2024年03月05日发布 | 607阅读
脑血管-自发性颅内出血

基底节区脑出血神经内镜手术汇报

龚春芽

宜丰县人民医院

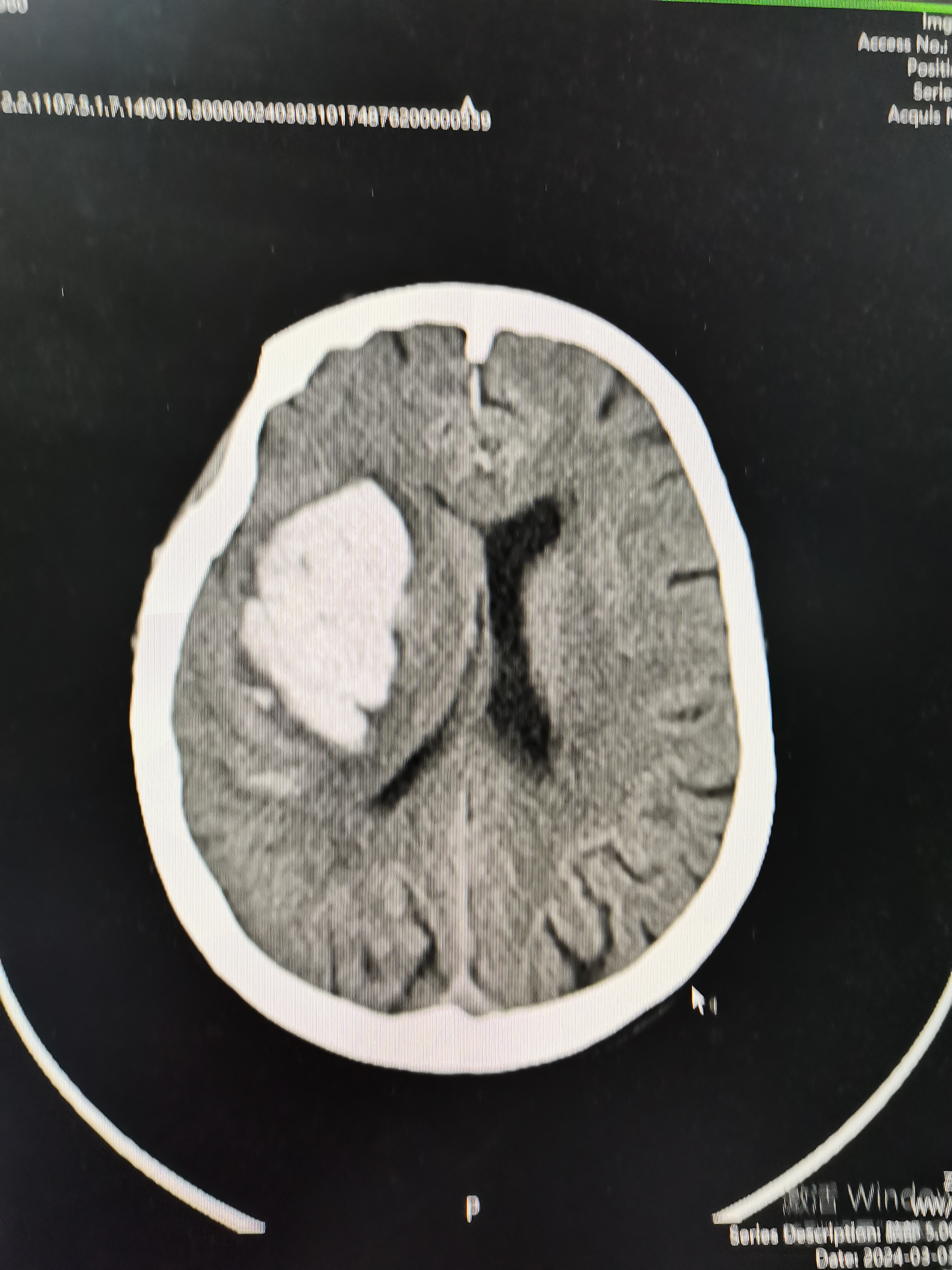
患者为77岁女性,有高血压等基础疾病,发病5小时余入院,术前片子如图

术前片子

手术切口

手术骨瓣还纳

术中部分视频

术中部分视频

术后复查片子

术后复查片子

患者术后恢复良好

最新评论
发表你的评论
发表你的评论