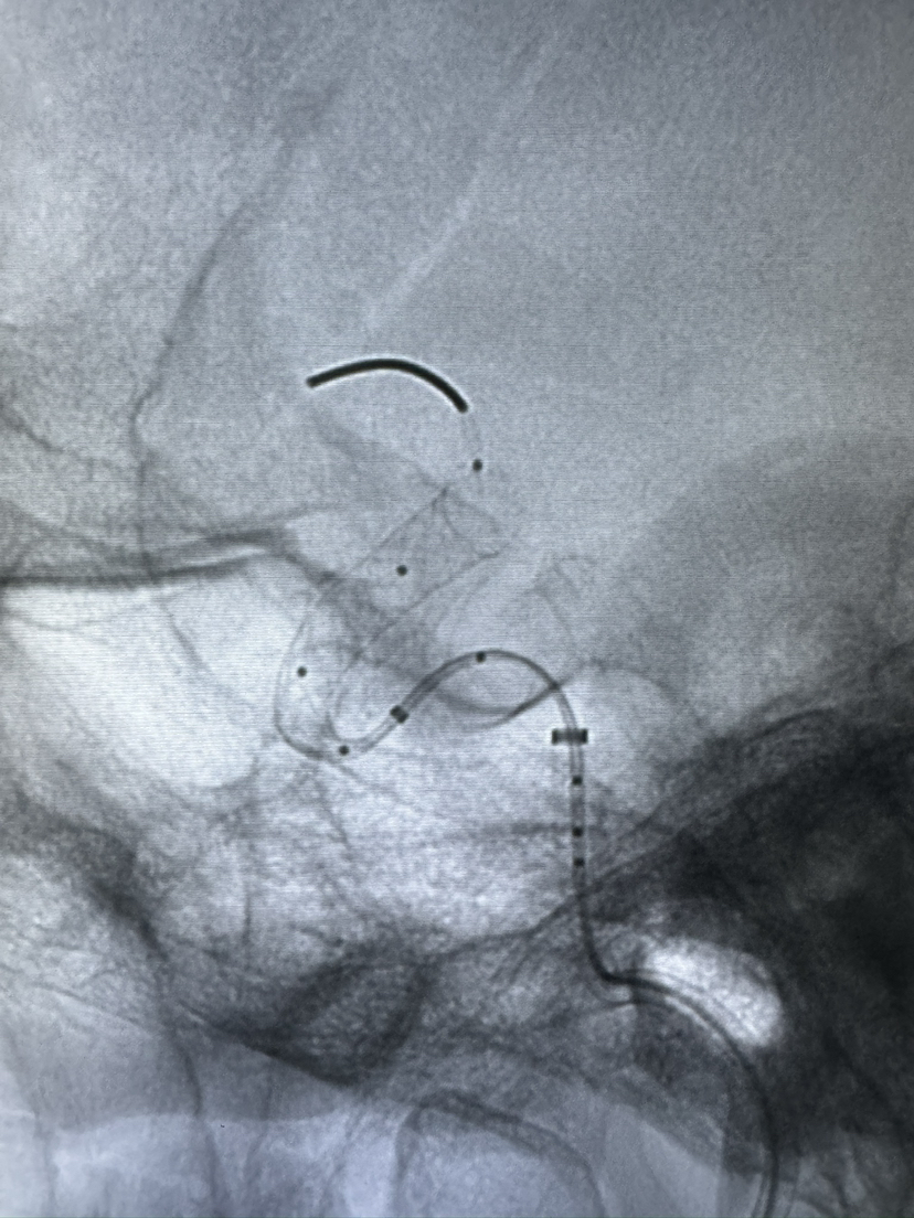
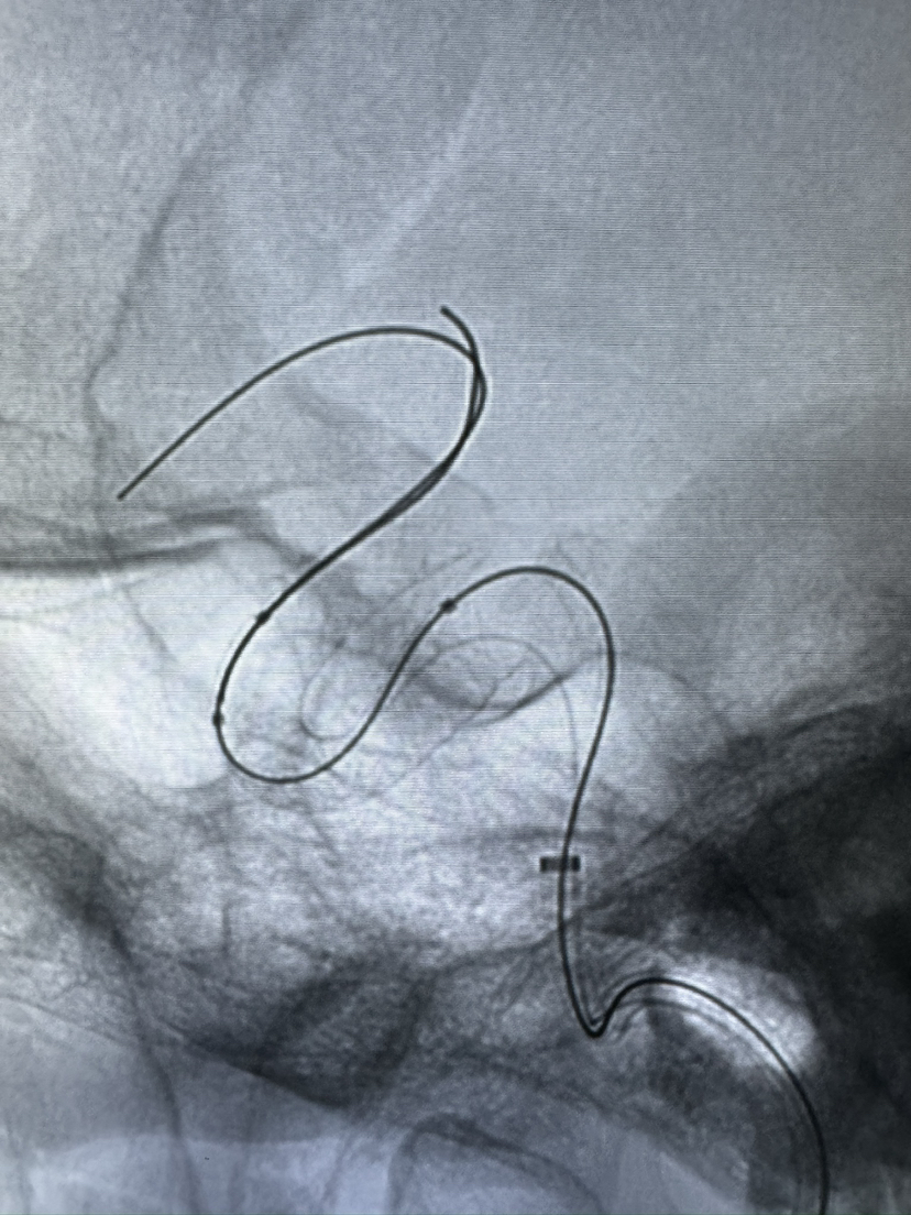
Lattice 支架治疗眼动脉动脉瘤,Scepter c 球囊后扩辅助海绵窦段支架打开

黄伟

武汉市中心医院(南院)

达人收藏







最新评论
发表你的评论
发表你的评论